![]() |
![]() |
![]() |
![]() |
![]() |
Расслаивающий пахименингит |
![]() |
| Unior |
5.10.2012 - 13:24
Сообщение
#1 |
|
|
Расслаивающий пахименингит - что за "зверь" то такой?
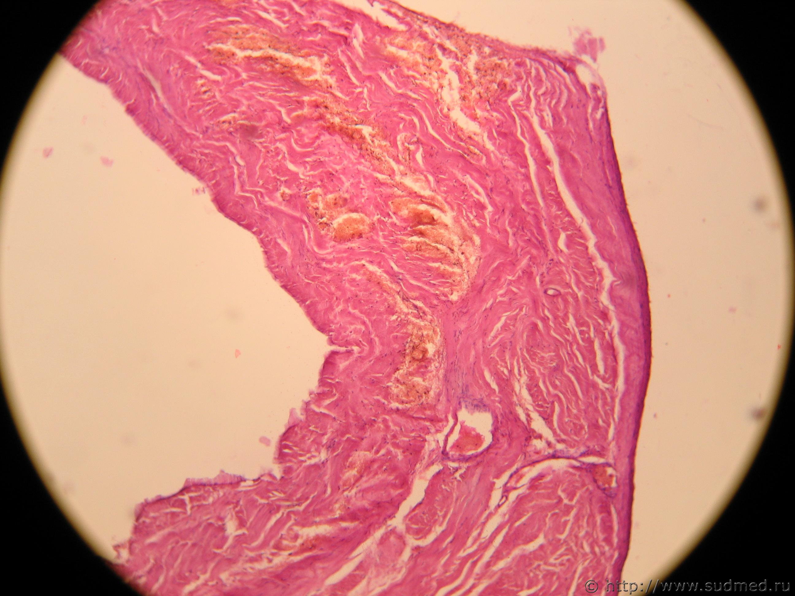
Сегодня беседовал с одним танатологом, он взял твердую оболочку с области верхнего сагитального синуса с неясными кровоизлияниями, гистолог описал кр-ния как "очаговые экстра-интрадуральные кровоизлияния с начальной лейкоцитарной реакцией паравазально" Я увидел это Кроме того есть вторичные кровоизлияния в стволовом отделе мозга. Танатолог переломов черепа не видел, есть кровоизлияние в мягких тканях теменной области, свежые. Утверждает, что гистолог - "баранесса" и не знает о такой очевидной вещи, как расслаивающий пахименингит. К своему глубокому сожалению, я тоже не знаю что это. У кого какие соображения? |
![]() |
![]() |
![]() |
Сообщений в этой теме |
![]() |
Unior Расслаивающий пахименингит 5.10.2012 - 13:24
sbz Расслаивающий пахименингит - что за "зверь... 5.10.2012 - 16:54
йцук У кого какие соображения?
Расслаивающего пахимен... 5.10.2012 - 17:08
sbz Расслаивающего пахименингита не знаю.
М.И.Касья... 5.10.2012 - 17:18
sbz сагиттальный пишется вот так
с ув. 5.10.2012 - 17:58
sbz между делом
Нужно-нужно цветное фото, иллюстрации... 17.10.2012 - 16:39
FILIN Уважаемый йцук
"Внутренний хронический гемо... 5.10.2012 - 18:43
Unior "Внутренний хронический геморрагический пахим... 5.10.2012 - 19:58
медик с "начальной лейкоцитарной паравазальной реак... 5.10.2012 - 20:08
Unior Не гистолог "баранесса",а танатолог ... 5.10.2012 - 20:17
медик почему танатолог решил о травматическом происхожд... 5.10.2012 - 20:27
медик Расслаивающий пахименингит
Уважаемый Юниор.
Таког... 5.10.2012 - 19:58
Unior
Согласно представленных препаратов написал бы сле... 5.10.2012 - 20:10
медик
Кроме того есть вторичные кровоизлияния в стволов... 5.10.2012 - 20:12
Unior Каким образом определил,что в стволе вторичные?Зна... 5.10.2012 - 20:27
медик Крупноочаговые, сливные и паравазальные кровоизлия... 5.10.2012 - 20:30

Unior А макроскопическое описание,локализацию Вы не знае... 5.10.2012 - 20:33
[email protected] Крупноочаговые, сливные и паравазальные кровоизлия... 16.10.2012 - 06:55
медик Не заметили разницы между ТМО и описАнием стволов... 16.10.2012 - 10:30
FILIN
Перечитайте еще раз "Базальные САК" На... 5.10.2012 - 20:59
0-AHS-0 Перечитайте еще раз "Базальные САК" Наум... 10.10.2012 - 00:38
медик Уважаю авторов, но согласиться с алкогольной причи... 10.10.2012 - 12:38
sbz Уважаю авторов, но согласиться с алкогольной причи... 16.10.2012 - 18:31
FILIN
Напишите опровержение. 10.10.2012 - 16:10
Unior Стволовой отдел мозга увеличение в первых трёх сни... 16.10.2012 - 10:52
sbz Стволовой отдел мозга увеличение в первых трёх сни... 16.10.2012 - 18:04
медик Хорошо видны нейтрофилы на 1,4,5 фото.
Как я понял... 16.10.2012 - 11:42
Unior Хорошо видны нейтрофилы на 1,4,5 фото.
Как я понял... 16.10.2012 - 13:04
медик сосуд з фибриноидным некрозом и лейкоцитарной инфи... 16.10.2012 - 13:22

Unior ...Заинтриговали.Есть ли возможность представить н... 16.10.2012 - 19:24
[email protected] Да, поле зрения одно, ув. Х40, Х100, Х200 сосуд з ... 16.10.2012 - 18:48
sbz Расслаивающий пахименингит - что за "зверь... 16.10.2012 - 19:05
медик Разбираться надо учитывая макро + микро,а не изол... 16.10.2012 - 19:42
sbz Разбираться надо учитывая макро + микро,а не изол... 16.10.2012 - 20:42
Unior А де вони ділись?
Как говорил мой учитель, покойны... 16.10.2012 - 22:29
FILIN Коллеги.
Или устали, или тема себя исчерпала.
На... 16.10.2012 - 22:32
sbz Коллеги.
Или устали, или тема себя исчерпала.
На... 17.10.2012 - 18:08
медик Такого термина пока ещё не встречал.Это впервые. 17.10.2012 - 07:19
медик
Я увидел это
Недавно вскрыл труп с субдуральной... 18.10.2012 - 21:47
Unior Недавно вскрыл труп с субдуральной гематомой.Сегод... 19.10.2012 - 11:54
медик Субдуральная гематома травматическая,находилась в ... 19.10.2012 - 12:15
Unior В нашем случае эксперт ствит диагноз: отёк-набухан... 19.10.2012 - 12:50
медик Что-то здесь не так.Вероятно, танатологом допущена... 19.10.2012 - 13:31
FILIN Unior
Когда мы говорим о "вторичных кровоизл... 19.10.2012 - 17:40
Наталья По чужому описанию судить сложно, потому что у мен... 21.10.2012 - 00:58
FILIN Наталья
У меня де жа вю. Ощущение, что постинг я ... 21.10.2012 - 01:16
Наталья Так! БСК не трогай! Это вообще другое, не ... 21.10.2012 - 01:22
FILIN Наталья
Конечно другое, но "способствующие ... 21.10.2012 - 01:55
медик Артефакты при заборе ТМО и её гистологической обра... 21.10.2012 - 16:25
FILIN медик.
Тогда объясни - каким образом они могут об... 21.10.2012 - 19:38
медик
Тогда объясни - каким образом они могут образова... 21.10.2012 - 19:44
FILIN Тогда объясни, как ты вообще их дифференцируешь от... 21.10.2012 - 20:07
медик Микро:инфильтрирующее кровоизлияние с расслоением ... 21.10.2012 - 20:30![]() ![]() |
| Сейчас: 6.11.2025 - 10:20 |