Здравствуйте, гость ( Вход | Регистрация )

Форум судебных медиков России
>

мекариоциты при шоке

>
чеснок
сообщение 19.11.2012 - 14:32
Сообщение #1


Участник форума

Группа: СМЭ
Регистрация: 13.11.2012
Пользователь №: 34 668



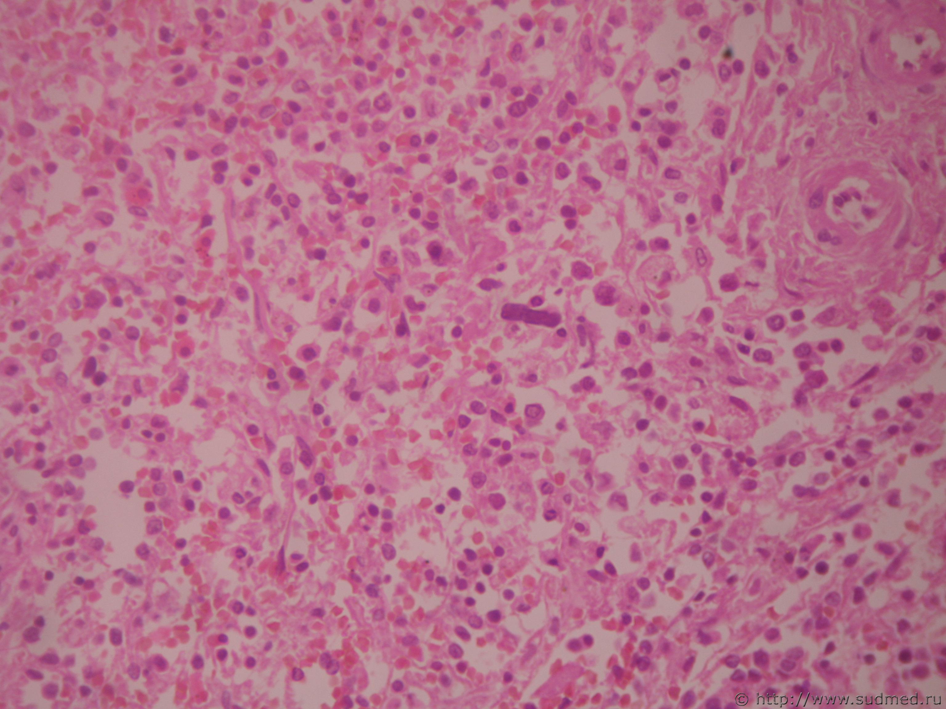
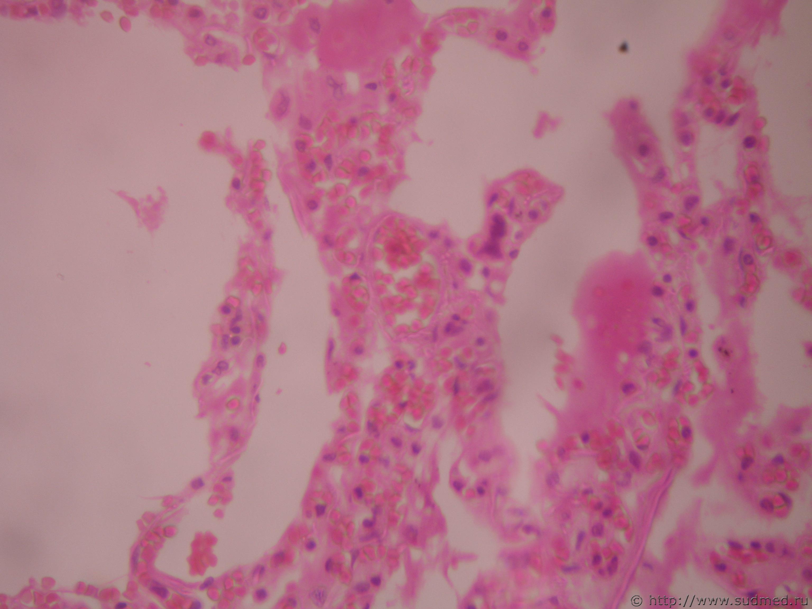
[quote name='чеснок' post='159075' date='19.11.2012 - 14:28']мне известно (не помню откуда), что при шоке в капиллярах стенок альвеол выявляются мегакариоциты, а в других органах они могут быть?

Сообщение отредактировал чеснок - 19.11.2012 - 14:41


Эскизы прикрепленных изображений
Судебная медицина - Прикрепленное изображение Судебная медицина - Прикрепленное изображение Судебная медицина - Прикрепленное изображение Судебная медицина - Прикрепленное изображение Судебная медицина - Прикрепленное изображение
Пользователь offline
К началу страницы
+Ответить с цитированием

>   Сообщений в этой теме >





- Обратная связь Сейчас: 9.11.2025 - 01:18