![]() |
![]() |
![]() |
![]() |
![]() |
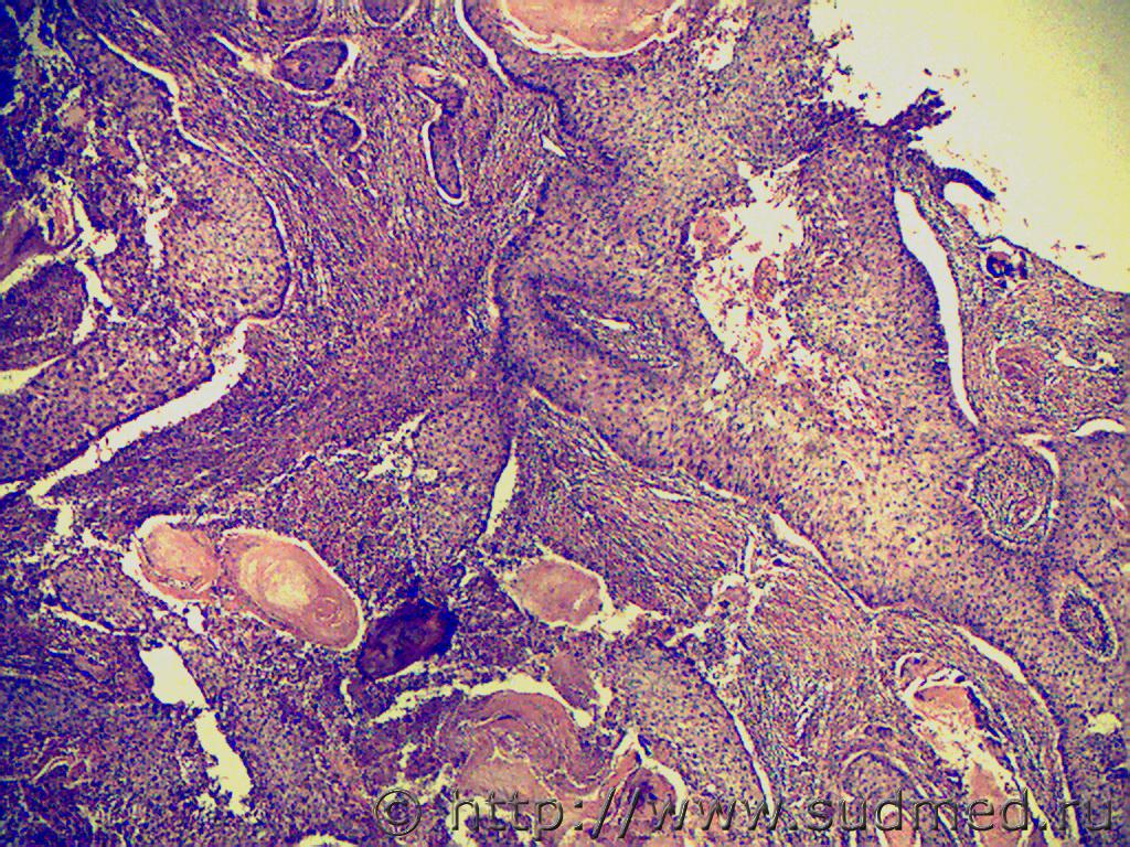
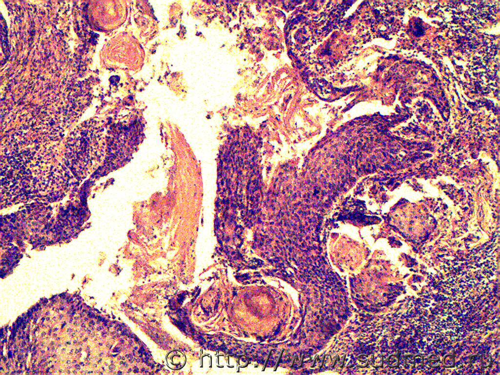
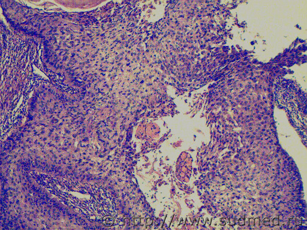
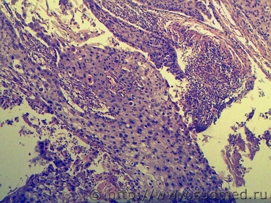
Язва кожи, Ваше мнение ? |
![]() |
![]() |
Сообщений в этой теме |
![]() |
Медик Язва кожи 13.11.2013 - 12:58
Unior В принципе, похоже. Если язва на губе (вообще на л... 13.11.2013 - 13:43
Медик Если голень... то ?
То что? 13.11.2013 - 18:15
Anton То кератоакантома. Однако, онкоморфологов надо. 13.11.2013 - 18:44
Медик кератоакантома.
Мысль была,но здесь клеточный по... 13.11.2013 - 19:44
Unior Нет, ну, чё сразу кошмары рисовать то, может прост... 15.11.2013 - 12:22
Медик Когда-то один патанатом, говорил, что для него одн... 15.11.2013 - 19:38
Smeks1 Уважаемые коллеги, мое мнение - плоскоклеточный, G... 15.11.2013 - 13:10
jaklin Плоскоклеточный рак, т.к. есть жемчужины. 20.11.2013 - 19:17
Медик жемчужины.
Это неспецифический признак.
В псевдок... 20.11.2013 - 19:26
jaklin Это неспецифический признак.
В псевдокарциноматозн... 20.11.2013 - 22:26
Медик Если присмотреться внимательно, можно рассмотреть ... 20.11.2013 - 19:34
Морфолог Если присмотреться внимательно, можно рассмотреть ... 24.03.2014 - 12:03
Медик Нет. 20.11.2013 - 22:28
доктор морфолог Добрый день, ув.коллеги! В данном случае наруш... 5.12.2013 - 06:38
Медик Нужно провести ИГХ.
Не стоит.Это труп.К причине см... 5.12.2013 - 11:02![]() ![]() |
| Сейчас: 5.11.2025 - 20:18 |