![]() |
![]() |
![]() |
![]() |
![]() |
Правила консультационного раздела |
![]() |
ВНИМАНИЕ! Все сообщения проходят предварительную проверку модератором и только после этого появляются на форуме. Порядок работы раздела изложен в правилах форума.
Все консультации на форуме бесплатны, но если мы смогли вам помочь, вы можете поддержать наш проект (подробнее).
![]() |
![]() |
![]() |
тяжесть вреда здоровью |
![]() |
| Lyn13 |
28.11.2013 - 20:53
Сообщение
#1 |
|
|
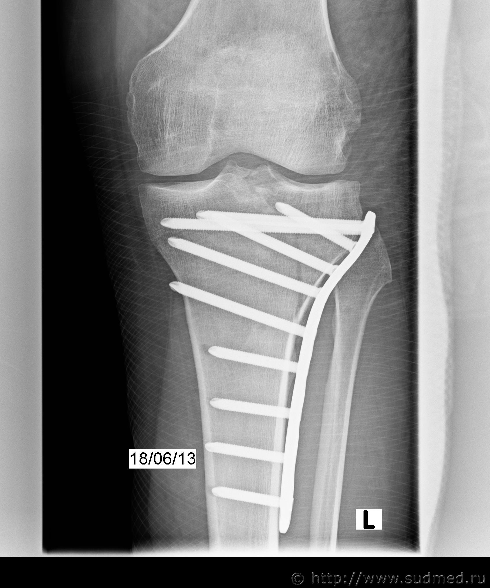
Добрый день! 9 июня мой муж на мотоцикле попал в аварию. Виновным признали второго водителя. У мужа перелом мыщелка со смещением. Делали остеосинтез, костную пластику, лежал в больнице месяц, после этого еще 3 месяца на костылях. До сих пор хромает, колено полностью не разгибается и визуально отличается от здорового. После операции поставили еще и артроз коленного сустава. В больнице врач предупреждал, что возможно будет необходимость в замене коленного сустава. Рентген после операции прилагаю.
Помогите определить степень тяжести вреда! Эскизы прикрепленных изображений |
![]() |
![]() |
![]() |
Сообщений в этой теме |
![]() |
Lyn13 тяжесть вреда здоровью 28.11.2013 - 20:53
Deni Здравствуйте. Достоверного распространения трещины... 28.11.2013 - 21:43
Lyn13 А если распространение на диафиз есть, то тяжкий? ... 28.11.2013 - 21:54
Медик А если распространение на диафиз есть, то тяжкий? ... 29.11.2013 - 00:55![]() ![]() |
| Сейчас: 6.11.2025 - 19:09 |