![]() |
![]() |
![]() |
![]() |
![]() |
Плацентарный полип? |
![]() |
| Unior |
10.01.2014 - 14:39
Сообщение
#1 |
|
|
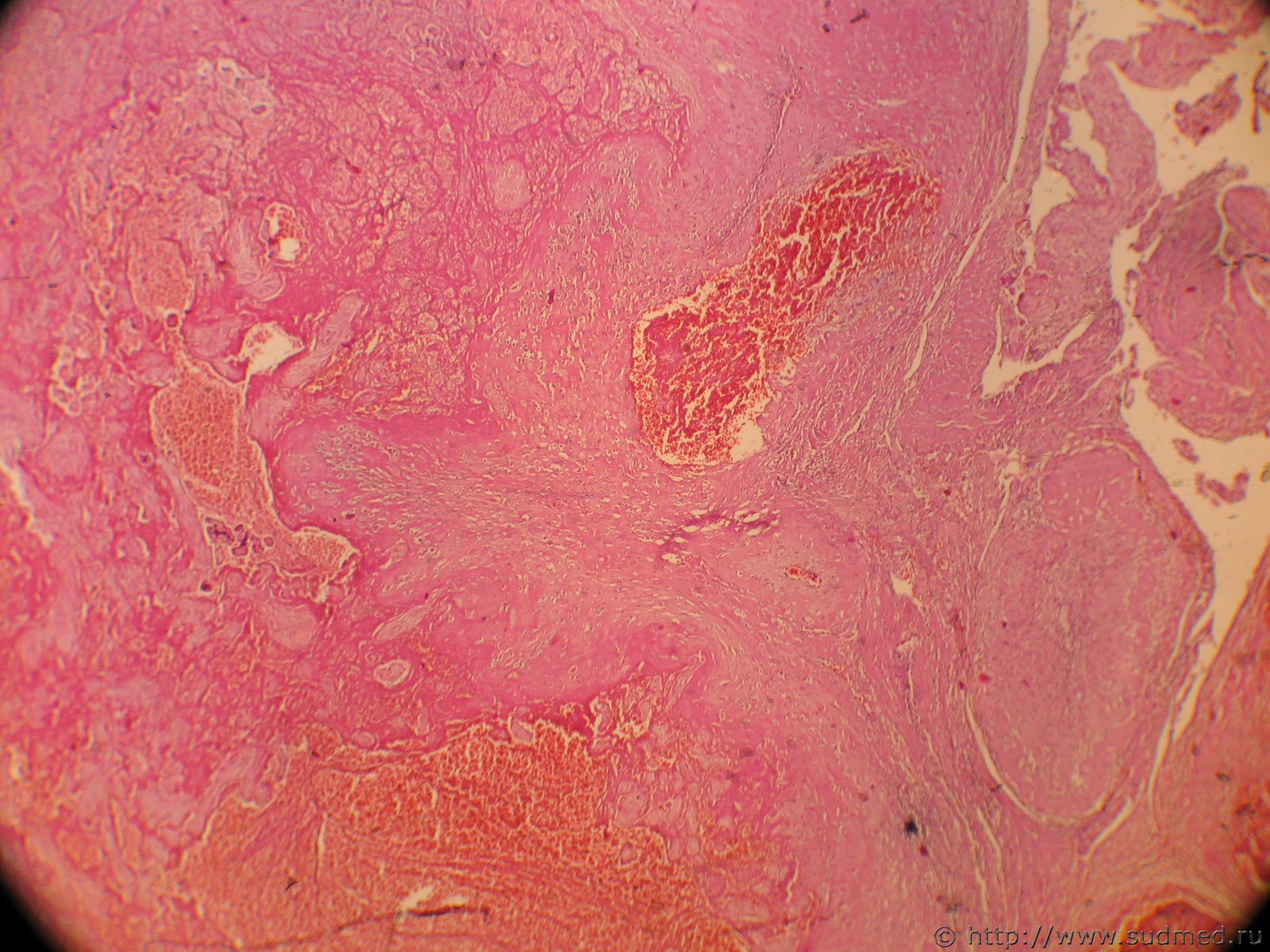
Как-то была тема в КЦ "Плацентарный полип после родов". Недавно попался случай: экстирпация матки в связи с маточным кровотечением на 16 сутки после кесарева. Исследовали патанатомы, я только стекла пересметриваю. Макроописание:"Матка 12Х10Х6 см полость м-ки вскрыта, расширена, по задней стенке эндометрий представлен рыхлыми темно-серыми полипососочковыми разрастаниями, миометрий местами толщиной 2,5 см (***) структуры с очаговыми кровоизлияниями. Микроописание с ним я немного несогласен. Вот фото, если понадобится еще сделаю.
Фото 1: Вместо эндометрия некрозы, крововизлияния, тромбоз сосудов, кое-где с некрозом сосудистых стенок, лейкоцитарные инфильтраты и гиалинизированные ворсины хориона. Фото 2: гиалинизорованная ворсина |
![]() |
![]() |
![]() |
Сообщений в этой теме |
![]() |
Unior Плацентарный полип? 10.01.2014 - 14:39
Медик Микроописание с ним я немного несогласен.
Почему ... 10.01.2014 - 18:54
Anton Полип. 10.01.2014 - 19:01
jaklin Полип.
Согласна 11.01.2014 - 18:38
sbz Согласна
приглядывался в сём
КУНГУРОВА Валентина... 11.01.2014 - 18:45
Медик согласятся?
Уверен,что да. Микроскопическая диагн... 12.01.2014 - 19:11
Unior Большое спасибо всем, что так оперативно включилис... 12.01.2014 - 22:44
Медик ставлю: "плацентарный полип на фоне тробофлеб... 12.01.2014 - 23:32
Медик "placenta increta"
На основании чего ? О... 12.01.2014 - 23:55
Unior На основании чего ?
Вот описание стекол патанатомо... 13.01.2014 - 11:31
jaklin
М-да, вот такая то картина...
Доброго времени сут... 13.01.2014 - 15:42
Медик эндометрия как-такового вообще нет. С одного бока ... 13.01.2014 - 19:14
доктор морфолог уважаемые коллеги! микрофото не четкие, но я ... 14.01.2014 - 08:48
Морфолог уважаемые коллеги! микрофото не четкие, но я ... 24.03.2014 - 11:31
Unior Вот, что по моим представлениям ворсины зрелой пла... 13.01.2014 - 11:48
Anton Патанатомам, конешно, видней, но здесь никакой ... 13.01.2014 - 13:46
Unior Всем огромное спасибо! Завтра, если получиться... 14.01.2014 - 22:47
Медик иду на консультацию.
Уверен,что ничего нового не б... 14.01.2014 - 22:52![]() ![]() |
| Сейчас: 10.11.2025 - 17:29 |