![]()  | 
    ![]()  | 
  
![]()  | 
    ![]()  | 
  
![]()  | 
	 легкие дышавшие или нет? | 
	 ![]()  | 
	
| selti | 
  5.03.2014 - 19:30
 Сообщение
#1  | 
| 
 | 
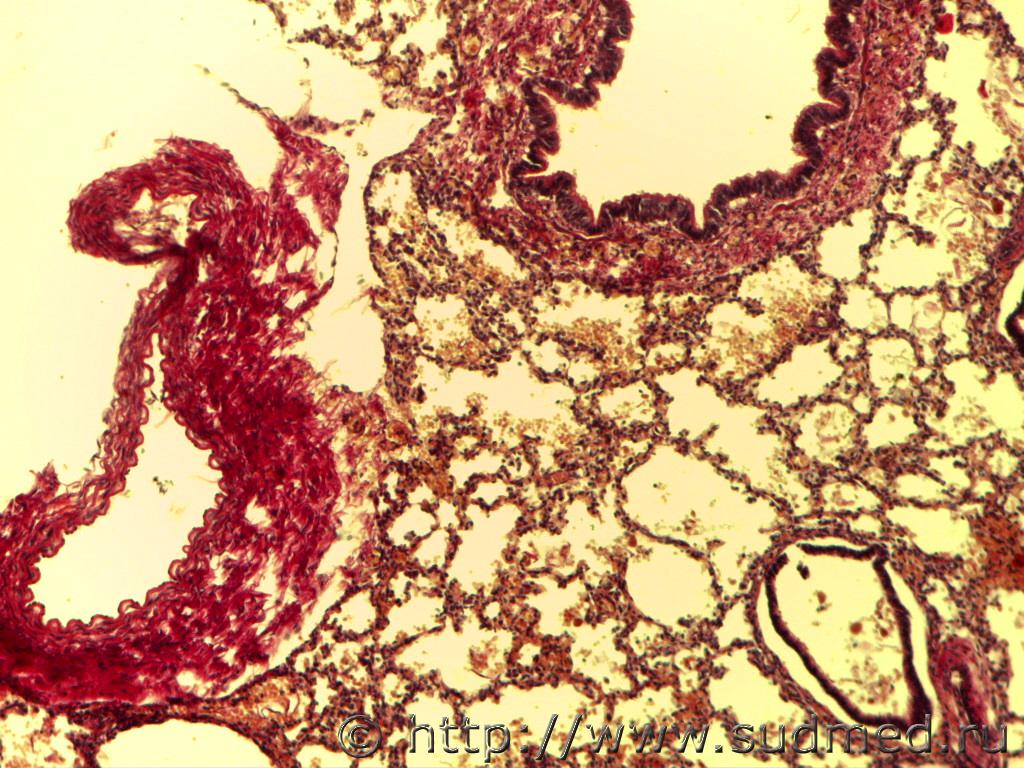
 Здравствуйте, уважаемые эксперты! я начинающий гистолог, помогите разобраться с легкими - дышавшие или нет? Девушка 1986г.р. рожает первого ребенка, ребенок родился мертворожденным, беременность проходила хорошо, роды в срок, жалоба на врача, что во время схваток к ней долгое время никто не подходил. Танатолог берет 4 кусочка легких, в\д,ср\д левого легкого, ср\д, н\д правого легкого, легочные пробы  - легкие в воде тонут. Со слов врачей ребенка пытались реанимировать, никаких записей это подтверждающих нет. То что там аспирация околоплодными водами очевидно, меня смущает полное расправление всех альвеол, даже эмфизема.  
фото прилагаю (6-е и 8-е фото окраска по Ван Гизону) за ранее спасибо всем. Эскизы прикрепленных изображений  | 
![]()  | 
        ![]()  | 
      
![]()  | 
       Сообщений в этой теме | 
    ![]()  | 
  
 selti   легкие дышавшие или нет?   5.03.2014 - 19:30
 
 Медик    4 кусочка легких, в\д,ср\д левого легко...   5.03.2014 - 21:04
 
 selti   Краевые отделы ?
Проба Бреслау ?
Краевые зоны или...   6.03.2014 - 04:33
 
 sbz   Краевые зоны или нет эксперт не указала
проводили ...   6.03.2014 - 19:28
 
 sbz   Здравствуйте, уважаемые эксперты! я начинающий...   5.03.2014 - 21:08
 
 Толстый   Ув. sbz.
Большая просьба: прежде чем нажать на кно...   5.03.2014 - 21:35
 
 Медик   1.Расправленные в результате самостоятельного дыха...   5.03.2014 - 21:43
 
 sbz   1.Расправленные в результате самостоятельного дыха...   5.03.2014 - 21:55

 
 Медик   ВЫ считаете все это - из одного биологического объ...   5.03.2014 - 22:20

 
 sbz   Да.Верю топикстартеру.
ну 
давайте, попытаемся в б...   5.03.2014 - 22:36

 
 Медик   
Детство и СМЭ. И зачем ОНО, первое, - нам?
Вопрос...   5.03.2014 - 22:39
 
 selti   1.Расправленные в результате самостоятельного дыха...   6.03.2014 - 04:48
 
 доктор морфолог   Здравствуйте, уважаемые эксперты! я начинающий...   6.03.2014 - 07:16
 
 Медик   
Мое предварительное мнение по присланным микрофот...   6.03.2014 - 08:10

 
 доктор морфолог   ,что ребёнок жил часы или дни.
При ситуации описан...   6.03.2014 - 10:26

 
 Медик   синдромов РДСН, раньше называли пневмопатиями. 
РД...   6.03.2014 - 14:48
 
 Медик   Респираторный дистресс-синдром новорожденных. 
А б...   6.03.2014 - 08:24

 
 доктор морфолог   Добрый день! Геморрагический синдром м.б.у мер...   6.03.2014 - 10:39


 
 щепа   Добрый день! Геморрагический синдром м.б.у мер...   6.03.2014 - 13:34


 
 доктор морфолог   Добрый день! Где это написано? Никогда не встр...   7.03.2014 - 07:09

 
 selti   [quote name='Медик' date='6.03.2014 - ...   6.03.2014 - 18:40

 
 Медик   
отечно-геморрагический син.бывает у мертворожденн...   6.03.2014 - 21:11

 
 selti   [quote name='Медик' date='6.03.2014 - ...   6.03.2014 - 21:51
 
 selti   Добрый день! наблюдается неполное расправление...   6.03.2014 - 22:03
 
 Медик   получается ребенок не дышал, но живорожденный??? :...   6.03.2014 - 22:26
 
 Морфолог   С чего это Вы взяли ? Читайте внимательно.
С точки...   20.03.2014 - 10:21
 
 доктор морфолог   Уважаемые коллеги! Основываясь на клинических ...   4.04.2014 - 12:30
 
 Медик   При чём здесь "признаки" ? Тем более ...   4.04.2014 - 21:11
 
 доктор морфолог   При чём здесь "признаки" ? Тем более ...   7.04.2014 - 07:59
 
 Anton   Синдром (не болезнь), как проявление другой патоло...   6.03.2014 - 14:41
 
 Anton   Да, похоже на искусственную вентиляцию.   6.03.2014 - 14:56
 
 selti   Да, похоже на искусственную вентиляцию.
еще пару...   6.03.2014 - 20:24

 
 доктор морфолог   еще пару фото
 увеличение 4х10, 20х10,  63х10, нет...   7.03.2014 - 06:55

 
 selti   Ув.коллеги!  Естественно симптомы, синдромы м....   7.03.2014 - 18:49

 
 Медик   живорожденный
Не спешите.Потребуйте протокол допро...   7.03.2014 - 19:53

 
 jaklin   Не спешите.Потребуйте протокол допроса неонатолога...   9.03.2014 - 10:46
 
 доктор морфолог   Да, похоже на искусственную вентиляцию.
Добрый ден...   7.03.2014 - 07:03
 
 Медик   разрыв альвеолярных перегородок.
Вы не видите на ф...   7.03.2014 - 20:04
 
 sbz   [quote name='Медик' date='7.03.2014 - ...   7.03.2014 - 20:51
 
 доктор морфолог   Вы не видите на фото разрывы межальвеолярных перег...   9.03.2014 - 08:45
 
 sbz   [quote name='selti' date='5.03.2014 - ...   6.03.2014 - 18:19
 
 Anton   Хорошо, что разобралась. Только интранатальная асф...   7.03.2014 - 18:54
 
 sbz   Хорошо, что разобралась. Только интранатальная асф...   7.03.2014 - 19:01
 
 Медик   Ув.доктор морфолог.
Не морочьте голову другим.
Есл...   9.03.2014 - 09:56
 
 доктор морфолог   Ув.доктор морфолог.
Не морочьте голову другим.
Есл...   9.03.2014 - 12:58
 
 Медик   мастер-класс проводил академикЦинзерлинг младший у...   9.03.2014 - 17:37

 
 доктор морфолог   [quote name='Медик' date='9.03.2014 - ...   10.03.2014 - 10:46
 
 sbz   Добрый день! Дискутировать можно с доверенными...   10.03.2014 - 14:05
 
 доктор морфолог   Я так понимаю, что никто из Ц. академиками не был ...   11.03.2014 - 12:45
 
 Медик   Здравствуйте 
Если будет допрос неонатолога,пожалу...   9.03.2014 - 11:23
 
 selti   здравствуйте, ув. коллеги еще раз. Я поясню, почем...   10.03.2014 - 05:48
 
 Медик   
Возможно ведь такое-то ребенок сделал слабый вдох...   10.03.2014 - 10:01

 
 доктор морфолог   Этого не надо.
Про лёгкие живорожденного не убедил...   10.03.2014 - 11:20

 
 Медик   
( т.е. в это время признаки живорожденности еще б...   10.03.2014 - 12:01
 
 Медик   Нет там и РДСН 
И не будет.Вы сомневались?   10.03.2014 - 10:09
 
 доктор морфолог   
Массивные субплевральные кровоизлияния(это в легк...   10.03.2014 - 11:13
 
 Anton   Все, что Вы описываете, бывает при асфиксии с посл...   10.03.2014 - 07:34
 
 Unior   Доброго времени суток! Чтобы не открывать нову...   9.04.2014 - 15:10
 
 Медик   А мысль про утопление была ?   9.04.2014 - 23:25
 
 доктор морфолог   А мысль про утопление была ?
Добрый день! Ваша...   10.04.2014 - 10:57
 
 Unior   А мысль про утопление была ?
Так вот и я об этом ж...   10.04.2014 - 14:08
 
 доктор морфолог   Так вот и я об этом же. С какими то особенностями ...   11.04.2014 - 09:49
 
 доктор морфолог   Цитомегаловирус имеет патогномоничную морфологию в...   11.04.2014 - 09:57![]() ![]()  | 
	
| Сейчас: 3.11.2025 - 21:32 |