![]() |
![]() |
![]() |
![]() |
![]() |
Туберкулез печени, Туберкулезный бугорок |
![]() |
| доктор морфолог |
6.03.2014 - 08:06
Сообщение
#1 |
|
|
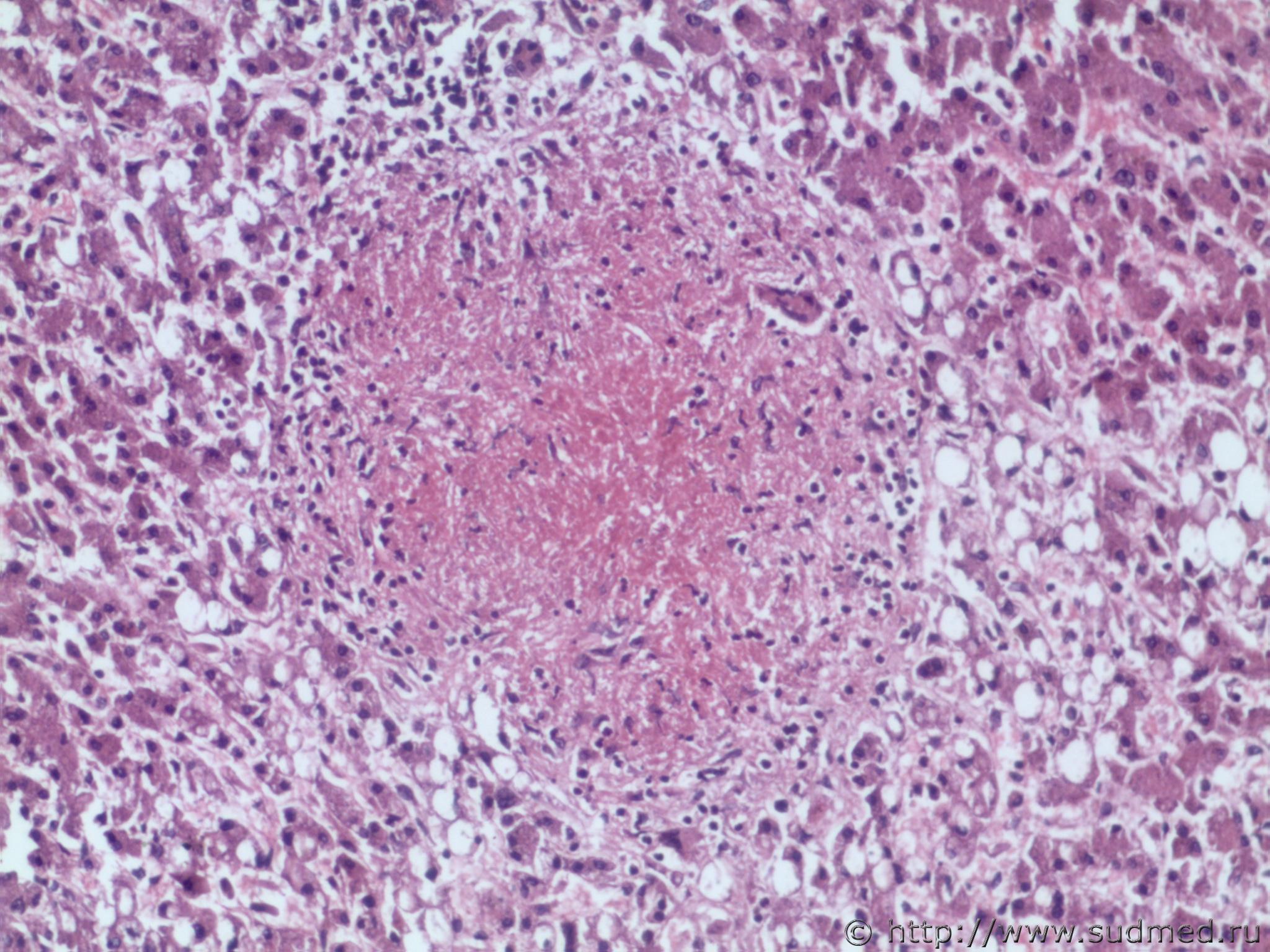
Ув.коллеги! туберкулезный бугорок в печени, оцените качество микрофото.
Эскизы прикрепленных изображений |
![]() |
![]() |
![]() |
Сообщений в этой теме |
![]() |
доктор морфолог Туберкулез печени 6.03.2014 - 08:06
Медик Ув доктор морфолог.
В др.теме я Вам писал,что фото... 6.03.2014 - 08:26
доктор морфолог Ув доктор морфолог.
В др.теме я Вам писал,что фото... 6.03.2014 - 09:56
Anton Качество не атласное, но на твердую 4. 6.03.2014 - 15:11
доктор морфолог Качество не атласное, но на твердую 4.
Спасибо Ант... 7.03.2014 - 08:11
Anton Хорошее (журнальное) качество. 7.03.2014 - 11:58
sbz Ув.коллеги! туберкулезный бугорок в печени, оц... 7.03.2014 - 18:44
доктор морфолог Качество неплохое
Мнение: наличие выщелоченных эри... 9.03.2014 - 09:11
Медик Конечно многие гистологи иногда путают эпителиодн... 9.03.2014 - 10:23

jaklin Многие как раз и не путают.
Гигантские многоядерны... 9.03.2014 - 10:30
Медик под микроскопом все четче было видно казеозная мас... 9.03.2014 - 10:29
Медик И эти бугорки были и в легких( разной формы с расп... 9.03.2014 - 10:31
доктор морфолог Если в гранулёмах преобладает экссудация - это так... 12.03.2014 - 07:48
Медик сепсиса Ландузи.
Это преимущественно должен решат... 12.03.2014 - 09:49
доктор морфолог Это преимущественно должен решать танатолог.
Добры... 12.03.2014 - 12:45
Медик туберкулезный бугорок в печени
А что в др.органах? 7.03.2014 - 20:12
sbz А что в др.органах?
М.б. кто-то пошутил
нам бы з... 7.03.2014 - 20:24
доктор морфолог А что в др.органах?
Добрый день! Туб.бугорки б... 9.03.2014 - 08:53
sbz морфолог нас так прост разводит
умные гистологи д... 9.03.2014 - 22:30
Медик морфолог нас так прост разводит
"Развода... 9.03.2014 - 22:33
sbz аутолиз
козьма прутков - БДИ 9.03.2014 - 22:36
доктор морфолог аутолиз
козьма прутков - БДИ
Добрый день! Кром... 10.03.2014 - 11:33
Надежда Ивановна Ув.коллеги! туберкулезный бугорок в печени, оц... 2.04.2014 - 17:02
доктор морфолог Качество микрофотографии посредственное, по причин... 4.04.2014 - 12:09![]() ![]() |
| Сейчас: 8.11.2025 - 09:17 |