![]() |
![]() |
![]() |
![]() |
![]() |
Формирование новообразования в коже, консультация по микропрепаратам |
![]() |
| Надежда Ивановна |
2.04.2014 - 16:43
Сообщение
#1 |
|
|
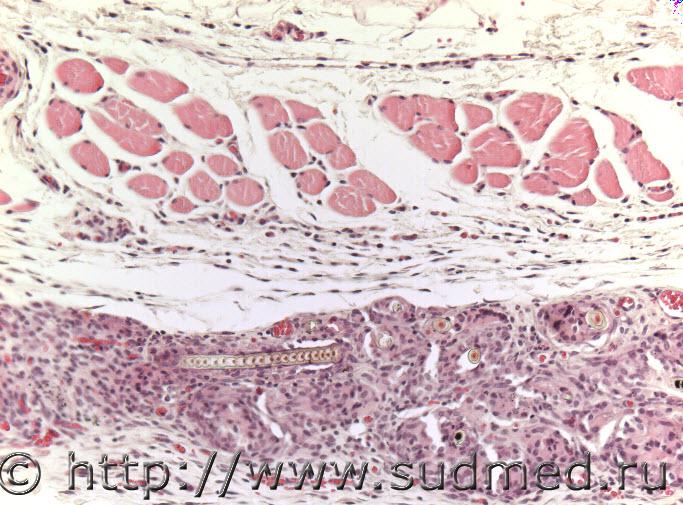
Под SMAS некое новообразование, которое можно принять за гранулему, но в реалии там имеет место гиперплазия эпителия наружного корневого эпителиального влагалища и наблюдается рост единичных волос в нехарактерном месте. Попадание в эту область волос в качестве инородных тел исключен. Это какая то опухоль придатков кожи? У кого есть иное мнение?
На 1 фото представлен рост волос в норме Далее представлены микрофотографии выше описанной структуры при увеличении х100, х200 и х400 Эскизы прикрепленных изображений |
![]() |
![]() |
![]() |
Сообщений в этой теме |
![]() |
Надежда Ивановна Формирование новообразования в коже 2.04.2014 - 16:43
Медик можно принять за гранулему
Вы под этим понимаете ... 2.04.2014 - 18:44
Надежда Ивановна Вы под этим понимаете пиогенную гранулёму или гр... 2.04.2014 - 19:09
sbz Нет, не пиогенную и не грануляционную ткань, а пос... 2.04.2014 - 19:23
Надежда Ивановна вы агрессию н.и. можете вызвать по регистрации ... 2.04.2014 - 19:33
Медик
Хомяки делятся:
- многошерстные *(5-ть шерсточек ... 2.04.2014 - 19:40
Надежда Ивановна Знания - сила. :)
Нет.
Три последних фото - одно ж... 2.04.2014 - 19:43

Медик
Я полагаю это доброкачественное новообразование. ... 2.04.2014 - 19:49
sbz
Три последних фото - одно животное?
Дойти можно ... 2.04.2014 - 19:51
Надежда Ивановна Дойти можно и до эмбиологии, до этих -зачатков, до... 2.04.2014 - 20:04
Медик Вы клоните к тому, что это может быть аномалия ра... 2.04.2014 - 20:24
Надежда Ивановна Именно так.
Да, вероятнее всего, это аномалия разв... 2.04.2014 - 20:29
доктор морфолог Под SMAS некое новообразование, которое можно прин... 4.04.2014 - 11:41
Надежда Ивановна Ув.Н.И.! На микрофото мое мнение паразитарное,... 4.04.2014 - 20:28
Медик на трихоэпителиому очень похоже.
Не похоже.Строен... 4.04.2014 - 20:57
Надежда Ивановна Вероятность поражения паразитарного или грибкового... 4.04.2014 - 21:04
Медик меланомы.
Не фантазируйте. :) 4.04.2014 - 21:20
sbz Вот, нашла еще один интересный случай в коже хомяк... 4.04.2014 - 22:10
Надежда Ивановна ]Вы ветеринар + врач-педиатр + .... так понял. 2-... 5.04.2014 - 12:49
sbz ]Вы ветеринар + врач-педиатр + .... так понял. 2-... 5.04.2014 - 13:49
доктор морфолог огромное спасибо за понимание
Вопросы:
- основная ... 7.04.2014 - 07:51
доктор морфолог Под SMAS некое новообразование, которое можно прин... 4.04.2014 - 11:57![]() ![]() |
| Сейчас: 7.11.2025 - 04:59 |