![]() |
![]() |
![]() |
![]() |
![]() |
Холангиокарцинома или гепатоцеллюлярная карцинома?, Консультация препарата |
![]() |
| Надежда Ивановна |
2.04.2014 - 18:46
Сообщение
#1 |
|
|
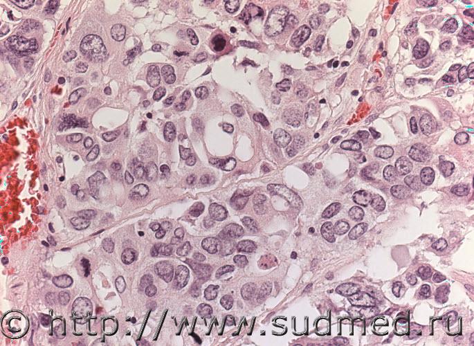
Помогите, пожалуйста, поставить правильный диагноз.
Я больше склонна к тому, что это гепатоцеллюлярная карцинома, хотя морфология эпителия больше имеет сходство с эпителием, выстилающим желчные протоки. На второй микрофотографии больше похоже на холангиокарциному. Жду, когда придет Медик и поможет, он все знает!) Эскизы прикрепленных изображений |
![]() |
![]() |
![]() |
Сообщений в этой теме |
![]() |
Надежда Ивановна Холангиокарцинома или гепатоцеллюлярная карцинома? 2.04.2014 - 18:46
Медик гепатоцеллюлярная карцинома
Очень похоже. 2.04.2014 - 20:02
Надежда Ивановна Очень похоже.
В не пораженных областях печени вижу... 2.04.2014 - 20:09

Медик В не пораженных областях печени вижу очаговую гипе... 2.04.2014 - 20:20
Надежда Ивановна Очень похоже.
Это холангиокарцинома (два верхних ... 22.04.2014 - 18:24
Медик
На второй микрофотографии больше похоже на холанг... 2.04.2014 - 20:10
Надежда Ивановна На двух фото материал одной опухоли? Если так,то ... 2.04.2014 - 20:22
доктор морфолог Да это печень одного и того же животного. На этом ... 4.04.2014 - 11:23
Медик На первом фото - скорее,холангиоцеллюлярный рак,ко... 2.04.2014 - 20:37
доктор морфолог Помогите, пожалуйста, поставить правильный диагноз... 4.04.2014 - 11:11
Надежда Ивановна Ув.Н.И.! Если это от того же хомячка, сможете ... 22.04.2014 - 18:32![]() ![]() |
| Сейчас: 10.11.2025 - 10:31 |