![]() |
![]() |
![]() |
![]() |
![]() |
Помощь в гистологическом диагнозе. |
![]() |
| Evgenii2381 |
7.10.2014 - 08:28
Сообщение
#1 |
|
|
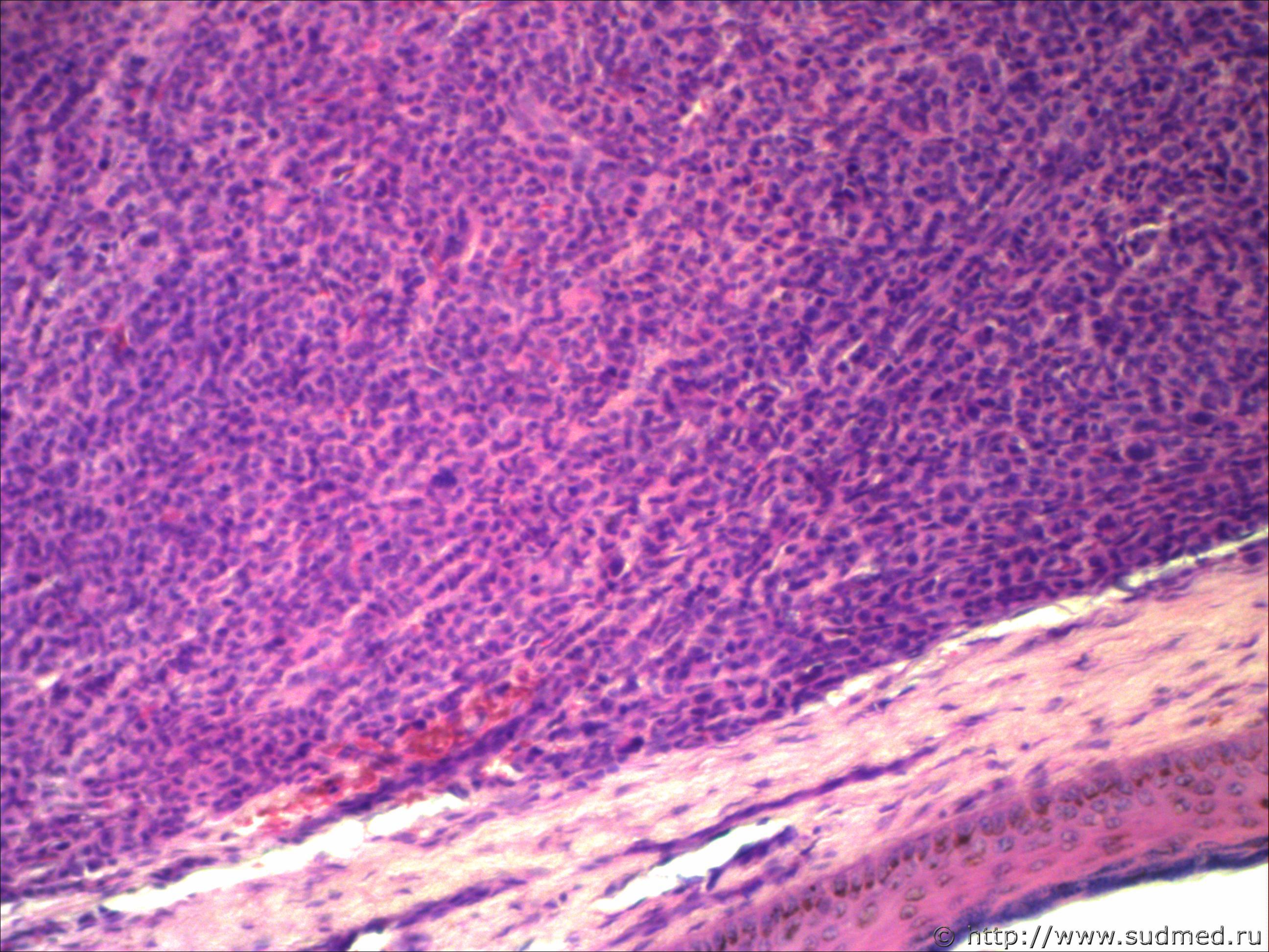
Н/о молочной железы
Эскизы прикрепленных изображений |
![]() |
![]() |
![]() |
Сообщений в этой теме |
![]() |
Evgenii2381 Помощь в гистологическом диагнозе. 7.10.2014 - 08:28
Медик Похоже на беспигментную меланому. 7.10.2014 - 11:00
Unior Похоже на беспигментную меланому.
Медик, я вот уви... 12.10.2014 - 19:27
Медик "фигуры спиц" именно в меланоме
Завтра ... 12.10.2014 - 21:10
доктор морфолог Н/о молочной железы
Нужно показать переход от сох... 10.10.2014 - 08:17
Evgenii2381 Нужно показать переход от сохранившей ткани к опух... 10.10.2014 - 12:44
доктор морфолог Н/о молочной железы
Похоже на грибовидный микоз, л... 13.10.2014 - 12:19![]() ![]() |
| Сейчас: 6.11.2025 - 18:59 |