![]() |
![]() |
![]() |
![]() |
![]() |
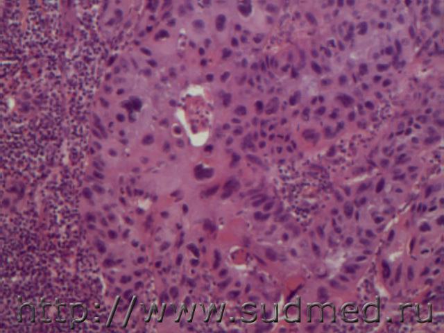
Базалиома или плоскоклеточный рак?, Опухоль на лице |
![]() |
| доктор морфолог |
22.10.2014 - 10:28
Сообщение
#1 |
|
|
Базальноклеточный рак кожи лица(базалиома) опербиоп материал, М,64 года.
Эскизы прикрепленных изображений |
![]() |
![]() |
![]() |
Сообщений в этой теме |
![]() |
доктор морфолог Базалиома или плоскоклеточный рак? 22.10.2014 - 10:28
Медик На фото не базалиома (базальноклеточный рак),а низ... 22.10.2014 - 11:57
доктор морфолог На фото не базалиома (базальноклеточный рак),а низ... 22.10.2014 - 13:44
Медик Направлен на ИГХ.
Пожалуйста,напишите про результ... 22.10.2014 - 14:17
доктор морфолог Пожалуйста,напишите про результат.
Разве опухоль п... 23.10.2014 - 07:12
доктор морфолог Вы правы , я с Вами согласен даже без ИГХ, почти в... 23.10.2014 - 09:07
jaklin Базальноклеточный рак кожи лица(базалиома) опербио... 23.10.2014 - 16:11
доктор морфолог Согласна с медиком. Спасибо за качественные фото
И... 24.10.2014 - 08:56![]() ![]() |
| Сейчас: 8.11.2025 - 11:17 |