![]() |
![]() |
![]() |
![]() |
![]() |
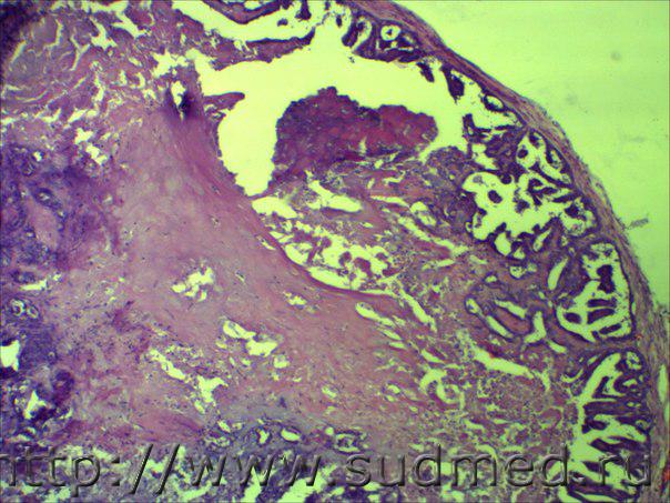
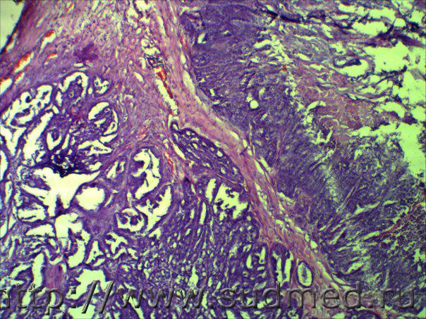
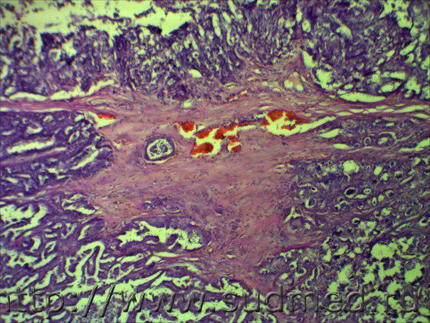
Н/о в молочной железе |
![]() |
| Evgenii2381 |
31.10.2014 - 13:52
Сообщение
#1 |
|
|
Плотное,множественное, размером с "ноготь".
Эскизы прикрепленных изображений |
![]() |
![]() |
![]() |
Сообщений в этой теме |
![]() |
Evgenii2381 Н/о в молочной железе 31.10.2014 - 13:52
Медик Животное ? 31.10.2014 - 13:55
Evgenii2381 да ! кошка ! как правило у этого вида живо... 31.10.2014 - 14:00
Медик На фото нет чёткости,но похоже на внутрипротоковый... 31.10.2014 - 14:01
Evgenii2381 да знаю ! четкость и резкость страдает ! ... 31.10.2014 - 14:05
наталия-верт У людей тоже такое возможно?
--------------------... 1.11.2014 - 14:35
Медик Да. 1.11.2014 - 17:15
наталия-верт Да.
Медик, в обоих случаях есть риск (ответ ... 1.11.2014 - 17:58
Медик Так точно. 1.11.2014 - 20:24
доктор морфолог Плотное,множественное, размером с "ноготь... 3.11.2014 - 07:57
наталия-верт Ув.Евгений! Процесс идет не только внутри прот... 3.11.2014 - 18:30
Медик Метастазирование?
Нет. 3.11.2014 - 19:56
наталия-верт Вот ищу клинику, что б взять кредит на уменьшение ... 3.11.2014 - 18:40
доктор морфолог Вот ищу клинику, что б взять кредит на уменьшение ... 4.11.2014 - 11:29
наталия-верт Эстетические проблемы.
Это понятно, что надо прой... 4.11.2014 - 13:34
доктор морфолог Эстетические проблемы.
Это понятно, что надо прой... 5.11.2014 - 07:18
наталия-верт Будьте здоровы!Не болейте! :angry:
Спасибо... 5.11.2014 - 11:45
Evgenii2381 Спасибо Вам за помощь ! 5.11.2014 - 08:57![]() ![]() |
| Сейчас: 7.11.2025 - 22:07 |