Здравствуйте, гость ( Вход | Регистрация )

Форум судебных медиков России
>

Идентификация сидерофагов, Консультация гистологических препаратов

>
Надежда Ивановна
сообщение 2.12.2014 - 17:17
Сообщение #1


Опытный участник

Группа: Участники
Регистрация: 28.01.2014
Из: Московская область
Пользователь №: 38 804


Всем добрый вечер!
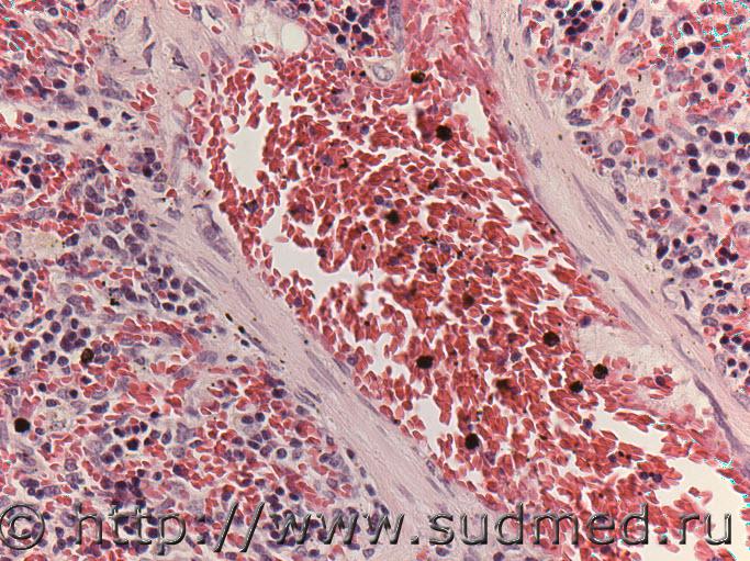
После введения большой и малой дозы тестируемого препарата по результатам гематологического анализа отмечено выраженное снижение эритроцитов. По мнению гематолога причиной могут быть кровотечения или гемолиз эритроцитов. В процессе проведения микроскопического анализа селезенки у получавших большую дозу наблюдался выраженный миелопоэз (фото 1 ув. х200), а также, возможно, параллельно имел место и эритропоэз. Если честно, на срезах, окрашенных Г-Э мой глаз не улавливает разницу между миело и эритробластами, хотя некоторые гистологи утверждаю, что эритробласты более гиперхромные. А у получавших меньшую дозу, миелопоэз и, возможно, эритропоэз были менее выражены, но в трабекулярных венах и в красной пульпе наблюдала клетки неправильной формы темно-бурого цвета, по моему мнению, это сидерофаги (фото вен на ув. х400, фото красной пульпы на ув. х200 и х400, масштаб везде одинаковый). Вероятно, гемолиз эритроцитов действительно имел место и утилизация погибших эритроцитов началась уже в периферической крови моноцитами. Имею просьбу специалистов подтвердить тот факт, что представленные клетки являются сидерофагами.
Для меня загадочен еще один факт. У получавших большую дозу препарата, количество эритроцитов было гораздо ниже, чем у получавших меньшую дозу. Но, клетки с морфологическими признаками сидерофагов я наблюдала в селезенке только у получавших меньшую дозу. Кстати, клетки, которые я называю сидерофагами, я также наблюдала в сосудах и других органах, у получавших меньшую дозу. Ситуация не понятна тем, почему не наблюдались сидерофаги у получавших большую дозу на фоне более выраженного снижения количества эритроцитов. Все запутанно в исследовании, а мне разгр****ь и писать заключение. В следующей теме последует еще более интересный факт по этому же препарату.


Эскизы прикрепленных изображений
Судебная медицина - Прикрепленное изображение Судебная медицина - Прикрепленное изображение Судебная медицина - Прикрепленное изображение Судебная медицина - Прикрепленное изображение Судебная медицина - Прикрепленное изображение Судебная медицина - Прикрепленное изображение
Пользователь offline
К началу страницы
+Ответить с цитированием

>   Сообщений в этой теме >
Надежда Ивановна   Идентификация сидерофагов   2.12.2014 - 17:17
Медик   представленные клетки являются сидерофагами. Похо...   2.12.2014 - 18:27
Надежда Ивановна   Похоже и на формалиновый пигмент. Для диф.диагност...   2.12.2014 - 18:42
Надежда Ивановна   Согласна, что представленные на фото темные глыбки...   2.12.2014 - 19:19
Медик   по типу медиастинита? Если по этому принципу,то о...   2.12.2014 - 19:37
доктор морфолог   В данном случаев в 1-3 фото имеет место мезенте...   3.12.2014 - 09:04
доктор морфолог   Там не фиброматоз в брыжейке стенки кишечника,а ...   3.12.2014 - 09:09
Надежда Ивановна   Там не фиброматоз в брыжейке стенки кишечника,а не...   3.12.2014 - 19:57
доктор морфолог   Уважаемый Доктор морфолог! Ваши рассуждения и ...   4.12.2014 - 11:55
jaklin   Доброго времени суток. А наи 4-5 фото в просвете к...   4.12.2014 - 16:59
доктор морфолог   Доброго времени суток. А наи 4-5 фото в просвете к...   5.12.2014 - 09:59
jaklin   Не ошиблись, выщелоченные эритроциты с выпадением ...   5.12.2014 - 18:05
Надежда Ивановна   Не ошиблись, выщелоченные эритроциты с выпадением ...   17.12.2014 - 01:07
доктор морфолог   На фотографии 6 такие же эозинофильные массы предс...   18.12.2014 - 10:45
Медик   Формалиновый пигмент в первую очередь откладываетс...   2.12.2014 - 18:52
доктор морфолог   что представленные клетки являются сидерофагами. ...   3.12.2014 - 08:28





- Обратная связь Сейчас: 8.11.2025 - 08:21