![]() |
![]() |
![]() |
![]() |
![]() |
Консультация по гистопрепарату, Н/О в области молочной железы у кошки |
![]() |
| Evgenii2381 |
16.12.2014 - 13:34
Сообщение
#1 |
|
|
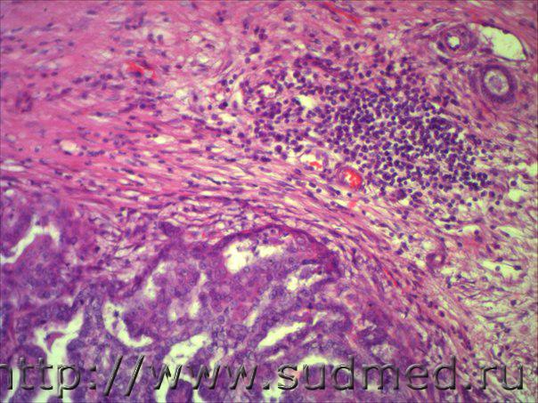
Н/О в области молочной железы у кошки (Аденокарцинома?)
Эскизы прикрепленных изображений |
![]() |
![]() |
![]() |
Сообщений в этой теме |
![]() |
Evgenii2381 Консультация по гистопрепарату 16.12.2014 - 13:34
Медик (Аденокарцинома?)
Да,низкодифференцированная. 16.12.2014 - 19:58
Evgenii2381 Да,низкодифференцированная.
улучшил качество гис... 16.12.2014 - 20:22
доктор морфолог Н/О в области молочной железы у кошки (Аденокарцин... 18.12.2014 - 12:02![]() ![]() |
| Сейчас: 8.11.2025 - 11:41 |