![]() |
![]() |
![]() |
![]() |
![]() |
Инфильтрация лимфоцитами стенки почечной лоханки, Консультация гистологических препаратов |
![]() |
| Надежда Ивановна |
17.12.2014 - 00:06
Сообщение
#1 |
|
|
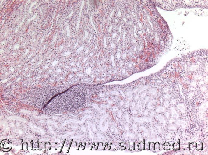
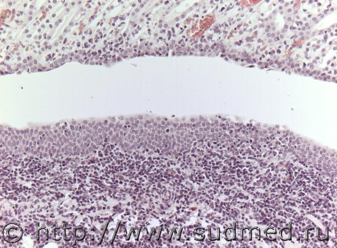
Имея в собственной практике просмотр несколько тысяч гистопрепаратов почек, такое наблюдаю впервые. В одной из почек отмечено:
выраженная инфильтрация прилежащей к наружной поверхности почечной лоханки соединительной и адипозной ткани мононуклеарами с преобладанием лимфоцитов без признаков пролиферативной активности со стороны последних; формирование в указанной области единичных лимфоузлов; очаговая инфильтрация эпителия почечной лоханки мононуклеарами. Это аутоиммунный процесс или что то другое? На первой фотографии стрелками указаны области инфильтрации, увеличение остальных фотографий х10, х20, х40 Эскизы прикрепленных изображений |
![]() |
![]() |
![]() |
Сообщений в этой теме |
![]() |
Надежда Ивановна Инфильтрация лимфоцитами стенки почечной лоханки 17.12.2014 - 00:06
Медик
формирование в указанной области единичных лимфоу... 17.12.2014 - 10:50
jaklin Не лимфатичеких узлов, а лимфоидных фолликулов.
Хр... 17.12.2014 - 11:14
Надежда Ивановна Не лимфатичеких узлов, а лимфоидных фолликулов.
Хр... 17.12.2014 - 13:28
jaklin Я бы назвала это серозным пиелитом, т.к. нефрита -... 17.12.2014 - 19:33
Надежда Ивановна Я бы назвала это серозным пиелитом, т.к. нефрита -... 17.12.2014 - 22:47
доктор морфолог Имея в собственной практике просмотр несколько тыс... 18.12.2014 - 05:23![]() ![]() |
| Сейчас: 11.11.2025 - 07:21 |