Здравствуйте, гость ( Вход | Регистрация )

Форум судебных медиков России
>

Консультация Н/О в области молочной железы, в области молочной железы у суки

>
Evgenii2381
сообщение 26.12.2014 - 09:29
Сообщение #1


Читатель

Группа: Участники
Регистрация: 7.10.2014
Пользователь №: 40 429


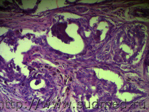
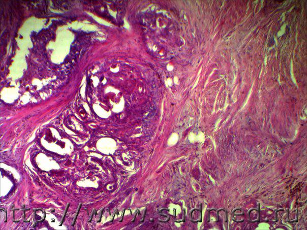
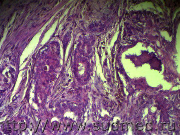
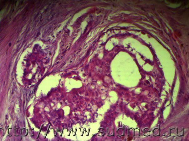
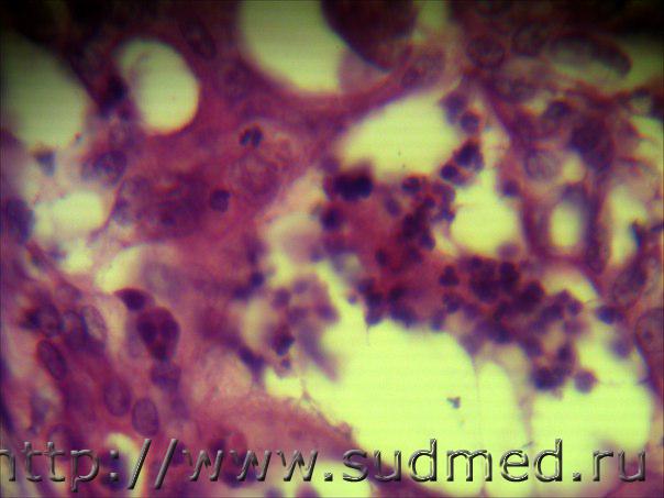
в области молочной железы у суки внутрипротоковый рак или же аденокарцинома из сальных желез ?


Эскизы прикрепленных изображений
Судебная медицина - Прикрепленное изображение Судебная медицина - Прикрепленное изображение Судебная медицина - Прикрепленное изображение Судебная медицина - Прикрепленное изображение Судебная медицина - Прикрепленное изображение Судебная медицина - Прикрепленное изображение Судебная медицина - Прикрепленное изображение Судебная медицина - Прикрепленное изображение Судебная медицина - Прикрепленное изображение Судебная медицина - Прикрепленное изображение Судебная медицина - Прикрепленное изображение
Пользователь offline
К началу страницы
+Ответить с цитированием

>   Сообщений в этой теме >





- Обратная связь Сейчас: 3.11.2025 - 15:00