Здравствуйте, гость ( Вход | Регистрация )

Форум судебных медиков России
>

Трубчатые протоки между долями тимуса, Консультация гистологических препаратов

>
Надежда Ивановна
сообщение 16.02.2015 - 23:04
Сообщение #1


Опытный участник

Группа: Участники
Регистрация: 28.01.2014
Из: Московская область
Пользователь №: 38 804


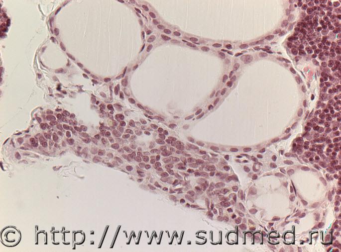
В процессе проведения микроскопического анализа тимуса в двух случаях обнаружила интересную картину: между крайними долями тимуса скопление эпителиоидных клеток, из которых формируются трубчатые протоки. Что за протоки и зачем они? Какое на этот счет мнение?
Заранее благодарю всех морфологов за проявленное внимание к теме!


Эскизы прикрепленных изображений
Судебная медицина - Прикрепленное изображение Судебная медицина - Прикрепленное изображение Судебная медицина - Прикрепленное изображение Судебная медицина - Прикрепленное изображение Судебная медицина - Прикрепленное изображение Судебная медицина - Прикрепленное изображение
Пользователь offline
К началу страницы
+Ответить с цитированием

>   Сообщений в этой теме >





- Обратная связь Сейчас: 8.11.2025 - 08:20