![]() |
![]() |
![]() |
![]() |
![]() |
Стромальная опухоль 12-типерстной кишки? |
![]() |
| a..anka |
20.11.2015 - 15:44
Сообщение
#1 |
|
|
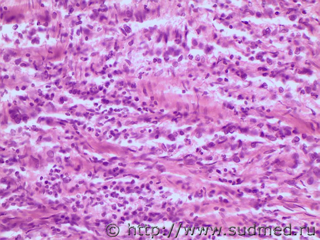
Уважаемые коллеги, не могу определиться с типом опухоли тонкой кишки. На вскрытии эксперт находит хроническую язву 12-типерстной кишки с обострением, аррозией сосуда; в желудке 1,5 литра крови. Покойница 1946г.р, ВИЧ 3 степени. В микропрепаратах похоже на стромальную опухоль, кое-где клетки похожие на перстни.
Эскизы прикрепленных изображений |
![]() |
![]() |
![]() |
Сообщений в этой теме |
![]() |
a..anka Стромальная опухоль 12-типерстной кишки? 20.11.2015 - 15:44
Anton А альциановым синим не получится покрасить? 20.11.2015 - 16:24
доктор морфолог Гистиоцитоз с плазмоцитомными клетками вроде похож... 20.11.2015 - 20:04
Медик Перстневидноклеточный рак (8490/3). 20.11.2015 - 20:48
Медик В микропрепаратах похоже на стромальную опухоль
... 20.11.2015 - 20:54
Медик ВИЧ 3 степени.
Не степени,а стадии. 20.11.2015 - 21:04
доктор морфолог Не остались ли слизистая, на фото мышечный слой с ... 21.11.2015 - 01:40
a..anka Не остались ли слизистая, на фото мышечный слой с ... 21.11.2015 - 10:53
alim Опухоли нет, есть хроническое воспаление с псевдок... 21.11.2015 - 08:52
Медик Ув.alim.
На каком по счёту фото Вы видите псевдока... 21.11.2015 - 10:54
Медик С большим приветом дла патана alim.
Вот на этих фо... 21.11.2015 - 11:23
alim С большим приветом дла патана alim.
Вот на этих фо... 21.11.2015 - 21:47
доктор морфолог Наглядное фото ув.Медик! 1- с тенденцией к ор... 21.11.2015 - 18:37
Медик Фото из атласов по опухолям. 21.11.2015 - 21:28
Медик Ув.alim.
1.Не вводите судебных гистологов в заблуж... 21.11.2015 - 22:51
alim Еще раз вам говорю, что здесь имеет место псевдока... 22.11.2015 - 09:01
Медик Повторяю ещё раз,не вижу ответа на заданный Вам во... 22.11.2015 - 14:09![]() ![]() |
| Сейчас: 3.11.2025 - 09:19 |