![]() |
![]() |
![]() |
![]() |
![]() |
Поджелудочная железа., Опухоль или кисты поджелудочной железы? |
![]() |
| Edvard_29 |
12.01.2016 - 21:38
Сообщение
#1 |
|
|
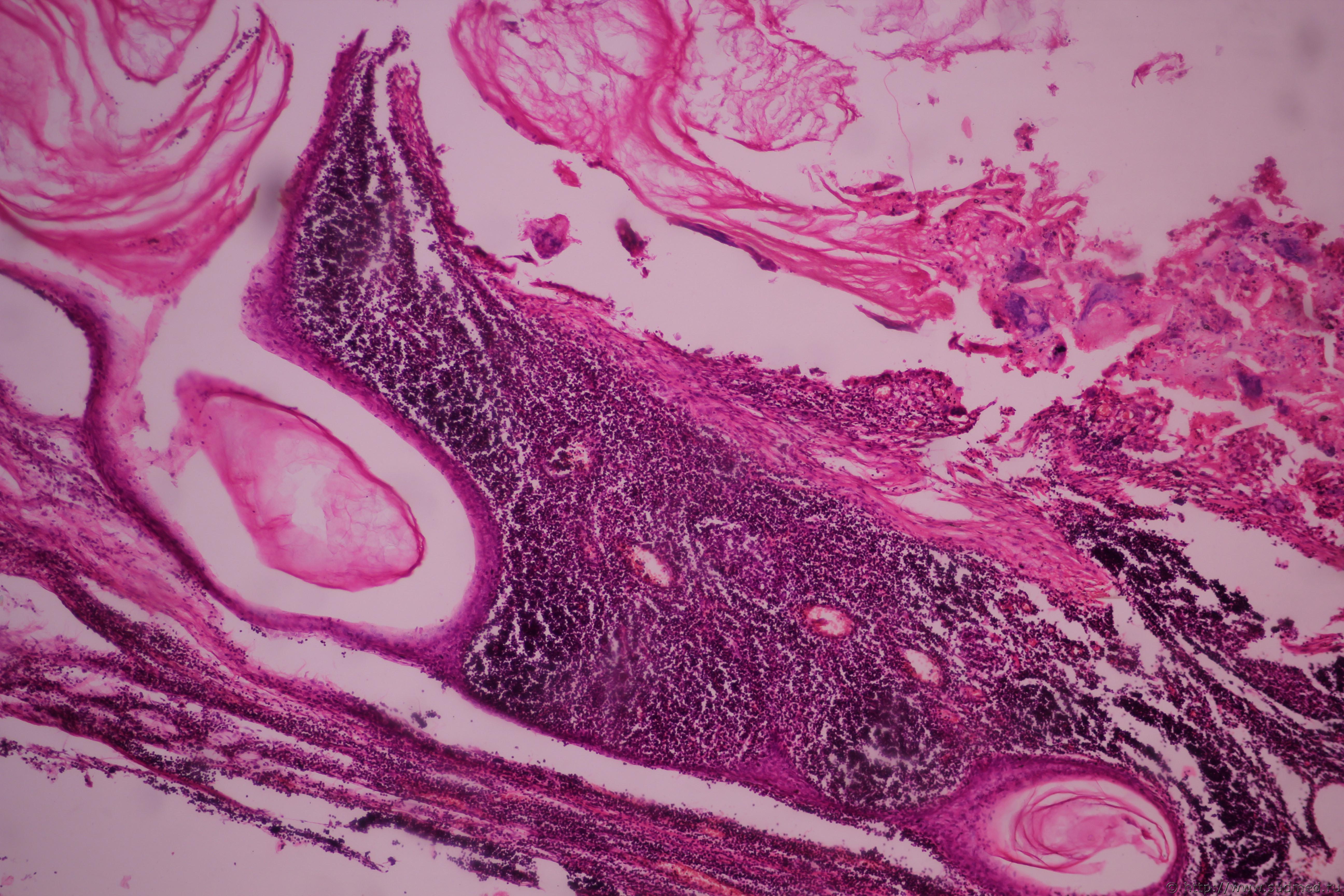
Ув. коллеги, помогите описать изменения в поджелудочной железе. Как таковой ткани поджелудочной железы на микропрепаратах невидно. Может ли это быть некроз поджелудочной железы с образованием опухолевидных кист?
Эскизы прикрепленных изображений |
![]() |
![]() |
![]() |
Сообщений в этой теме |
![]() |
Edvard_29 Поджелудочная железа. 12.01.2016 - 21:38
Медик Плохо видно,но вроде имеют место лимфоидная ткань,... 12.01.2016 - 22:33
Edvard_29 Плохо видно,но вроде имеют место лимфоидная ткань,... 12.01.2016 - 22:55
Медик Спросите танатолога,не кусок ли хвоста поджелудоч... 12.01.2016 - 23:29
Edvard_29 Спросите танатолога,не кусок ли хвоста поджелудоч... 13.01.2016 - 01:20
Медик Понятно.Вероятно,хвост поджелудочной железы был сп... 13.01.2016 - 10:06
sbz Понятно.Вероятно,хвост поджелудочной железы был сп... 13.01.2016 - 21:24
Медик простые кисты из желчных протоков среднего размер... 13.01.2016 - 21:40
sbz Простые кисты эпителиальной выстилки не имеют.
Про... 13.01.2016 - 21:50
доктор морфолог Ув. коллеги, помогите описать изменения в поджелуд... 14.01.2016 - 20:26
Медик Можно думать о тератоме
зрелой. 14.01.2016 - 20:38
доктор морфолог зрелой.
Спасибо за дополнение, уважаемый Медик... 15.01.2016 - 11:27![]() ![]() |
| Сейчас: 11.11.2025 - 09:54 |