![]() |
![]() |
![]() |
![]() |
![]() |
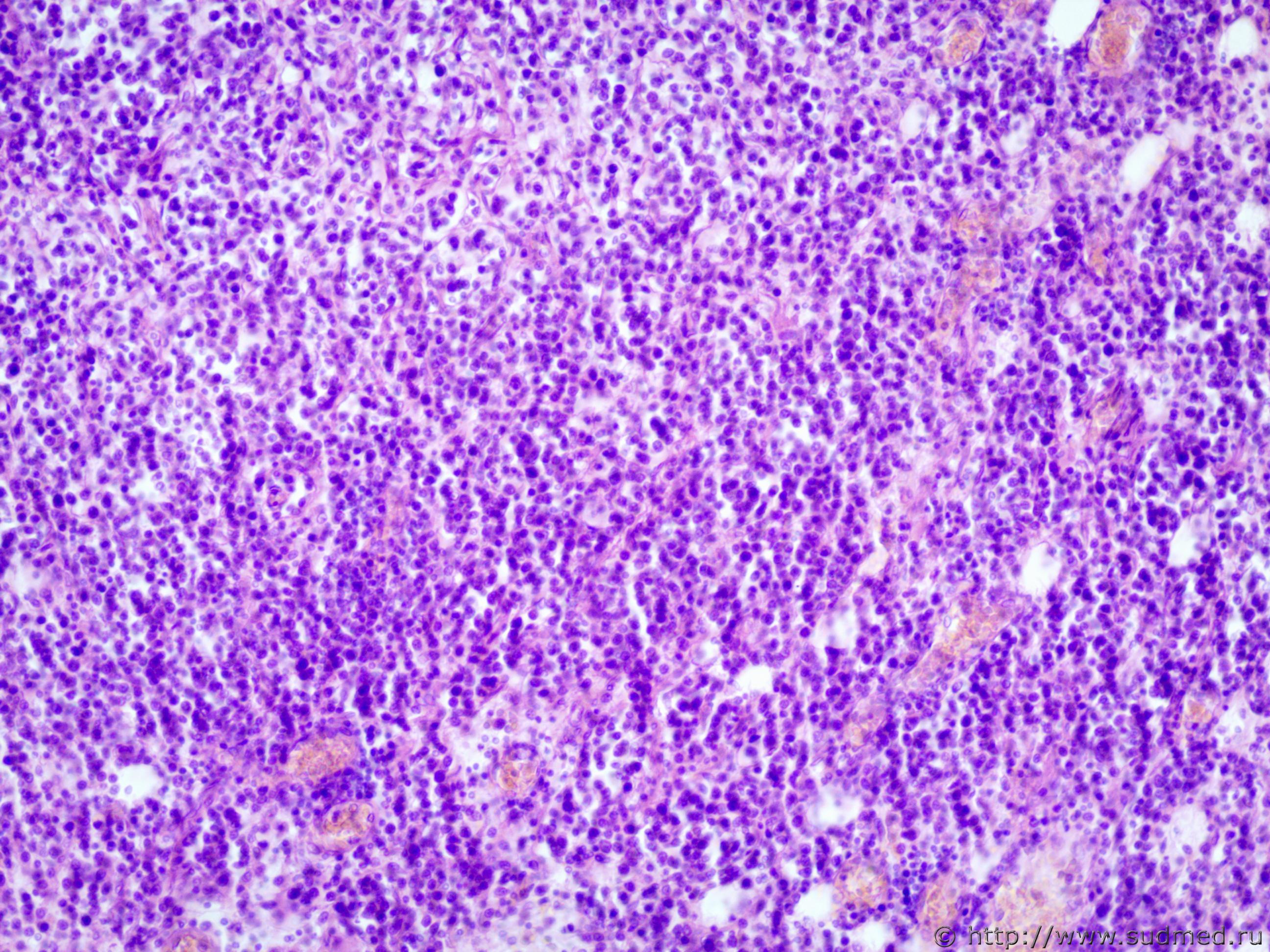
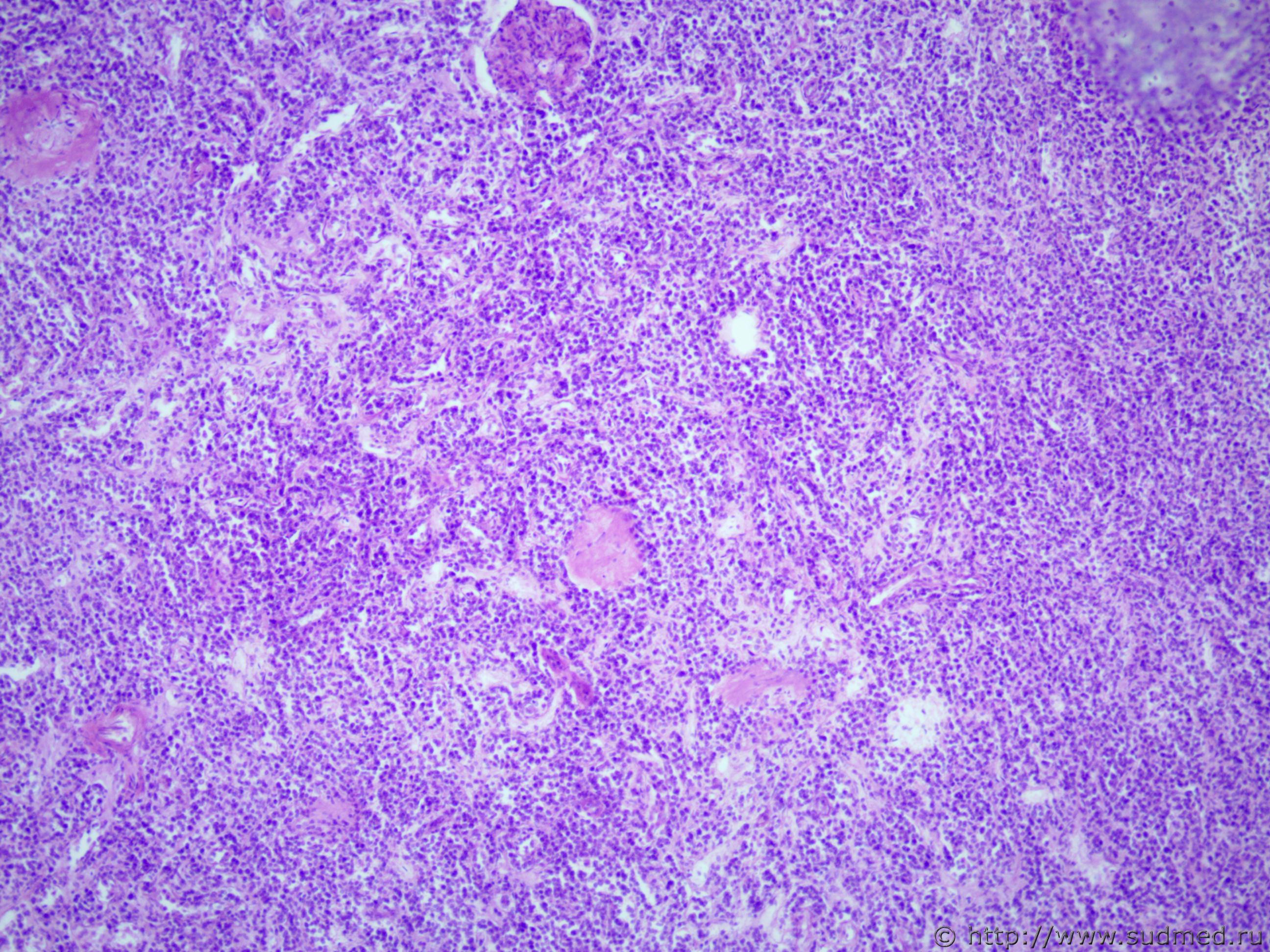
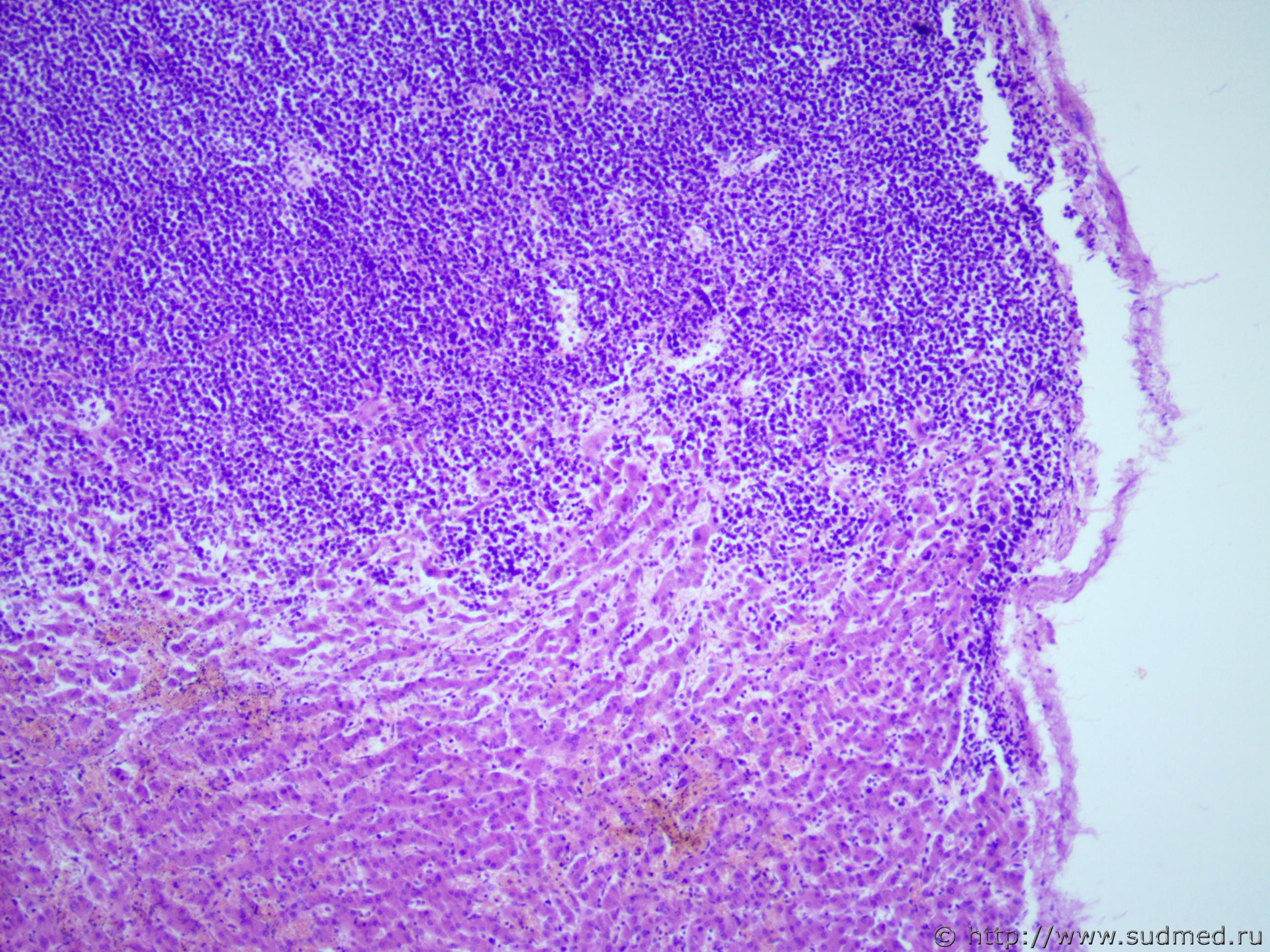
опухоль |
![]() |
![]() |
Сообщений в этой теме |
![]() |
IVANNES опухоль 22.09.2016 - 13:56
Медик Возраст ?
Более нигде нет ?
Пока остановился бы на... 22.09.2016 - 20:13
IVANNES Возраст ?
Более нигде нет ?
Пока остановился бы на... 23.09.2016 - 09:13
Медик Показал фото коллеге.Его мнение совпало с моим. 23.09.2016 - 10:59
IVANNES Показал фото коллеге.Его мнение совпало с моим.
Сп... 23.09.2016 - 12:33
Медик Пожалуйста. ;) 24.09.2016 - 21:16
доктор морфолог Не могли ли Вы увеличить фото для пересмотра стекл... 25.09.2016 - 20:03
IVANNES Не могли ли Вы увеличить фото для пересмотра стекл... 26.09.2016 - 08:54
доктор морфолог
На большем увеличении очень похожи на ПНЭО, злок... 27.09.2016 - 03:17
Медик похожи на ПНЭО, злокачественный тип.
Похоже.
С др.... 27.09.2016 - 09:25
Медик Ув.доктор морфолог.
2 фото рака почки из атласов.... 27.09.2016 - 09:56
доктор морфолог Синеклеточность, скудность цитоплазмы, большее яде... 27.09.2016 - 21:47![]() ![]() |
| Сейчас: 5.11.2025 - 13:22 |