![]() |
![]() |
![]() |
![]() |
![]() |
Давность переломов ребер |
![]() |
| Kiaran |
18.11.2016 - 19:29
Сообщение
#1 |
|
|
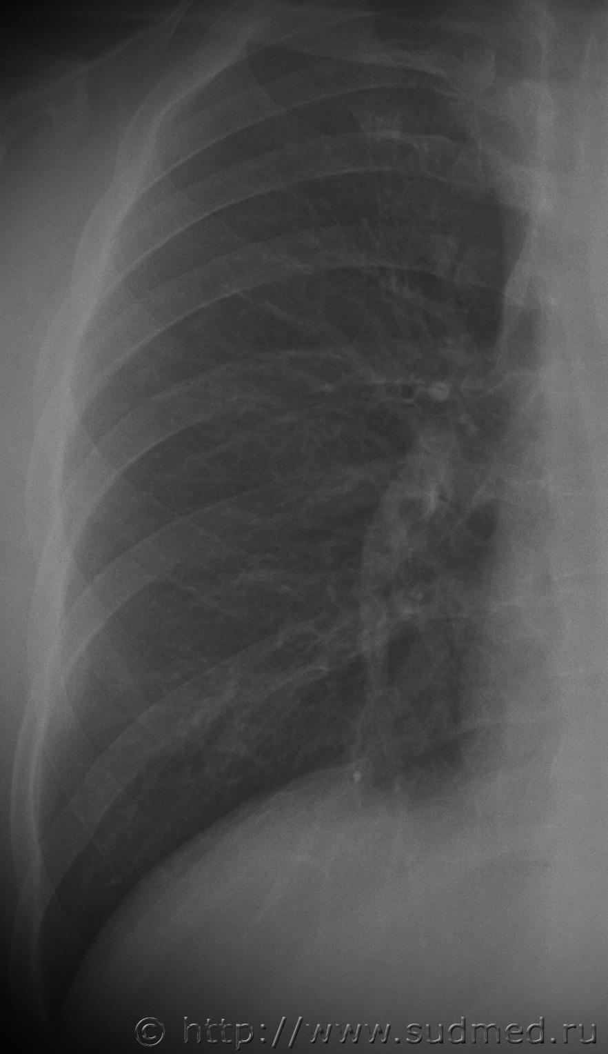
Некоторое время назад проводил экспертизу, у потерпевшего были переломы 8-10 ребер справа, ожидается что, может возникнуть вопрос по давности их образования, прикладываю предоставленные мне рентгеновские снимки. Какие мнения?
Эскизы прикрепленных изображений |
![]() |
![]() |
![]() |
Сообщений в этой теме |
![]() |
Kiaran Давность переломов ребер 18.11.2016 - 19:29
Anton Не могу разглядеть. 18.11.2016 - 20:55
Радомир Изменений 8 и 10 ребер не вижу. Оч.похоже на постт... 18.11.2016 - 21:53
Kiaran Уважаемые коллеги добавляю ссылки на электронные в... 2.12.2016 - 12:27
Anton То же. 2.12.2016 - 12:43
wera1985 То же.
Плоховато видно. Но я думаю недели три не м... 12.12.2016 - 19:58
мужик с батоном На 9-м ребре справа по задней подмышечной линии им... 18.12.2016 - 10:13
Vladex Консультация рентгеновских снимков находится в ком... 1.04.2017 - 14:10
Norman Свежих переломов нет. Даже на счёт консолидированн... 2.04.2017 - 07:02![]() ![]() |
| Сейчас: 9.11.2025 - 20:14 |