Здравствуйте, гость ( Вход | Регистрация )

Форум судебных медиков России
>

цистоподобные клетки, цистоподобные клетки во внутренних органах при ВИЧ-инфекции

>
ломо
сообщение 12.12.2016 - 22:26
Сообщение #1


Вновь прибывший

Группа: Участники
Регистрация: 4.05.2016
Пользователь №: 43 829


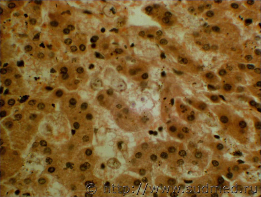
Уважаемые коллеги! что это за цистоподобные клетки в гол.мозге, печени, почках, лёгких? Препараты в стандартной окраске Г-Э. Труп мужчины 30 лет. ВИЧ-инфекция без специфической антиретровирусной терапии. Подобная картинка в национальном руководстве по патологической анатомии на стр. 93 рис.2-45 называется кандидоз. Я, как-то по другому представляю кандидоз в т.ч. генерализованный. Подскажите пожалуйста с чем я столкнулся. Судебная медицина - Прикрепленное изображение Судебная медицина - Прикрепленное изображениеСудебная медицина - Прикрепленное изображениеСудебная медицина - Прикрепленное изображениеСудебная медицина - Прикрепленное изображение
Судебная медицина - Прикрепленное изображение
Пользователь offline
К началу страницы
+Ответить с цитированием

>   Сообщений в этой теме >
ломо   цистоподобные клетки   12.12.2016 - 22:26
Медик   Криптококкоз.   13.12.2016 - 10:27
ломо   спасибо.   13.12.2016 - 21:16





- Обратная связь Сейчас: 4.11.2025 - 02:30