![]() |
![]() |
![]() |
![]() |
![]() |
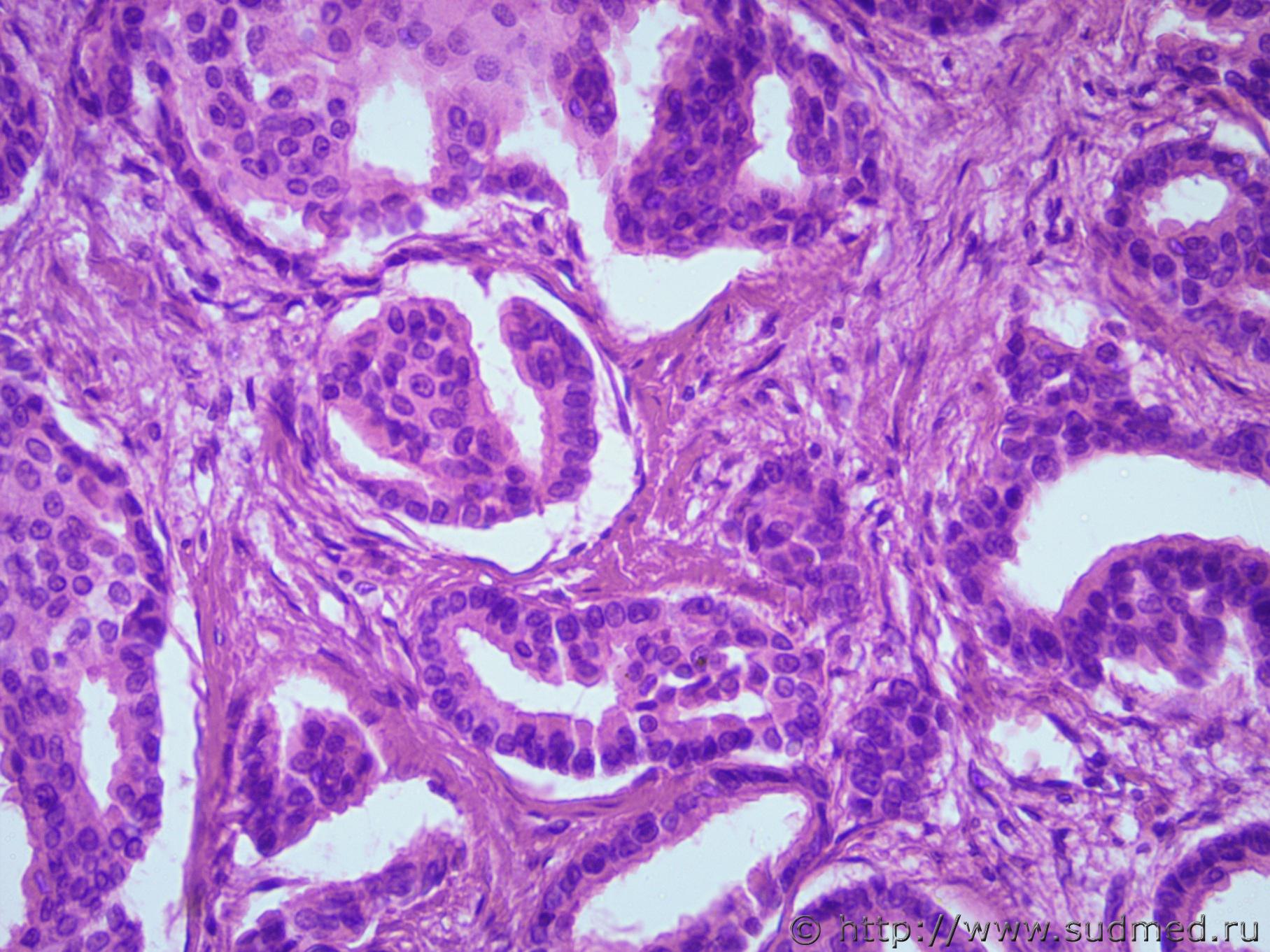
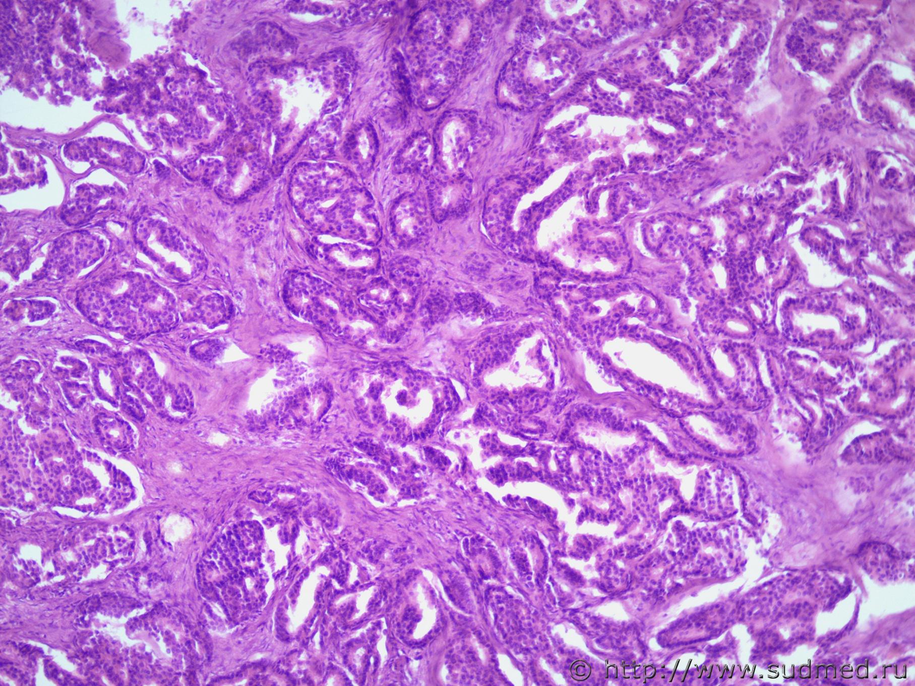
Опухоль грудной железы |
![]() |
![]() |
Сообщений в этой теме |
![]() |
IVANNES Опухоль грудной железы 21.03.2017 - 11:18
sudmedpatolog Я бы, наверное, подумала, что это инфильтрирующий ... 21.03.2017 - 17:28
Медик дольковый рак.
Этому раку наиболее типичен рост ... 21.03.2017 - 17:47
sudmedpatolog
Есть ли это на представленных фото ?
Уважаемый Ме... 21.03.2017 - 17:51
Медик я же написала, что ошиблась
Я Вас понял. 21.03.2017 - 17:58
Медик Протоковый рак. 21.03.2017 - 17:38
sudmedpatolog Протоковый рак.
Не успела сама себя исправить ... 21.03.2017 - 17:42
доктор морфолог По представленным рисункам похожи переход от атипи... 21.03.2017 - 23:37
Медик Нужно провести ИГХ
Надо ли это трупу и есть ли так... 22.03.2017 - 09:35
IVANNES Я тоже склоняюсь к инвазивному протоковому раку. К... 22.03.2017 - 09:16
Медик Показал коллегам.
Мнение их : на первом фото дольк... 22.03.2017 - 09:43
доктор морфолог Солидарен с ув.Медиком , что рак у трупа т.е.далее... 23.03.2017 - 00:09![]() ![]() |
| Сейчас: 5.11.2025 - 05:59 |