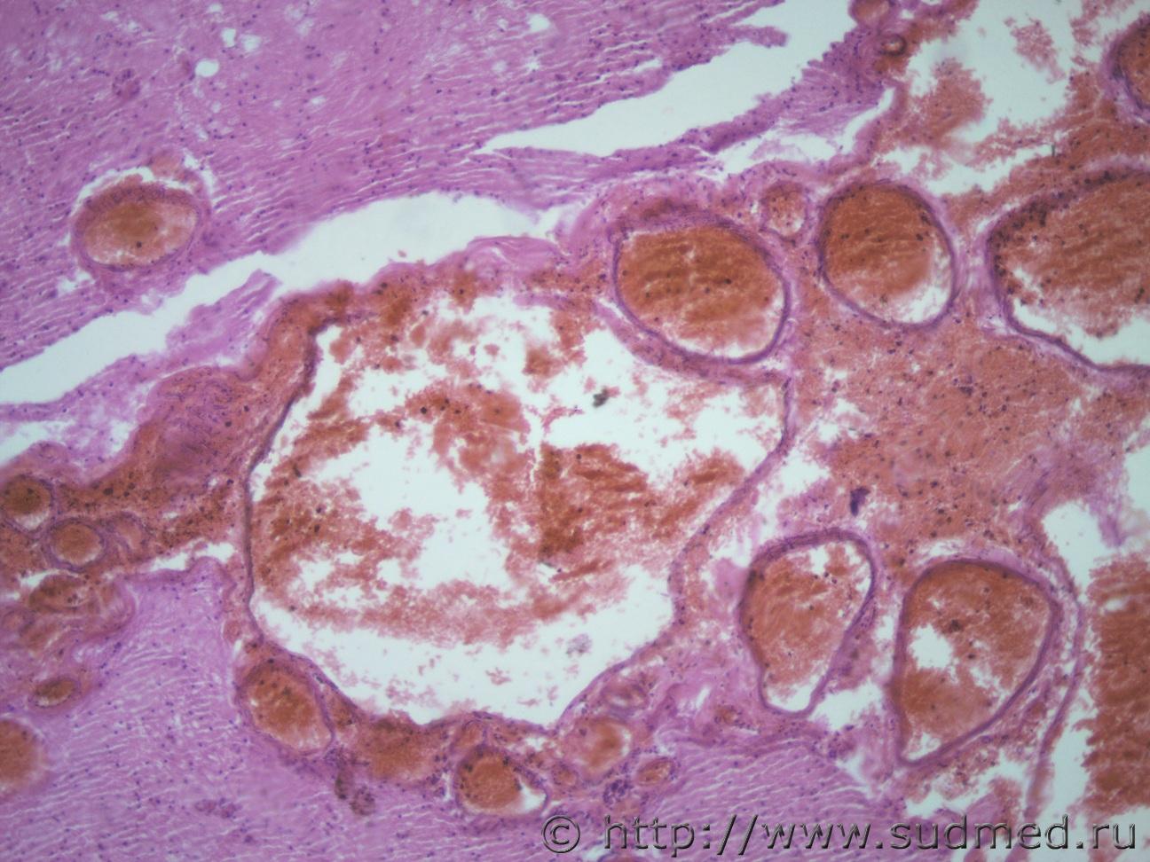
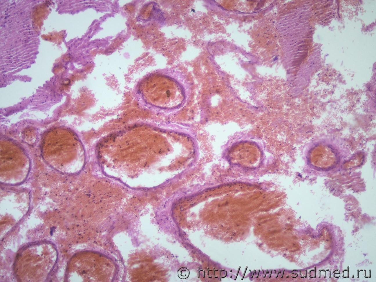
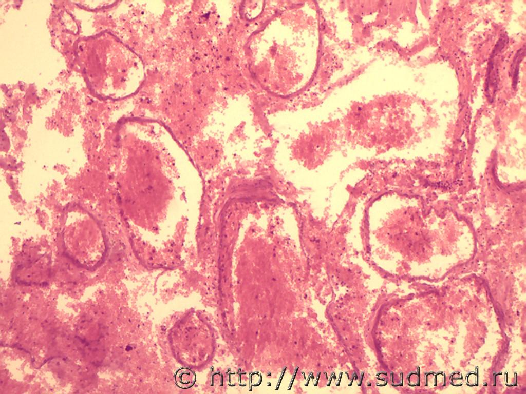
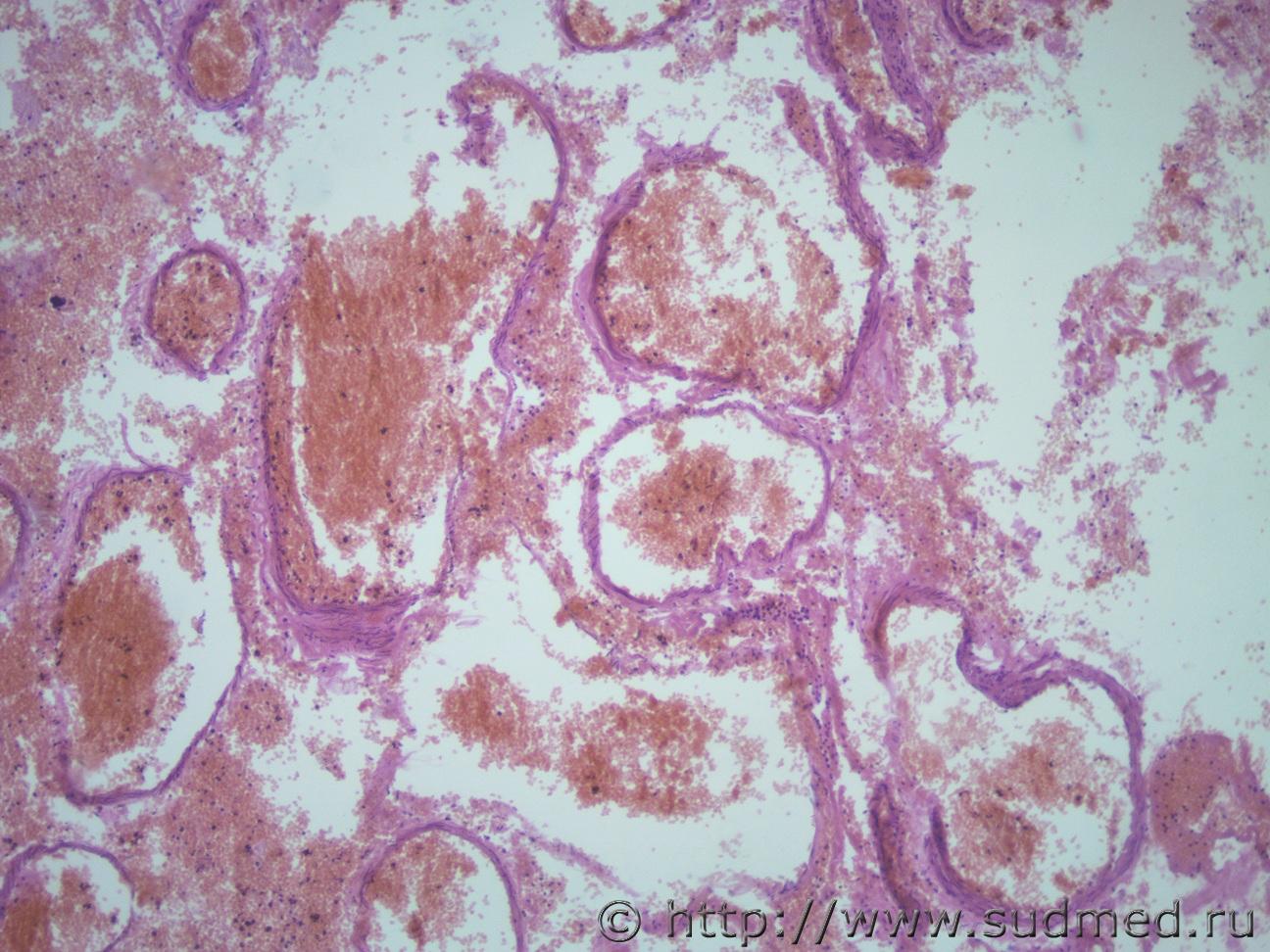
Ув. коллеги. Столкнулась с такой проблемой. Молодой человек 17 лет. в ходе драки причинены повреждения в результате которых в бессознательном состоянии госпитализирован с диагнозом ушиб г.м тяж ст. Массивный сак с прорывом в желудочковую систему, гемотампонада тотальная 3-4 жел. Через 2.5 дня умер, не приходя в сознание. на секции- сак лобной, височных долей выпуклой и базальной поверхностей, гемовентрикулюм, кровоизлияние под мягкую мозговою оболочку полушарий мозжечка, кровоизлияние в мягкие ткани головы (правая лобная, правая височная, левая скулощечная области). Ссадины, участки с внутрикожными кровоизлияниями на лице. Кровоизлияние в мягкие ткани груди слева, кровоизлияние под капсулу верхнего полюса левой почки. Микро- в стволовом отделе г.м сак и очаговые геморрагии в веществе. Переломов костей черепа нет, большая часть сак находится в базальных отделах, поэтом встал вопрос, а нет ли тут мальформации сосудов ствола? Вопрос от танатолага, гистологам, на секции эксперт подозрительных участков сосудов не видел.
