Здравствуйте, гость ( Вход | Регистрация )

Форум судебных медиков России
>

Инфаркт миокарда у кошки?

>
Catherine
сообщение 26.07.2017 - 00:50
Сообщение #1


Вновь прибывший

Группа: Участники
Регистрация: 10.02.2016
Пользователь №: 43 437


Здравствуйте, уважаемые форумчане.
Я являюсь начинающим ветеринарным врачом со специализацией по вскрытию мелких домашних животных. Так как общая патанатомия почти полностью совпадает у людей и животных, то хотелось бы узнать ваше мнение по следующему случаю.
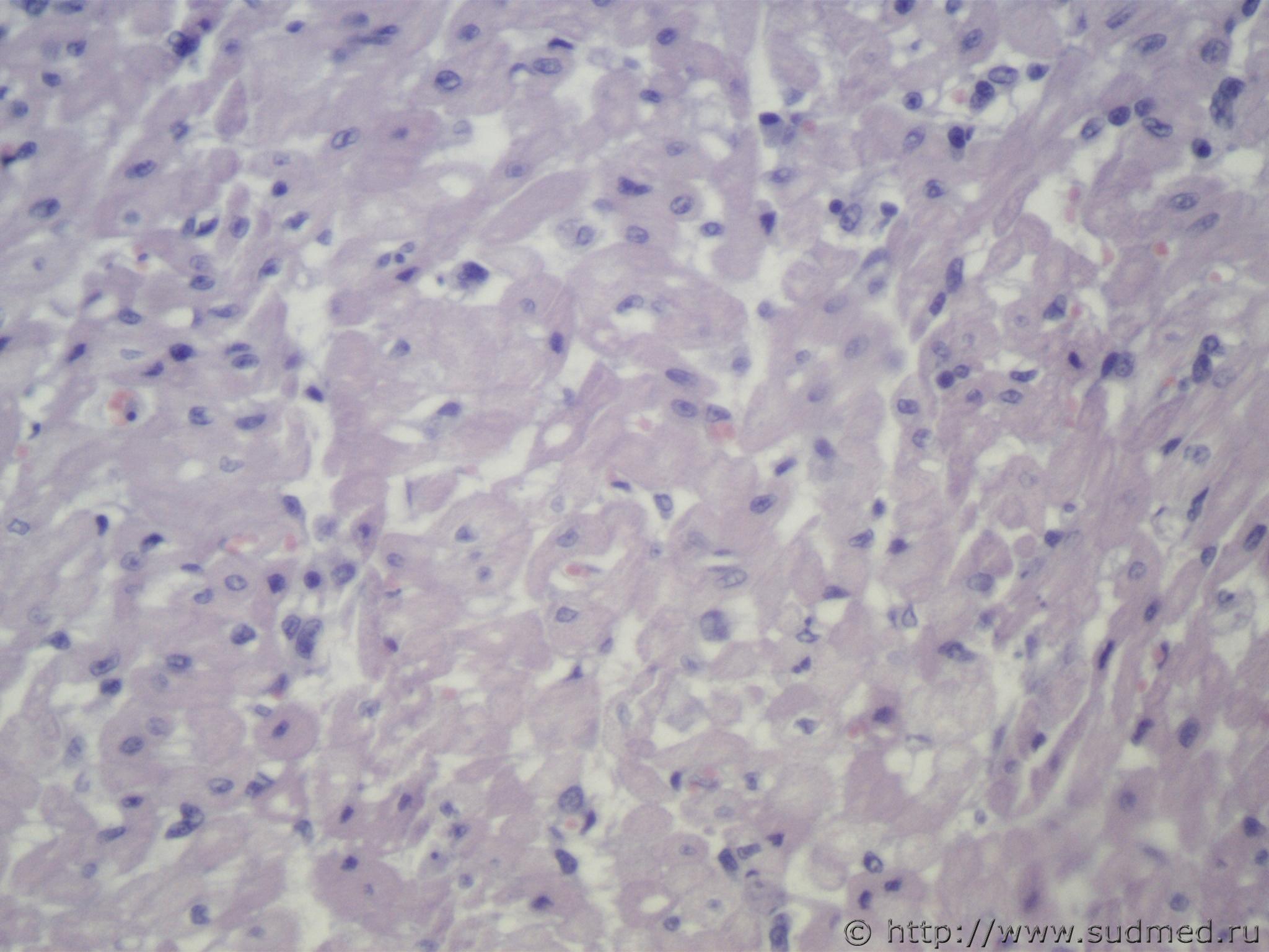
Кошка 8 месяцев. На вскрытии обнаружены полосчатые кровоизлияния миокарда; в области верхушки сердца крупный белый очаг примерно 0,6х0,6см, на мой взгляд, представляющий собой инфаркт. Вопрос в том, что существует мнение, что инфаркт миокарда у кошек и собак невозможен по неясным лично мне причинам. Можно ли говорить об инфаркте в данном случае?
Фото макро: с вырезки (только верхушка сердца и часть левого желудочка)
гистология: окраска гематоксилин и эозин (1-4) и ГОФП методом (5-7).
С уважением.

Сообщение отредактировал Catherine - 26.07.2017 - 00:54


Эскизы прикрепленных изображений
Судебная медицина - Прикрепленное изображение Судебная медицина - Прикрепленное изображение Судебная медицина - Прикрепленное изображение Судебная медицина - Прикрепленное изображение Судебная медицина - Прикрепленное изображение Судебная медицина - Прикрепленное изображение Судебная медицина - Прикрепленное изображение Судебная медицина - Прикрепленное изображение
Пользователь offline
К началу страницы
+Ответить с цитированием

>   Сообщений в этой теме >





- Обратная связь Сейчас: 3.11.2025 - 22:52