Здравствуйте, гость ( Вход | Регистрация )

Форум судебных медиков России
>

Какую пневмонию поставить?, ?

>
Асмодей
сообщение 24.08.2017 - 11:57
Сообщение #1


Опытный участник

Группа: СМЭ
Регистрация: 16.06.2015
Пользователь №: 42 102


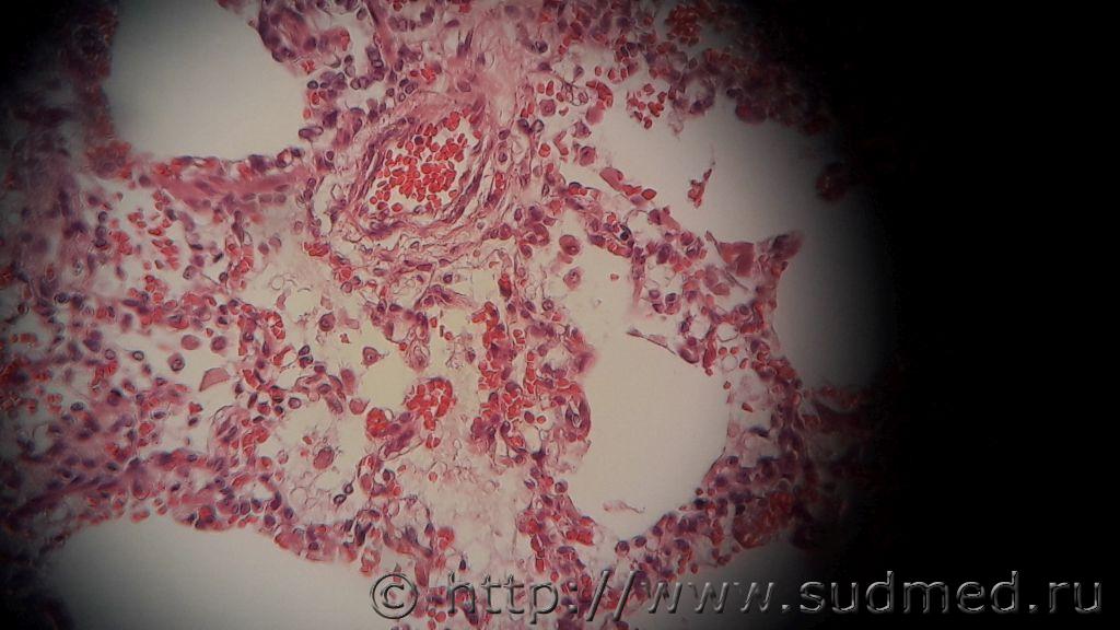
Добрый день, уважаемые коллеги. После одного случая мне у детей начала мерещиться почти всегда интерстициальная пневмония smile.gif Девочка 2 месяца, мама ВИЧ+. У самой девочки антитела есть, но достоверно ВИЧ не установлен, так как маленькая еще.

В препаратах легких встречаются вот такие очаги нейтрофильной инфильтрации
Судебная медицина - Прикрепленное изображениеСудебная медицина - Прикрепленное изображение

Но и на остальном протяжении легкие меня настораживают.
Судебная медицина - Прикрепленное изображениеСудебная медицина - Прикрепленное изображениеСудебная медицина - Прикрепленное изображениеСудебная медицина - Прикрепленное изображение
Судебная медицина - Прикрепленное изображениеСудебная медицина - Прикрепленное изображениеСудебная медицина - Прикрепленное изображениеСудебная медицина - Прикрепленное изображение


Помогите опытным взглядом.
Пользователь offline
К началу страницы
+Ответить с цитированием

>   Сообщений в этой теме >





- Обратная связь Сейчас: 6.11.2025 - 18:13