![]() |
![]() |
![]() |
![]() |
![]() |
Некроз яичка |
![]() |
| IVANNES |
26.10.2017 - 13:12
Сообщение
#1 |
|
|
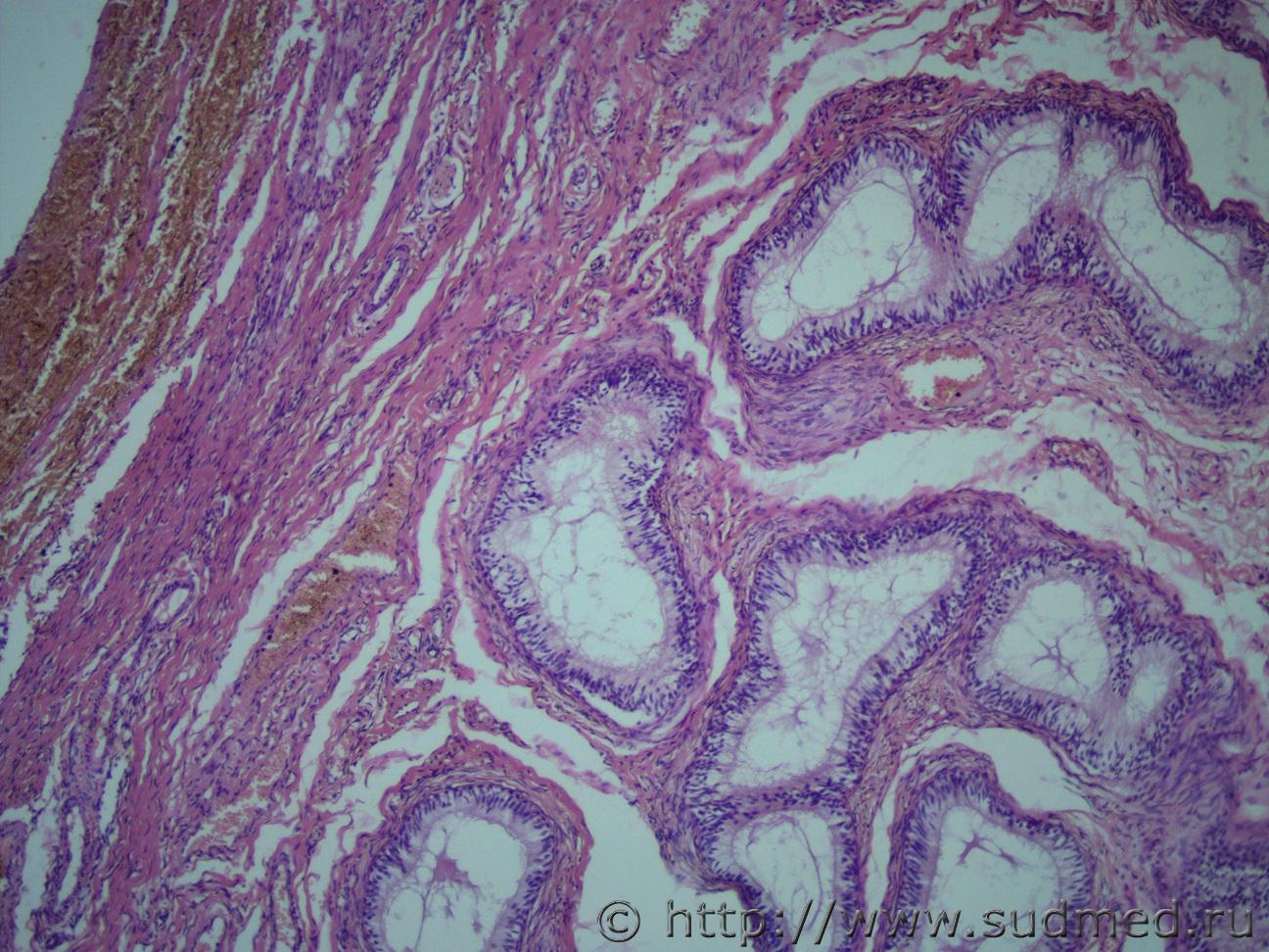
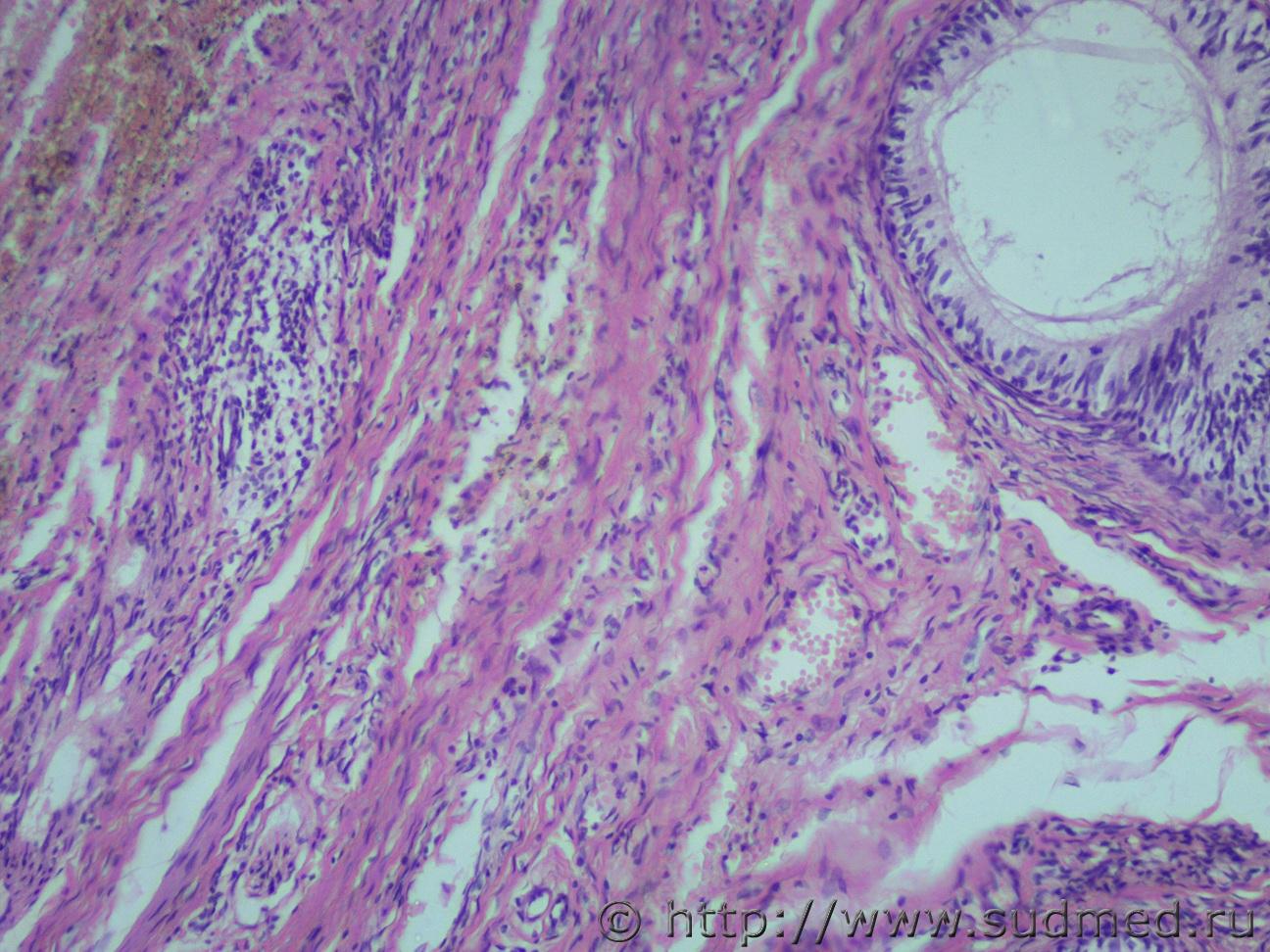
Ув. коллеги нужна помощь. У мальчика 15 лет появились резкие боли в правой половине мошонки. ДЗ: орхоэпидидимит справа. Данных за перекрут канатика нет. 1,5 мес. консервативного лечения и повторные УЗИ (некротически измененный придаток?) с выраженным его увеличением в объеме. Операция: высокая орфофуникулоэктомия справа по поводу перекрута и некроза правого яичка. Необходимо установить давность некроза яичка. 1-5 белочная оболочка и ткань яичка
следующие 5 придаток остальные ткань яичка |
![]() |
![]() |
![]() |
Сообщений в этой теме |
![]() |
IVANNES Некроз яичка 26.10.2017 - 13:12
a..anka думаю, соответствует указанному сроку. Хотя не зна... 26.10.2017 - 13:27
IVANNES Спасибо за быстрый ответ. Может у кого есть какая ... 26.10.2017 - 13:30
Медик Данных за перекрут канатика нет.
Нет, где (клин... 26.10.2017 - 13:31
IVANNES Нет, где (клинически или гистологически) ?
Надо с... 26.10.2017 - 14:11

Медик был выставлен диагноз о перекруте и сразу же сдел... 26.10.2017 - 15:44

IVANNES Сразу же - это сколько в днях,часах ?
Посмотрите в... 27.10.2017 - 08:57
a..anka
Надо сопоставить клинические данные и Ваши картин... 26.10.2017 - 14:55
доктор морфолог Последнее приблизительно до 6 часов... 26.10.2017 - 14:19
Медик Забыли про яичковую артерию. 26.10.2017 - 15:26![]() ![]() |
| Сейчас: 8.11.2025 - 14:15 |