![]()  | 
    ![]()  | 
  
![]()  | 
    ![]()  | 
  
![]()  | 
       Правила консультационного раздела | 
    ![]()  | 
  
ВНИМАНИЕ! Все сообщения проходят предварительную проверку модератором и только после этого появляются на форуме. Порядок работы раздела изложен в правилах форума.
Все консультации на форуме бесплатны, но если мы смогли вам помочь, вы можете поддержать наш проект (подробнее).
![]()  | 
    ![]()  | 
  
![]()  | 
	 Гемоторакс | 
	 ![]()  | 
	
| НВС | 
  10.01.2018 - 10:00
 Сообщение
#1  | 
| 
 | 
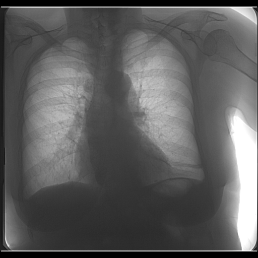
 Уважаемые эксперты. 
Есть ли на прилагаемых ФЛГ гемоторакс (5 день после перелома 7,8,9 ребер) Прикрепленные файлы  
 2.bmp ( 257.05 килобайт )
Кол-во скачиваний:  907 
 1.bmp ( 257.05 килобайт )
Кол-во скачиваний:  897 | 
![]()  | 
        ![]()  | 
      
![]()  | 
       Сообщений в этой теме | 
    ![]()  | 
  
 НВС   Гемоторакс   10.01.2018 - 10:00
 
 Anton   Нет.   10.01.2018 - 19:03
 
 Медик    гемоторакс
Не вижу.   10.01.2018 - 21:11
 
 Радомир   Нет гемоторакса. Снимки высокого качества. Позволя...   11.01.2018 - 01:27![]() ![]()  | 
	
| Сейчас: 4.11.2025 - 16:59 |