Здравствуйте, гость
(
Вход
|
Регистрация
)
Форум
Правила форума
Помощь
Поиск
Форум судебных медиков России
>
Судебная медицина и судебно-медицинская экспертиза
>
Судебно-медицинская гистология
Рак легкого
Опции
IVANNES
28.03.2018 - 13:16
Сообщение
#1
Опытный участник
Группа: СМЭ
Регистрация: 28.02.2015
Пользователь №: 41 483
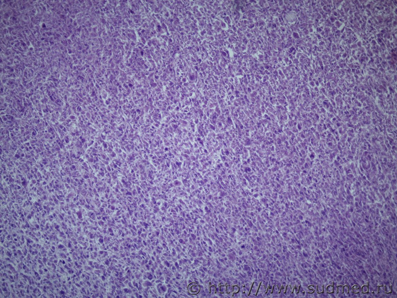
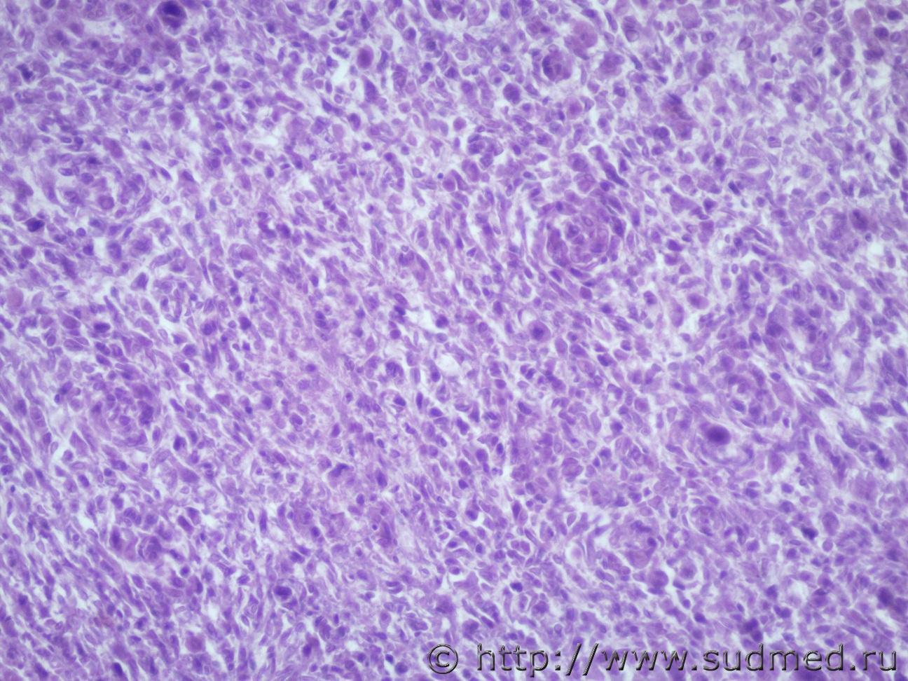
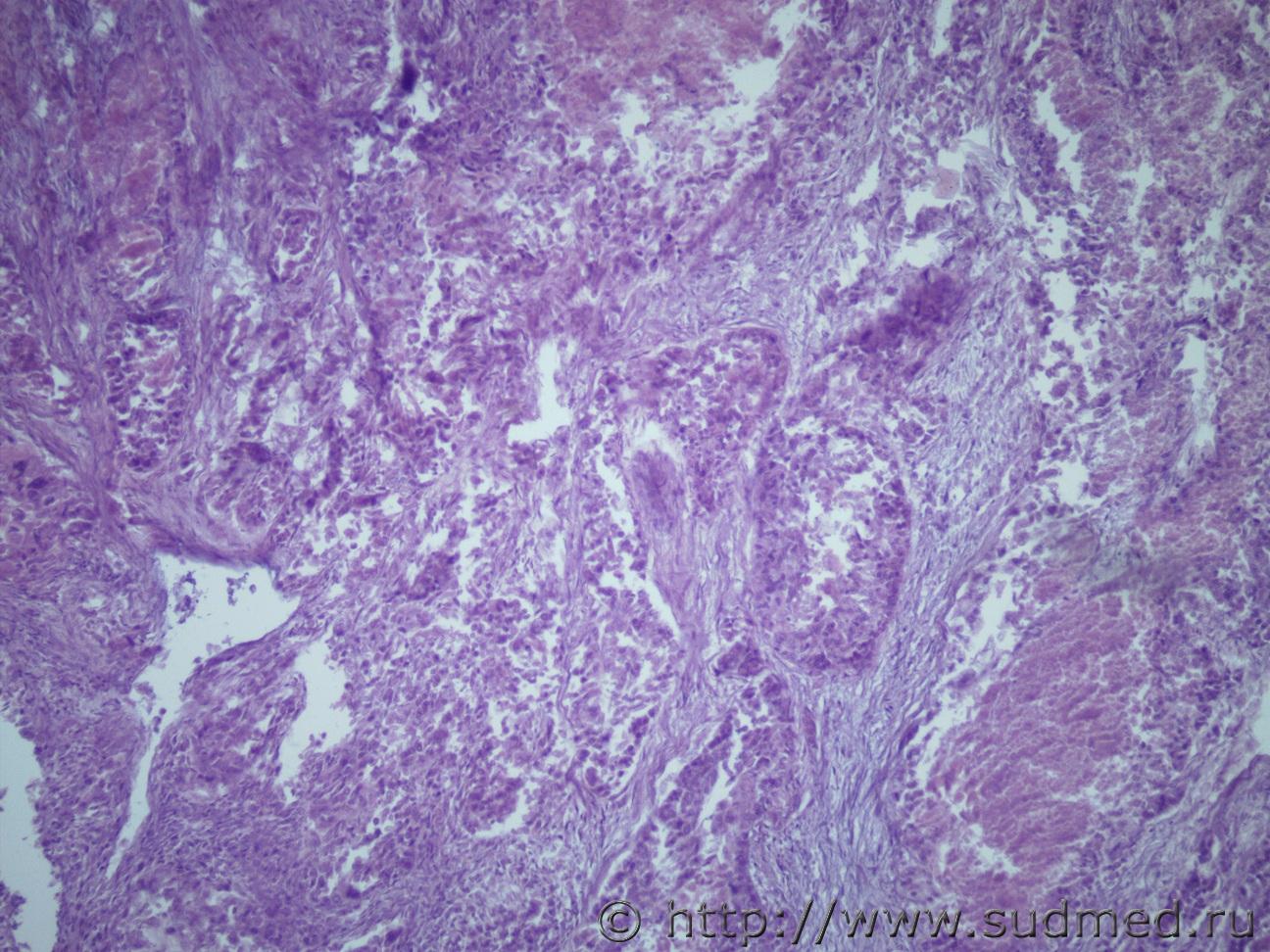
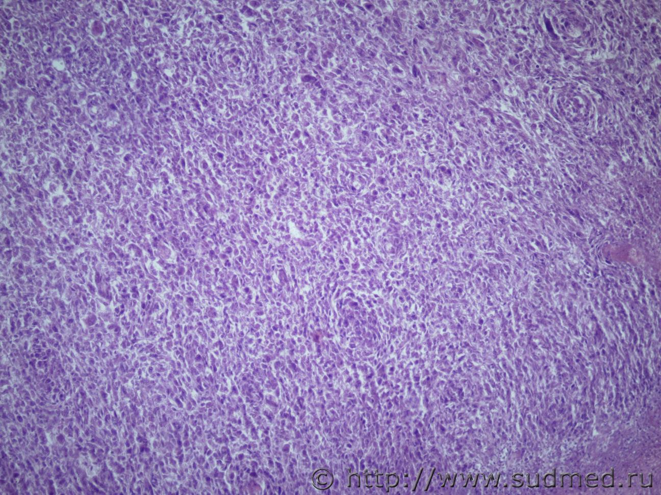
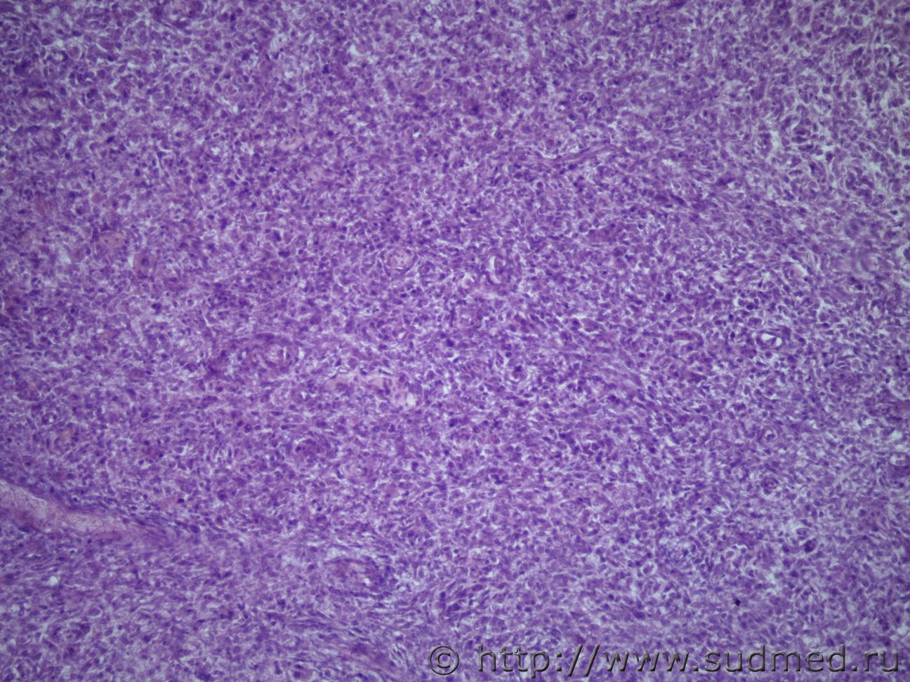
Ув. коллеги помогите определиться с раком легкого. Муж 63 года.
Сообщений в этой теме
IVANNES
Рак легкого
28.03.2018 - 13:16
Медик
Плоскоклеточный низкодифференцированный рак.
28.03.2018 - 13:34
Anton
Он.
28.03.2018 - 16:52
« Предыдущая тема
·
Судебно-медицинская гистология
·
Следующая тема »
Режим отображения:
Переключить на: Стандартный
·
Переключить на: Линейный
·
Древовидный
Подписка на тему
·
Сообщить другу
·
Версия для печати
·
Подписка на этот форум
Обратная связь
Сейчас: 5.11.2025 - 07:11
Русская версия
Invision Power Board
© 2025 IPS, Inc.
Лицензия зарегистрирована на: sudmed.ru
© 2002-2017
Форум судебных медиков России
Копирование материалов сайта возможно при условии размещения активной ссылки на источник.