![]() |
![]() |
![]() |
![]() |
![]() |
Пневмония? |
![]() |
| IVANNES |
5.04.2018 - 14:51
Сообщение
#1 |
|
|
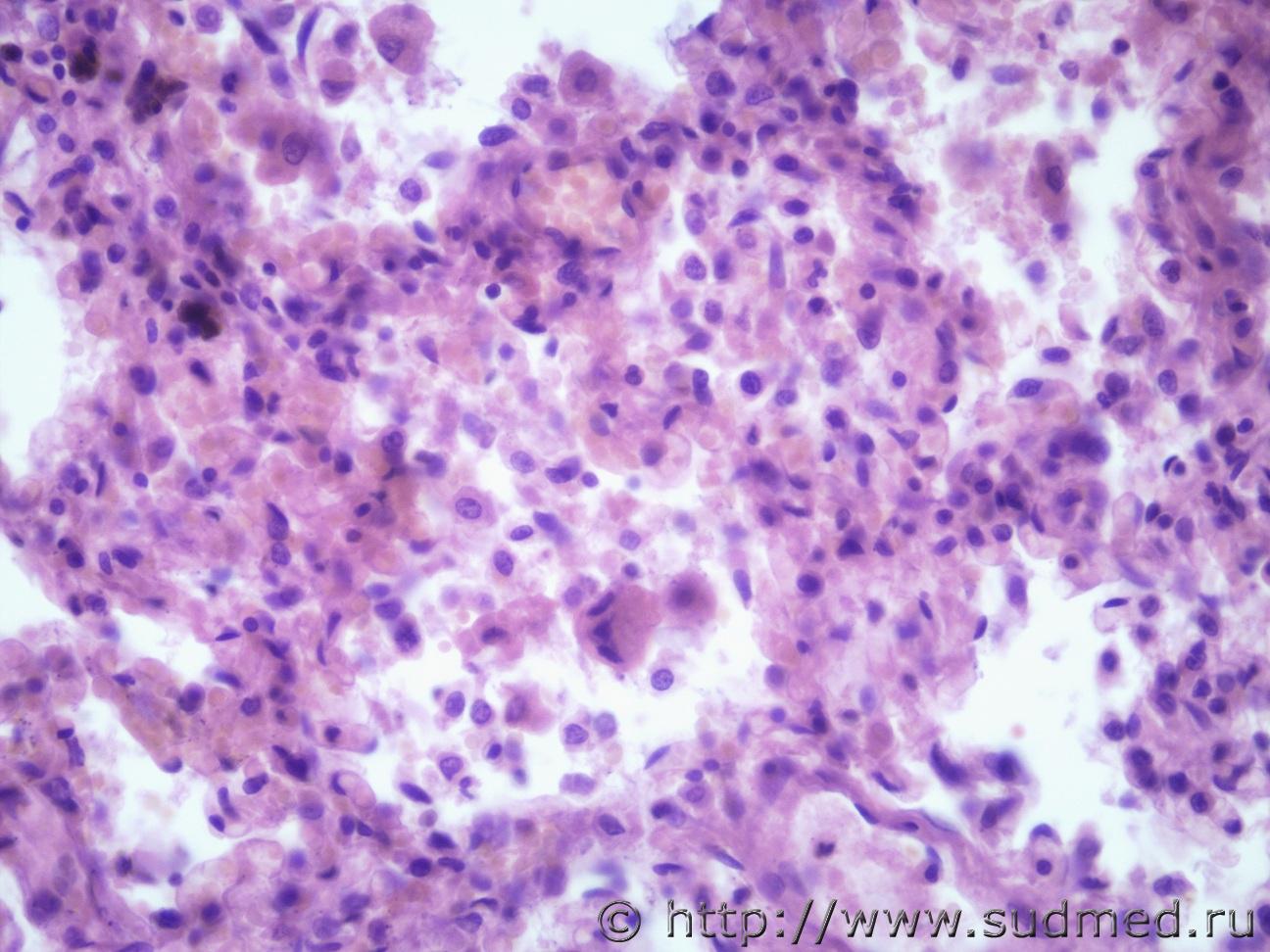
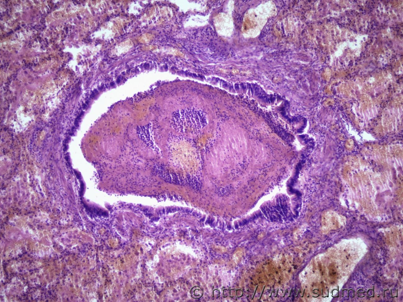
Подскажите как назвать данную пневмонию. По закону парных случаев, на данный момент у меня два разных случая с одинаковой морфологией. В морфологии в альвеолах эозинофильное содержимое, слущенные альвеолоциты, гигантские, многоядерные клетки, выраженный геморрагический компонент, местами немного лейкоцитов, свертки фибрина. Обширные свертки в бронхах. Очень похоже на вирусную, но как ее может назвать морфолог?
|
![]() |
![]() |
![]() |
Сообщений в этой теме |
![]() |
IVANNES Пневмония? 5.04.2018 - 14:51
Anton Интерстициально-десквамативная. 5.04.2018 - 21:10
Медик + местами похоже на гиалиновые мембраны и в капилл... 6.04.2018 - 12:06
IVANNES + местами похоже на гиалиновые мембраны и в капилл... 6.04.2018 - 13:44
доктор морфолог Да, совершенно верно. Признаки РДСВ есть
ОВБИ осло... 8.04.2018 - 17:40
IVANNES Всем огромное спасибо за участие. 9.04.2018 - 10:46![]() ![]() |
| Сейчас: 6.11.2025 - 03:55 |