Здравствуйте, гость ( Вход | Регистрация )

Форум судебных медиков России
>

Опухоль мозга

>
IVANNES
сообщение 9.07.2018 - 11:31
Сообщение #1


Опытный участник

Группа: СМЭ
Регистрация: 28.02.2015
Пользователь №: 41 483


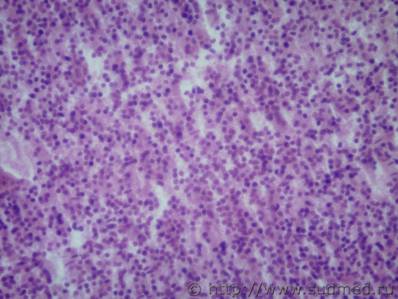
Ув. коллеги помогите пожалуйста разобраться с опухолью головного мозга. Муж 1983 г.р. Поступил в стационар в коме. Диагноз: доброкачественное образование третьего желудочка с прорастанием в боковые желудочки (эпендимома?), осложненная окклюзионной гидроцефалией. Макро описания нет. Судебная медицина - Прикрепленное изображение Судебная медицина - Прикрепленное изображениеСудебная медицина - Прикрепленное изображениеСудебная медицина - Прикрепленное изображение
Пользователь offline
К началу страницы
+Ответить с цитированием

>   Сообщений в этой теме >





- Обратная связь Сейчас: 5.11.2025 - 19:03