![]() |
![]() |
![]() |
![]() |
![]() |
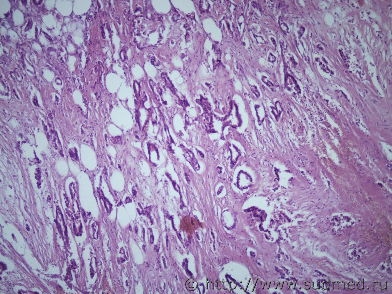
метастазы |
![]() |
| IVANNES |
10.08.2018 - 09:39
Сообщение
#1 |
|
|
Ув. коллеги помогите))) Рак ПЖ с метастазами в брыжейку кишечника, забрюшинное пространство, большой сальник. Самой ПЖ на исследование не прислали. Есть только метастазы. Могу ли я по ним написать заключение, что это метастазы такого-то рака ПЖ? Микро-пролиферация атипичных полиморфных клеток с крупными и мелкими гиперхромными ядрами округлой, овальной, неправильной формы с патологическими митозами, напоминающими строение железистых структур. Мне кажется это протоковая аденокарцинома.
|
![]() |
![]() |
![]() |
Сообщений в этой теме |
![]() |
IVANNES метастазы 10.08.2018 - 09:39
griga Я бы не стал уточнять без иммуногистохимии. Метаст... 10.08.2018 - 10:18
IVANNES Я бы не стал уточнять без иммуногистохимии. Метаст... 10.08.2018 - 11:07
Медик Могу ли я по ним написать заключение, что это мета... 10.08.2018 - 11:56
IVANNES Метастаз аденокарциномы.Уровень дифференцировки оп... 10.08.2018 - 12:40
доктор морфолог Метастаз аденокарциномы.Уровень дифференцировки оп... 10.08.2018 - 20:01![]() ![]() |
| Сейчас: 10.11.2025 - 14:04 |