Здравствуйте, гость ( Вход | Регистрация )

Форум судебных медиков России
>

Злокачественное образование глотки

>
IVANNES
сообщение 13.08.2018 - 10:33
Сообщение #1


Опытный участник

Группа: СМЭ
Регистрация: 28.02.2015
Пользователь №: 41 483


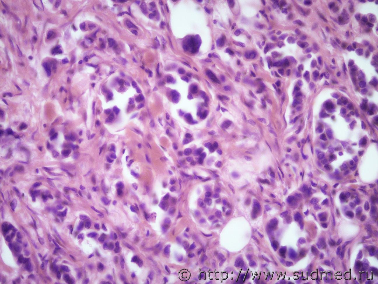
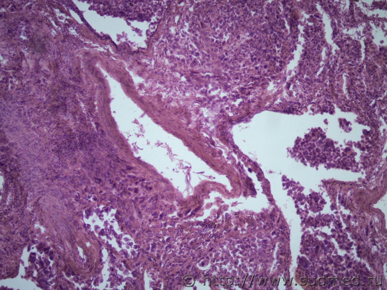
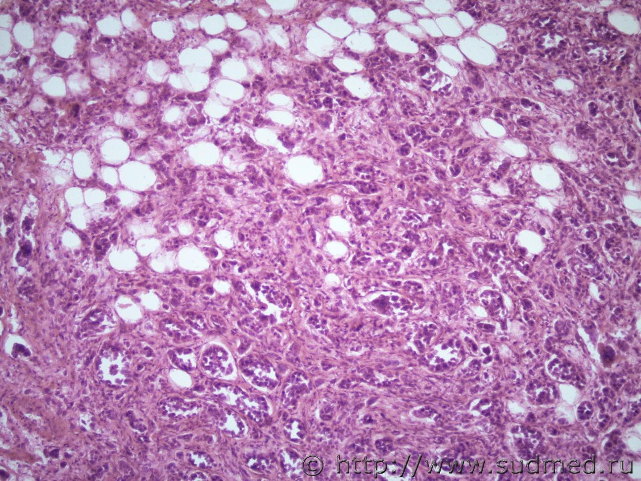
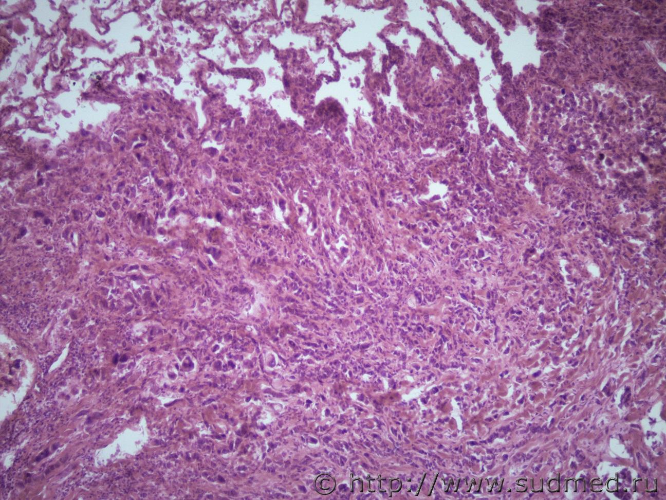
Ув. коллеги я как всегда к Вам с опухолью))). Муж 70 лет. Новообразование глотки справа с прорастанием в прилежащие мягкие ткани шеи, множественные метастазы в правое легкое, печень, подчелюстные и шейные лимфатические узлы.Судебная медицина - Прикрепленное изображение Судебная медицина - Прикрепленное изображениеСудебная медицина - Прикрепленное изображениеСудебная медицина - Прикрепленное изображениеСудебная медицина - Прикрепленное изображение
Судебная медицина - Прикрепленное изображениеСудебная медицина - Прикрепленное изображениеСудебная медицина - Прикрепленное изображениеСудебная медицина - Прикрепленное изображение
Судебная медицина - Прикрепленное изображениеСудебная медицина - Прикрепленное изображение Последние 3 легкие.
Пользователь offline
К началу страницы
+Ответить с цитированием

>   Сообщений в этой теме >





- Обратная связь Сейчас: 5.11.2025 - 01:54