Здравствуйте, гость ( Вход | Регистрация )

Форум судебных медиков России
>

Метастазы

>
a..anka
сообщение 22.08.2018 - 13:11
Сообщение #1


Участник форума

Группа: Участники
Регистрация: 10.11.2014
Пользователь №: 40 705


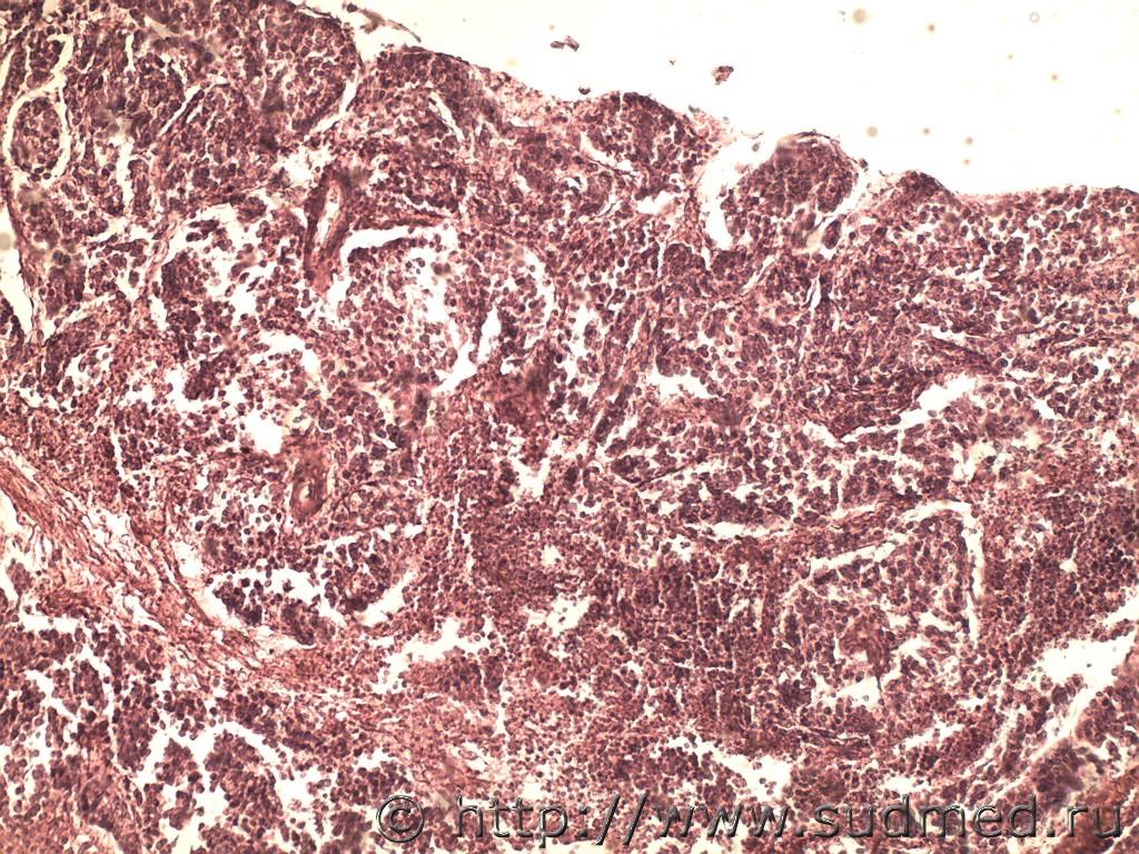
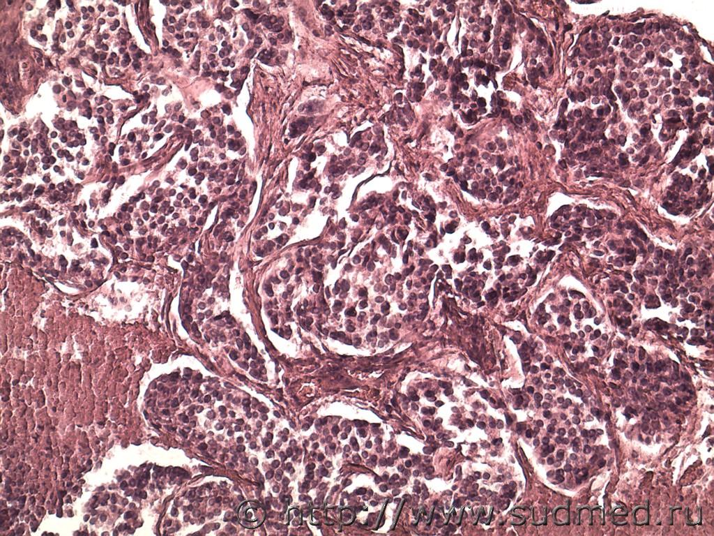
Уважаемы коллеги! У меня женщина 1977 г.р на вскрытии в области малого таза обширные спайки, клетчатка замещена патологической тканью хрящевой плотности, дифференцировать внутренние половые органы было невозможно; метастазы в ММО полушарий, мозжечка, спинного мозга, костях. Со слов родственников при жизни диагностирован рак половых органов (то ли яичников, то ли матки- внятно не могут ответить), долгая химиотерапия. У меня микропрепараты клетчатки малого таза, ММО структур ГМ и СМ, позвоночник с раком (полагаю, метастазы). Скажите, возможно ли дифференцировать название опухоли по метастазам, как вы пишете в таком случае диагноз? Не хочу промахнуться, иначе потом родственники найдут дома документы с названием рака и не дай бог это не совпадёт с моим диагнозом, будут разборки. Заранее спасибо


Эскизы прикрепленных изображений
Судебная медицина - Прикрепленное изображение Судебная медицина - Прикрепленное изображение Судебная медицина - Прикрепленное изображение Судебная медицина - Прикрепленное изображение Судебная медицина - Прикрепленное изображение Судебная медицина - Прикрепленное изображение Судебная медицина - Прикрепленное изображение Судебная медицина - Прикрепленное изображение Судебная медицина - Прикрепленное изображение Судебная медицина - Прикрепленное изображение Судебная медицина - Прикрепленное изображение
Пользователь offline
К началу страницы
+Ответить с цитированием

>   Сообщений в этой теме >





- Обратная связь Сейчас: 4.11.2025 - 19:49