![]() |
![]() |
![]() |
![]() |
![]() |
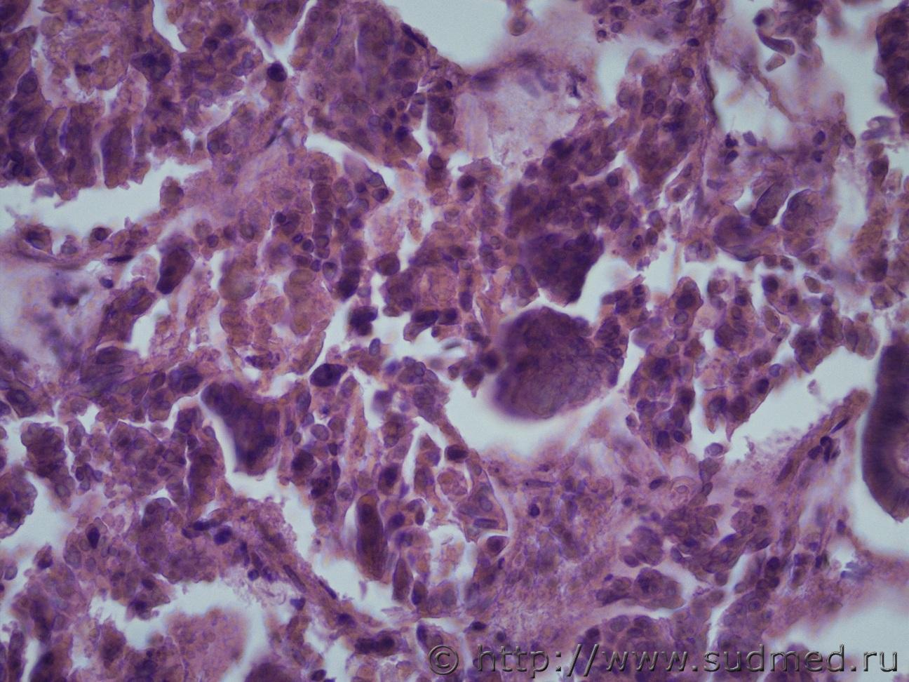
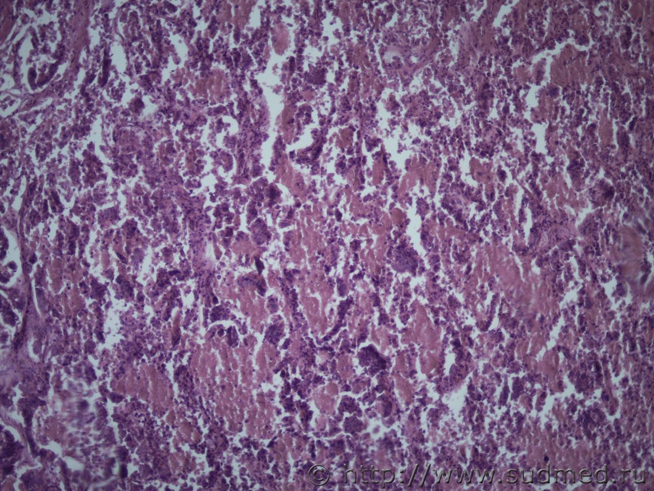
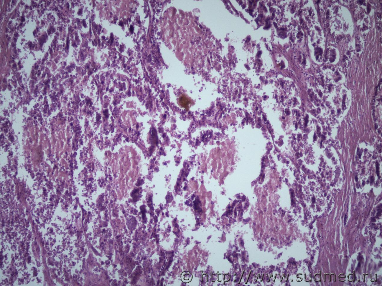
опухоль печени |
![]() |
![]() |
Сообщений в этой теме |
![]() |
IVANNES опухоль печени 21.11.2018 - 10:39
Anton Эпителий желчного типа, д.б. холангиокарцинома. 21.11.2018 - 14:02
Медик Резекция почки (причина неизвестна).
Скорее,нефрэ... 22.11.2018 - 20:17
IVANNES Скорее,нефрэктомия.
Похоже.
Спасибо. Почка не бала... 23.11.2018 - 10:01
Медик Понял,приношу извинение. 23.11.2018 - 23:38
andy_bob Железистая ткань с фигурами патологического митоза... 29.11.2018 - 12:39![]() ![]() |
| Сейчас: 9.11.2025 - 11:28 |