Здравствуйте, гость ( Вход | Регистрация )

Форум судебных медиков России
>

Рак предстательной железы

>
IVANNES
сообщение 24.12.2018 - 11:03
Сообщение #1


Опытный участник

Группа: СМЭ
Регистрация: 28.02.2015
Пользователь №: 41 483


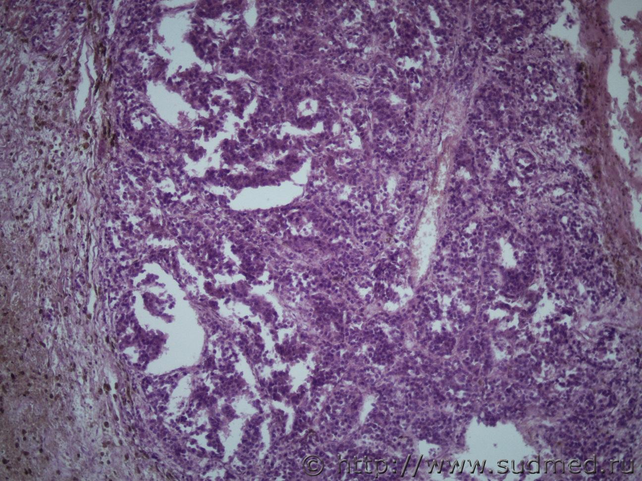
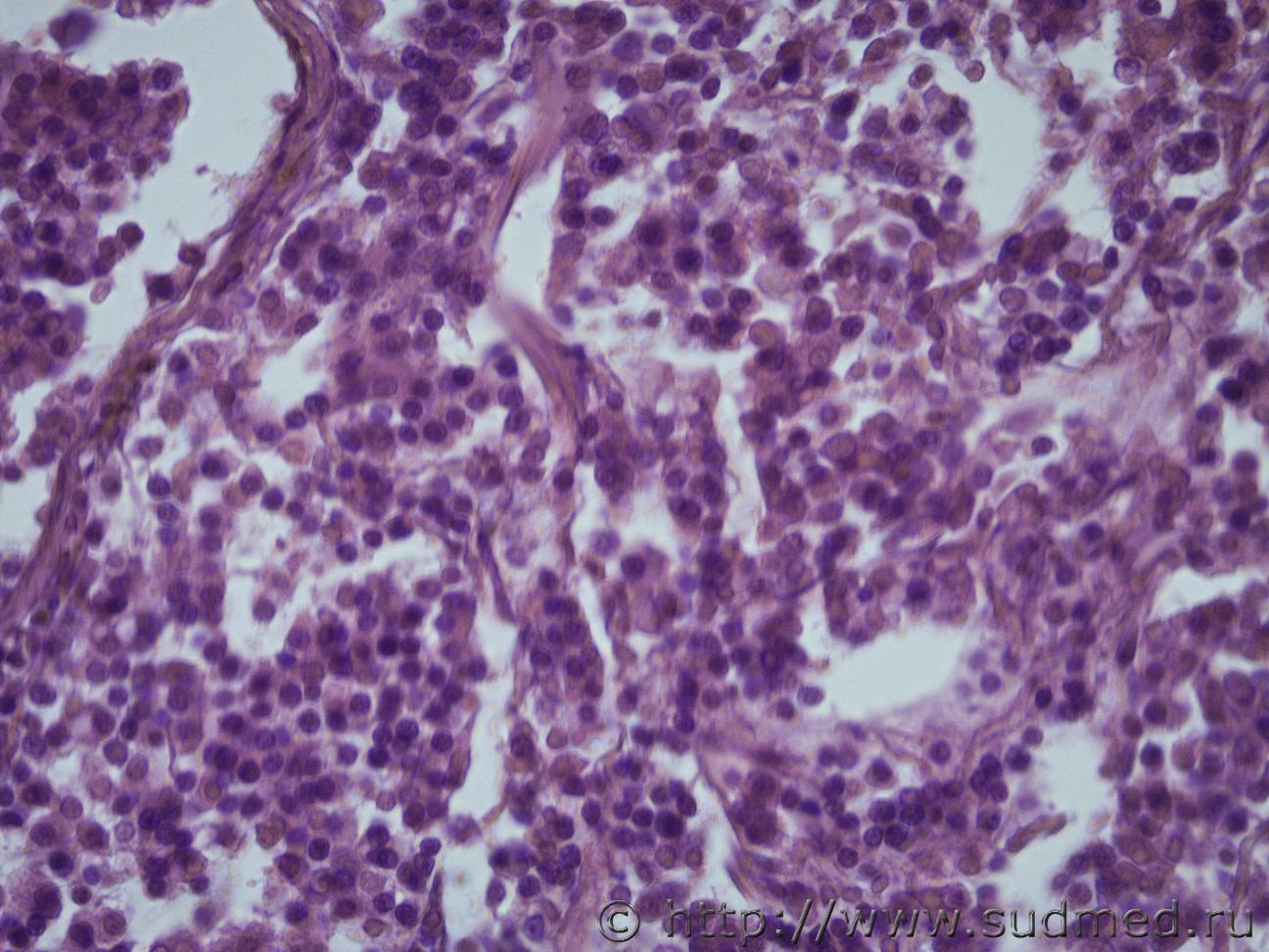
Ув. коллеги помогите определиться с раком. Муж 60 лет. Новообразование предстательной железы с метастазами в легкие, печень, диафрагмуСудебная медицина - Прикрепленное изображение Судебная медицина - Прикрепленное изображениеСудебная медицина - Прикрепленное изображениеСудебная медицина - Прикрепленное изображениеСудебная медицина - Прикрепленное изображение
Судебная медицина - Прикрепленное изображениеСудебная медицина - Прикрепленное изображениеСудебная медицина - Прикрепленное изображение ПеченьСудебная медицина - Прикрепленное изображение Судебная медицина - Прикрепленное изображение
Пользователь offline
К началу страницы
+Ответить с цитированием

>   Сообщений в этой теме >





- Обратная связь Сейчас: 7.11.2025 - 06:14