![]() |
![]() |
![]() |
![]() |
![]() |
Образование у крысы |
![]() |
| IVANNES |
25.12.2018 - 14:28
Сообщение
#1 |
|
|
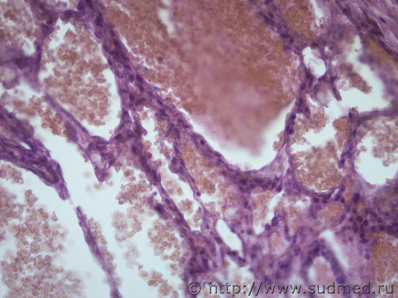
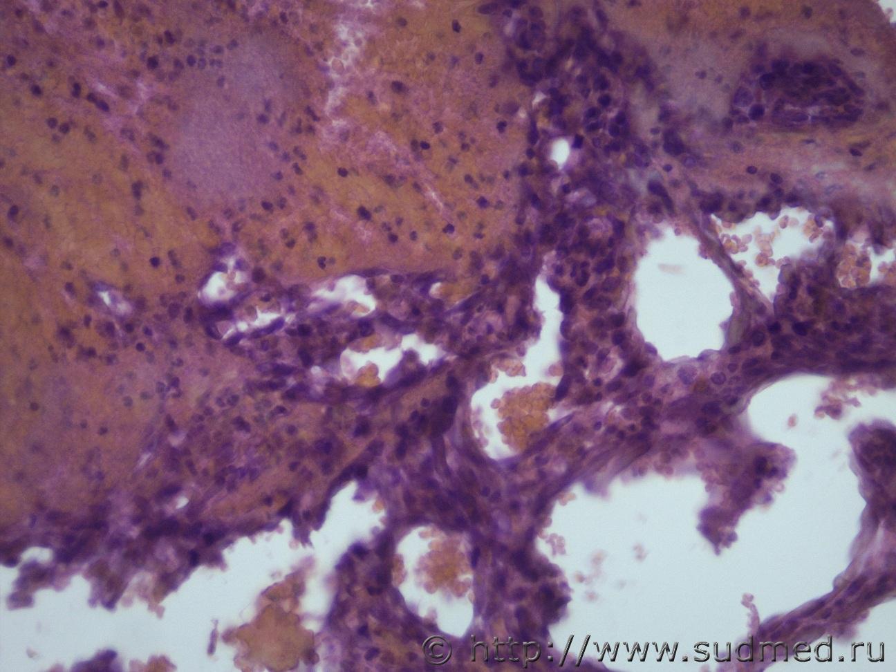
Ув. коллеги, может это тема не для нашего форума, но вдруг у кого нибудь будут идеи по этому поводу. В течении месяца выросло образование за ухом у лабораторной крысы округлой формы, плотно-эластической консистенции, в диаметре 1 см. Хозяин крысы подумал, что это абсцесс и решил сделать пункцию, после прокола истекло приличное количество крови и в течении 10-20 мин крыса скончалась. Макро- образование округлой формы, в тонкой капсуле, строма в виде ячеек, с кровоизлияниями.
|
![]() |
![]() |
![]() |
Сообщений в этой теме |
![]() |
IVANNES Образование у крысы 25.12.2018 - 14:28
sudmedpatolog Похоже на кавернозную гемангиому . 25.12.2018 - 17:10
Медик кавернозную гемангиому .
Аналогично.Зла здесь нет... 26.12.2018 - 23:22
IVANNES Аналогично.Зла здесь нет.
Тема перемещена в ... 27.12.2018 - 08:46
IVANNES Я тоже об этом подумала, но как она выросла за 1 м... 26.12.2018 - 09:13![]() ![]() |
| Сейчас: 9.11.2025 - 00:47 |