![]() |
![]() |
![]() |
![]() |
![]() |
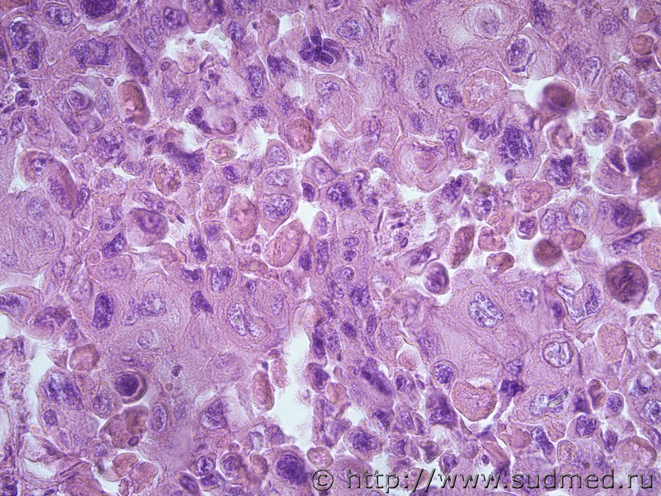
Опухоль стенки прямой кишки |
![]() |
![]() |
Сообщений в этой теме |
![]() |
IVANNES Опухоль стенки прямой кишки 15.01.2019 - 13:58
Anton Что-то недифференцированное. 15.01.2019 - 14:45
доктор морфолог Я вижу амебу только! 15.01.2019 - 19:07
Anton Я вижу амебу только!По 1 фото подумал про крип... 16.01.2019 - 14:03
Медик Я вижу амебу только!
Браво ! 16.01.2019 - 21:42
Медик опухолью
Возраст ?
Метастазы есть ? 15.01.2019 - 20:13
IVANNES Возраст ?
Метастазы есть ?
Жен 80 лет. Эксперт вид... 16.01.2019 - 08:53
griga Недифференцированная карцинома.
Я бы не заморачива... 16.01.2019 - 12:33
griga М-дя. Век живи - век учись. 17.01.2019 - 07:57
IVANNES Подскажите пожалуйста хорошую литература с патомор... 17.01.2019 - 10:19
IVANNES RE: Опухоль стенки прямой кишки 17.01.2019 - 10:26
доктор морфолог
Коллега! Режим диафрагму наоборот передвинут... 18.01.2019 - 20:21![]() ![]() |
| Сейчас: 11.11.2025 - 17:33 |