![]() |
![]() |
![]() |
![]() |
![]() |
Гистология легких, Структура под микроскопом |
![]() |
| Dr_Bob |
10.04.2019 - 20:40
Сообщение
#1 |
|
|
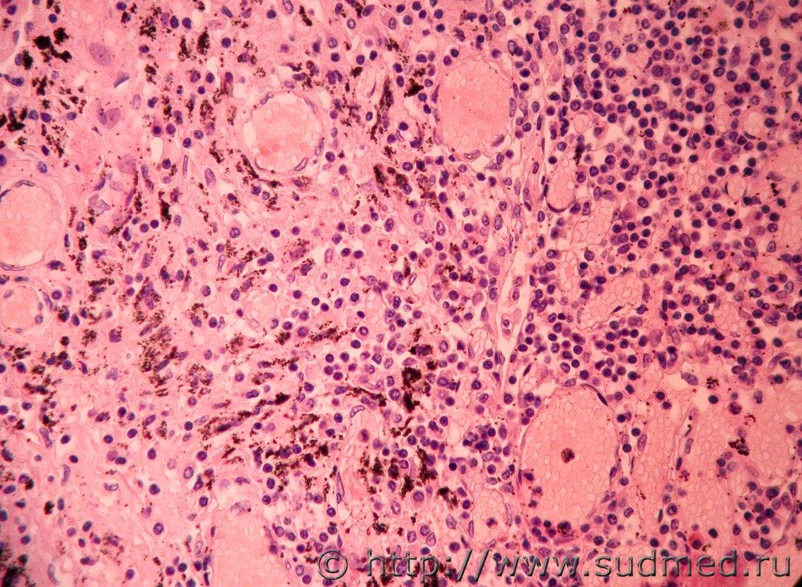
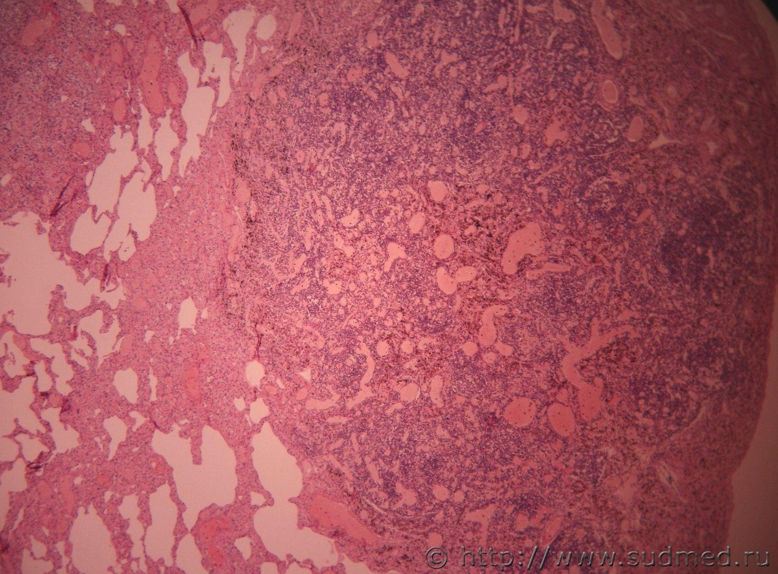
Доброе время дня, уважаемые участники! У коллеги под микроскопом в стеклопрепарате легких умершей женщины (67 лет) выявилось неясное образование. На скорую руку сделал снимки с ув. 40х, 200х и 400х. Прошу помощи и ответа, что бы это могло быть? На опухоль вроде бы не похоже. Что-то из лимфатической системы? Снимки прикрепляю. Заранее благодарю.
Эскизы прикрепленных изображений |
![]() |
![]() |
![]() |
Сообщений в этой теме |
![]() |
Dr_Bob Гистология легких 10.04.2019 - 20:40
sudmedpatolog На опухоль вроде бы не похоже. Что-то из лимфатиче... 11.04.2019 - 08:55
Dr_Bob Похоже на перибронхиальный лимфоузел.
Спасибо... 11.04.2019 - 12:16
Медик Посмотрел фото,прочитал по сноске и получается,что... 11.04.2019 - 20:03
доктор морфолог Доброе время дня, уважаемые участники! У колле... 11.04.2019 - 23:13
Dr_Bob Спасибо, проверю и этот вариант.
Включая иммуноги... 12.04.2019 - 19:05![]() ![]() |
| Сейчас: 9.11.2025 - 08:24 |