Здравствуйте, гость ( Вход | Регистрация )

Форум судебных медиков России
>

Опухоль почки

>
IVANNES
сообщение 3.06.2019 - 10:30
Сообщение #1


Опытный участник

Группа: СМЭ
Регистрация: 28.02.2015
Пользователь №: 41 483


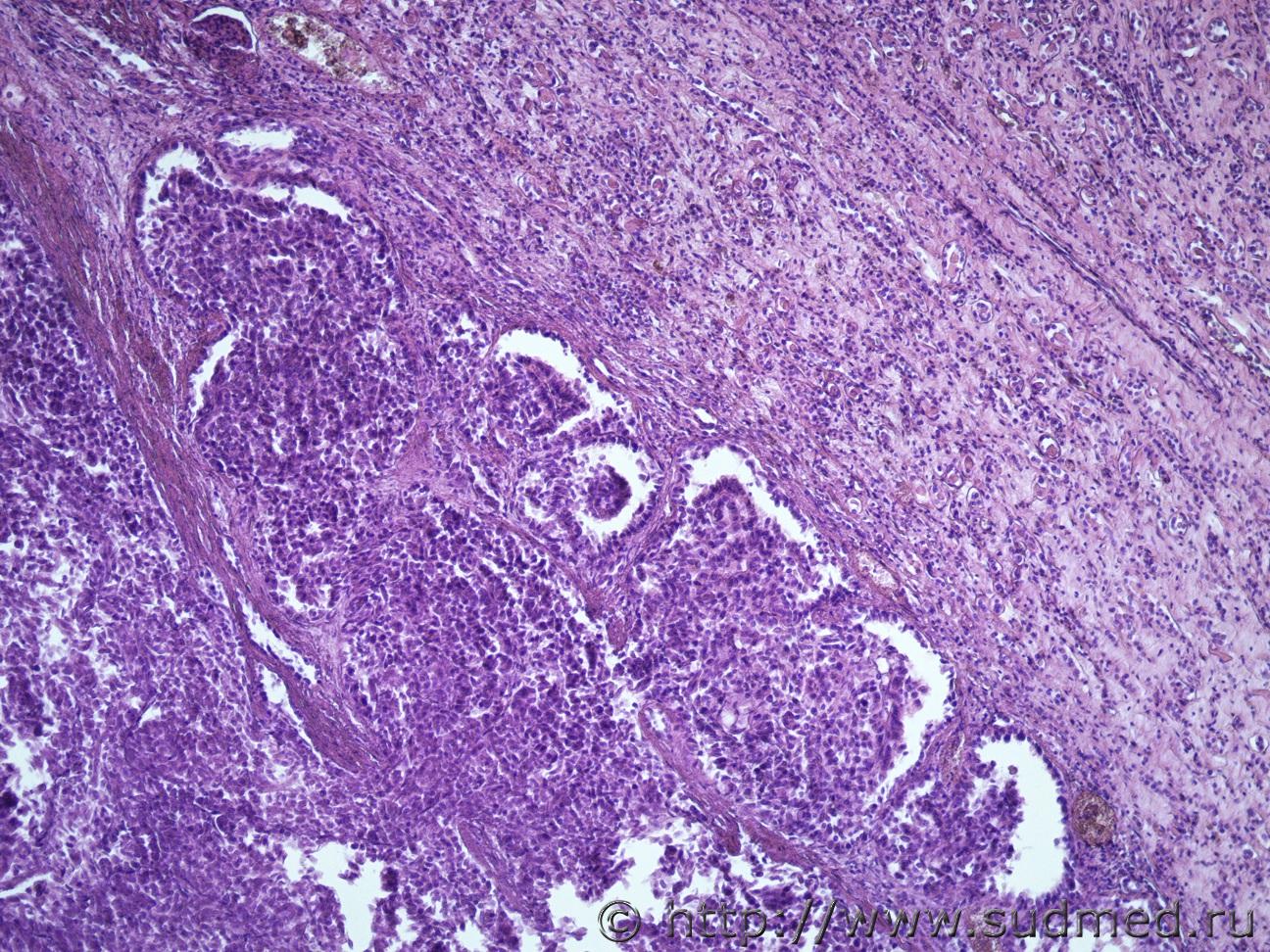
Жен 62 года. На задней поверхности левой почки желтовато-сероватый участок 1на1 см, творожистой консистенции.Судебная медицина - Прикрепленное изображение Судебная медицина - Прикрепленное изображениеСудебная медицина - Прикрепленное изображениеСудебная медицина - Прикрепленное изображениеСудебная медицина - Прикрепленное изображение
Судебная медицина - Прикрепленное изображениеСудебная медицина - Прикрепленное изображение
Пользователь offline
К началу страницы
+Ответить с цитированием

>   Сообщений в этой теме >





- Обратная связь Сейчас: 11.11.2025 - 01:46