![]() |
![]() |
![]() |
![]() |
![]() |
Заболевание легких |
![]() |
| IVANNES |
12.08.2019 - 10:48
Сообщение
#1 |
|
|
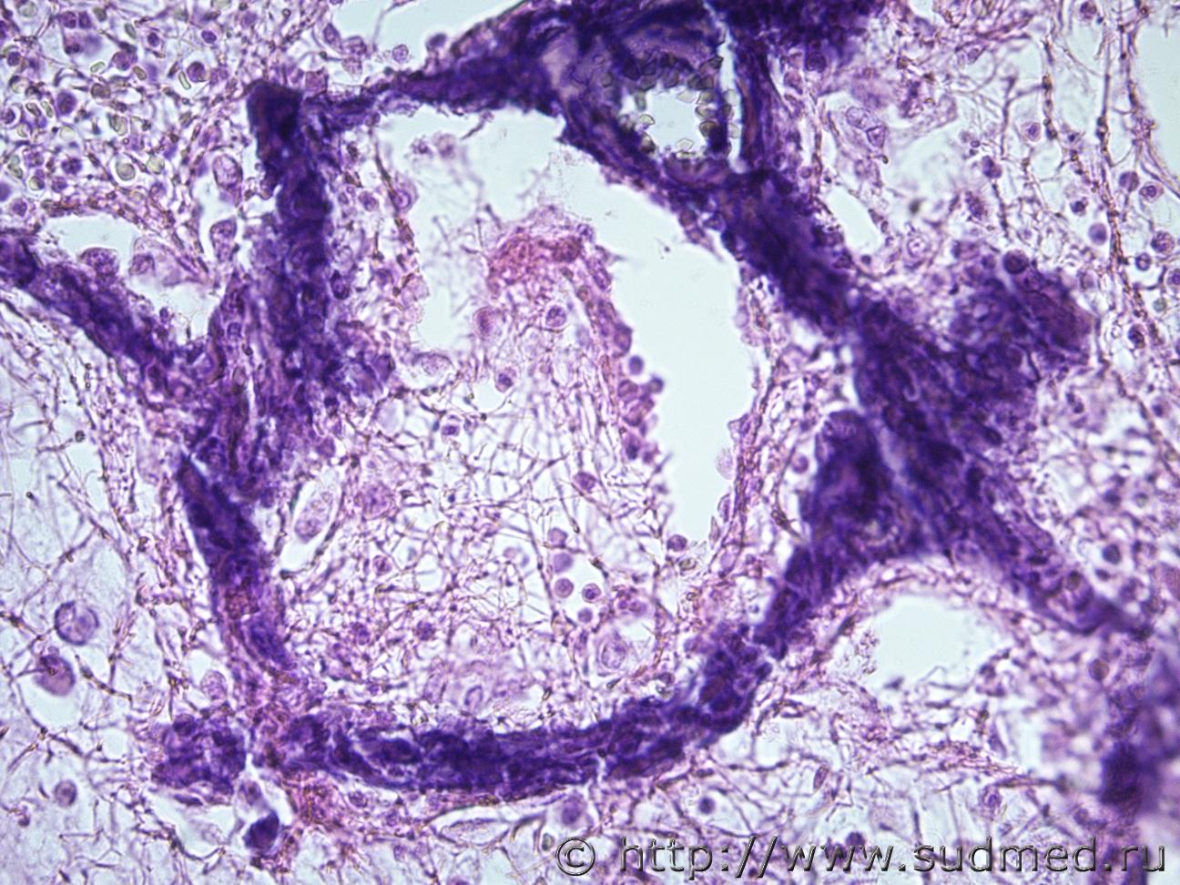
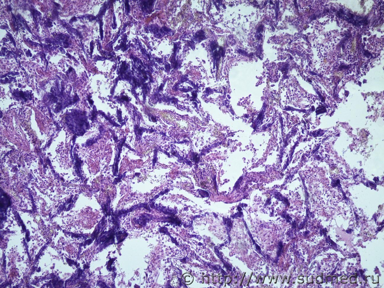
Ув. коллеги, нужна помощь, что это за заболевание легких? В атласе патологическая анатомия легких, нет не чего похожего. Это какое то диффузное паренхиматозное заболевание?. Жен 46 лет. Макро- Воздушность ткани верхних долей легких снижена, легочная ткань сиреневой окраски, образования диффузного характера беловато-сероватого цветы, плотные. По всем препаратам межальвеолярные перегородки инкрустированы известью. В просвете альвеол фибрин, лейкоциты, макрофаги.
|
![]() |
![]() |
![]() |
Сообщений в этой теме |
![]() |
IVANNES Заболевание легких 12.08.2019 - 10:48
Anton Чем не Хаммена-Рича? 12.08.2019 - 14:38
Медик В просвете альвеол в основном мицелий грибов. 12.08.2019 - 21:49
Медик На втором фото похоже на ИФА (такие изменения могу... 12.08.2019 - 21:56
Медик Петрификаты в межальвеолярных перегородках могут б... 12.08.2019 - 22:04
доктор морфолог Уважаемый Медик, как всегда в точку попадает. Это ... 14.08.2019 - 20:49
IVANNES Всем огромное спасибо за участие))) 19.08.2019 - 14:15![]() ![]() |
| Сейчас: 5.11.2025 - 23:49 |