Здравствуйте, гость ( Вход | Регистрация )

Форум судебных медиков России
>

Образование левой ветви легочного ствола

>
IVANNES
сообщение 9.09.2019 - 14:37
Сообщение #1


Опытный участник

Группа: СМЭ
Регистрация: 28.02.2015
Пользователь №: 41 483


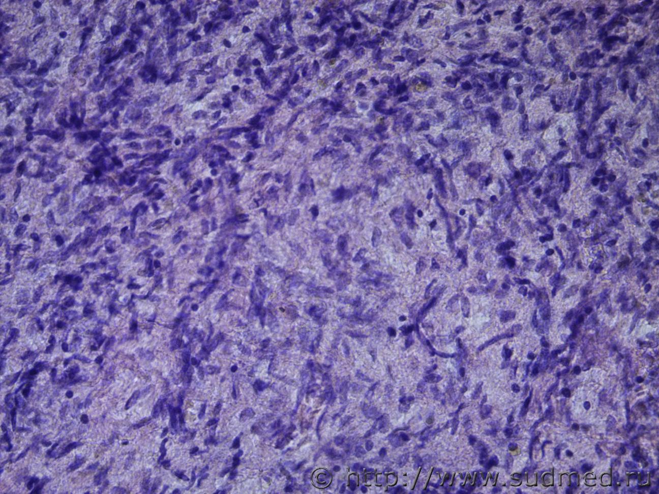
Ув. коллеги, нужна помощь. Жен 33 года, причина смерти ТЭЛА. Находка на секции образование в ветви легочного ствола. Судебная медицина - Прикрепленное изображение Судебная медицина - Прикрепленное изображениеСудебная медицина - Прикрепленное изображениеСудебная медицина - Прикрепленное изображениеСудебная медицина - Прикрепленное изображение
Судебная медицина - Прикрепленное изображениеСудебная медицина - Прикрепленное изображениеСудебная медицина - Прикрепленное изображениеСудебная медицина - Прикрепленное изображение
Судебная медицина - Прикрепленное изображениеСудебная медицина - Прикрепленное изображениеСудебная медицина - Прикрепленное изображение
Пользователь offline
К началу страницы
+Ответить с цитированием

>   Сообщений в этой теме >





- Обратная связь Сейчас: 6.11.2025 - 23:21