![]() |
![]() |
![]() |
![]() |
![]() |
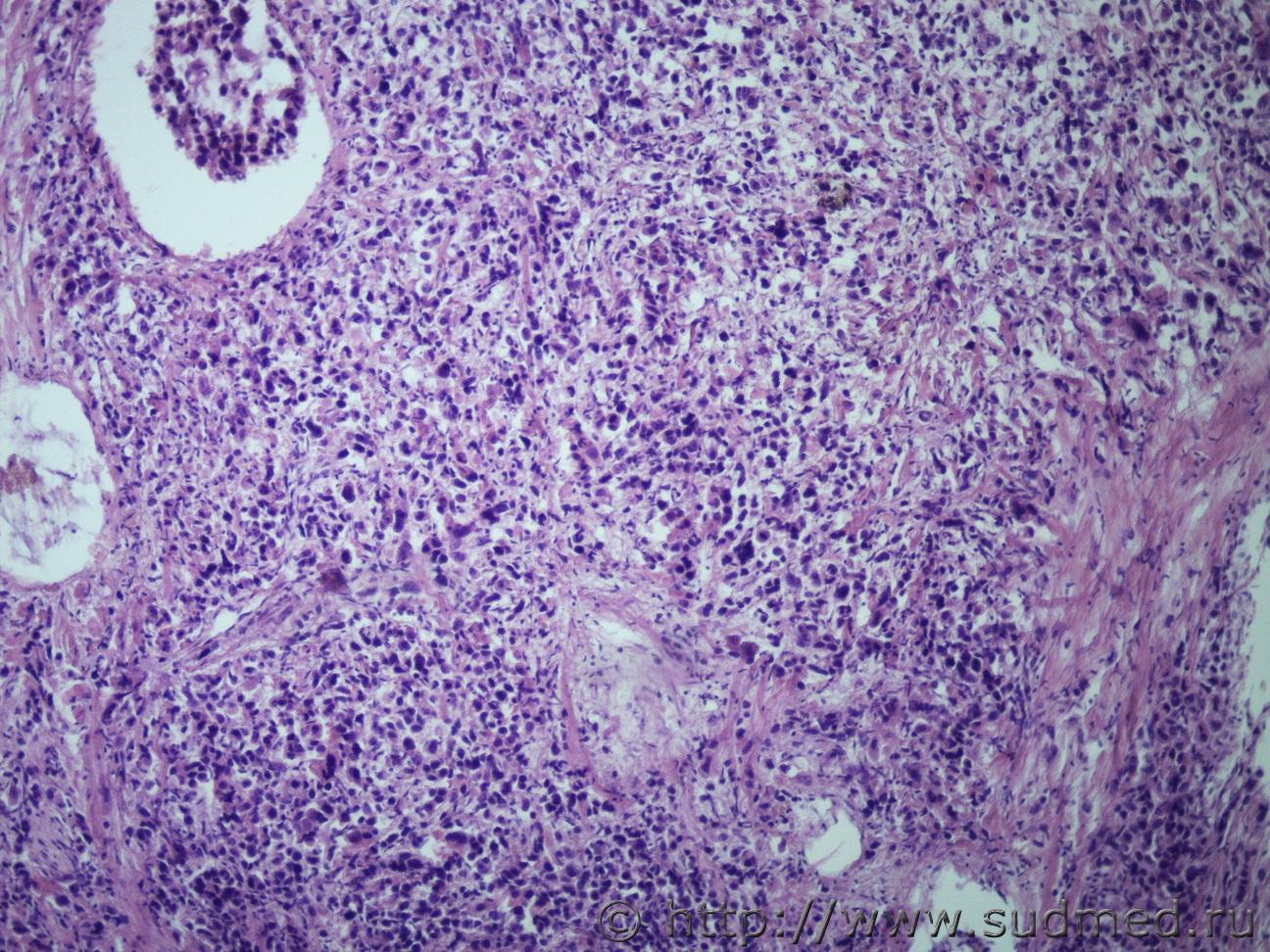
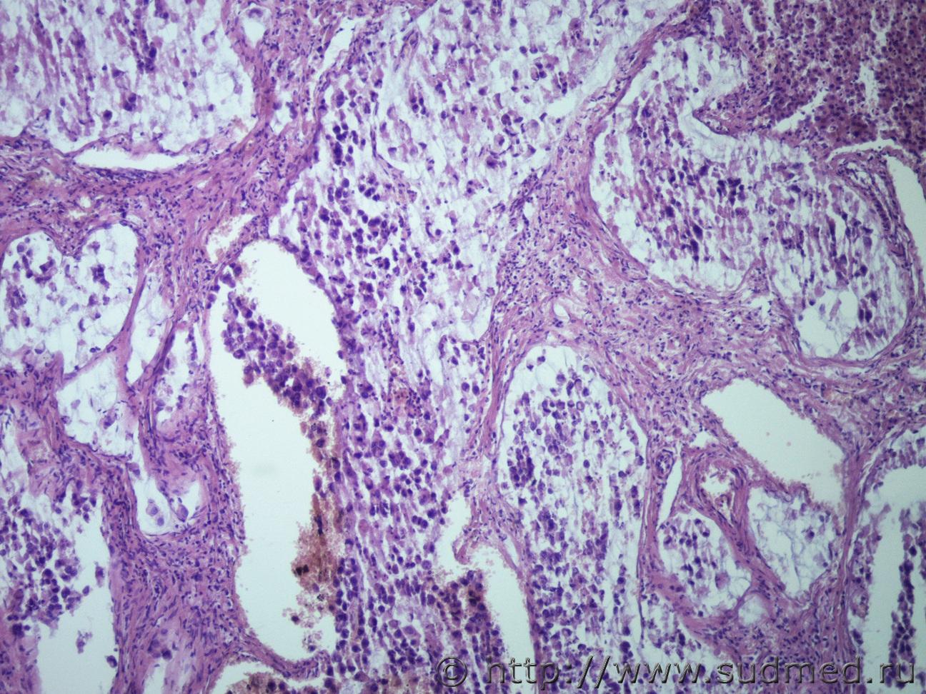
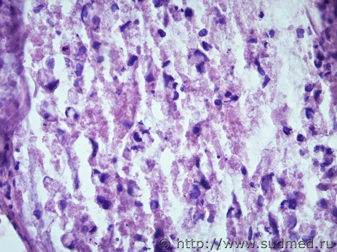
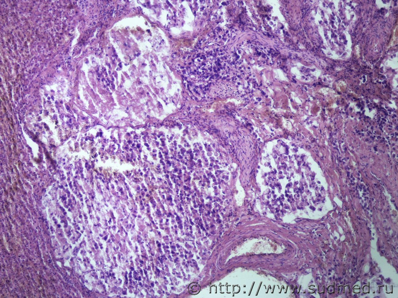
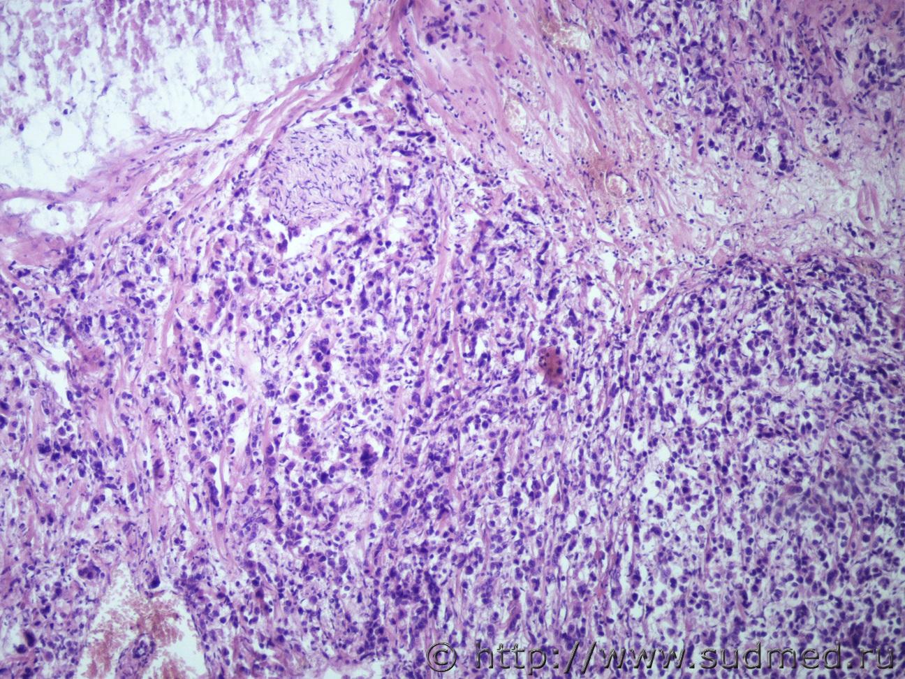
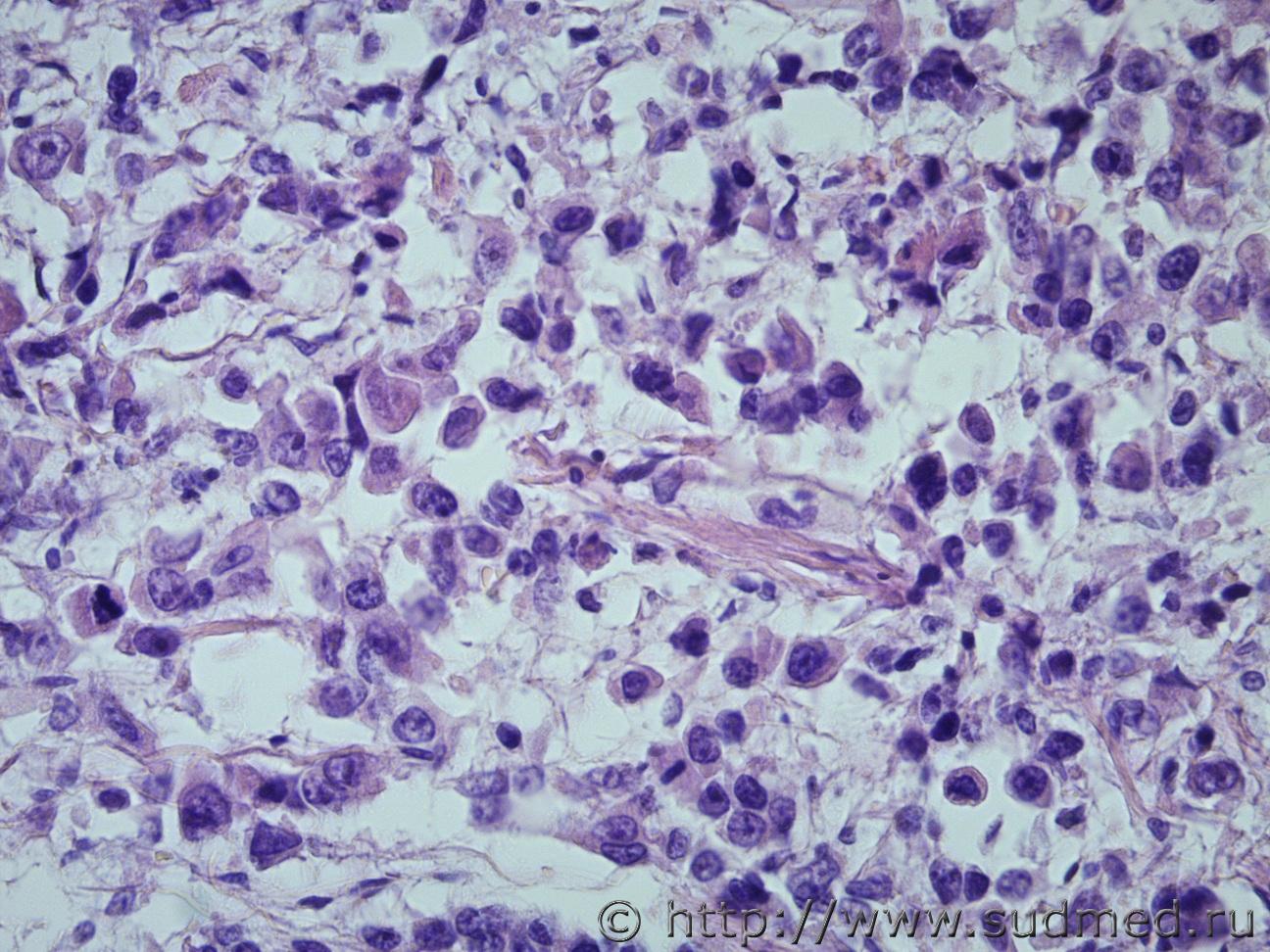
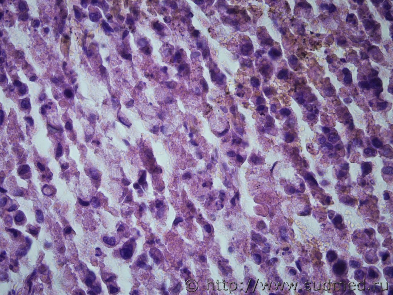
Метастазы в печени |
![]() |
![]() |
Сообщений в этой теме |
![]() |
IVANNES Метастазы в печени 4.10.2019 - 09:53
Anton Вполне можно. ПКР. Особенно если добавить окраску ... 4.10.2019 - 13:08
IVANNES Вполне можно. ПКР. Особенно если добавить окраску ... 4.10.2019 - 14:03
Anton Что может быть скромнее альциановой синьки. Только... 4.10.2019 - 14:09
IVANNES Что может быть скромнее альциановой синьки. Только... 4.10.2019 - 14:30
Медик Перстневидноклеточный рак. 5.10.2019 - 18:50
доктор морфолог Коллоидный( слизистый рак) , либо аденкарцинома с ... 7.10.2019 - 13:15![]() ![]() |
| Сейчас: 7.11.2025 - 01:30 |