Здравствуйте, гость ( Вход | Регистрация )

Форум судебных медиков России
>

Пневмония

>
IVANNES
сообщение 17.10.2019 - 10:34
Сообщение #1


Опытный участник

Группа: СМЭ
Регистрация: 28.02.2015
Пользователь №: 41 483


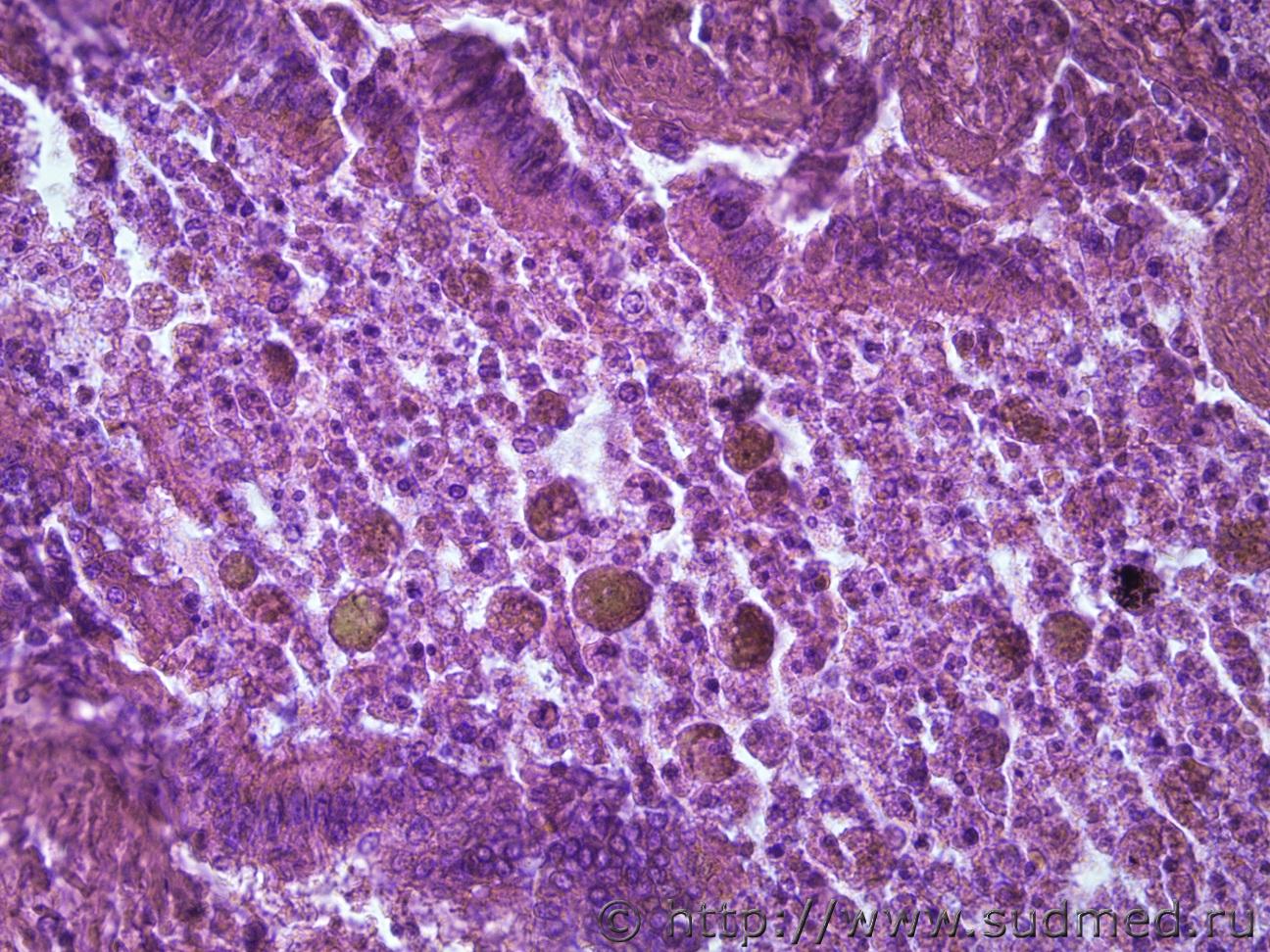
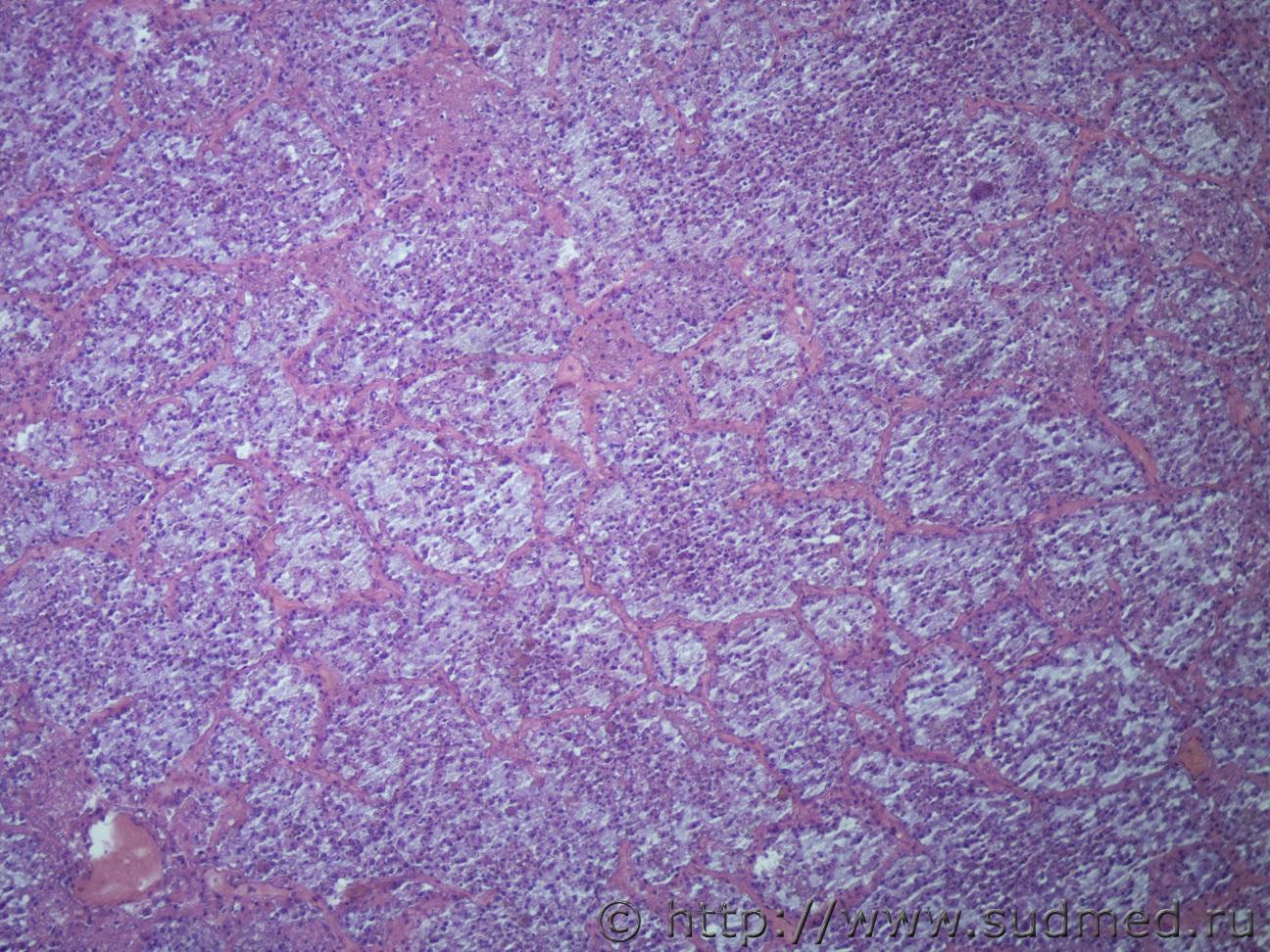
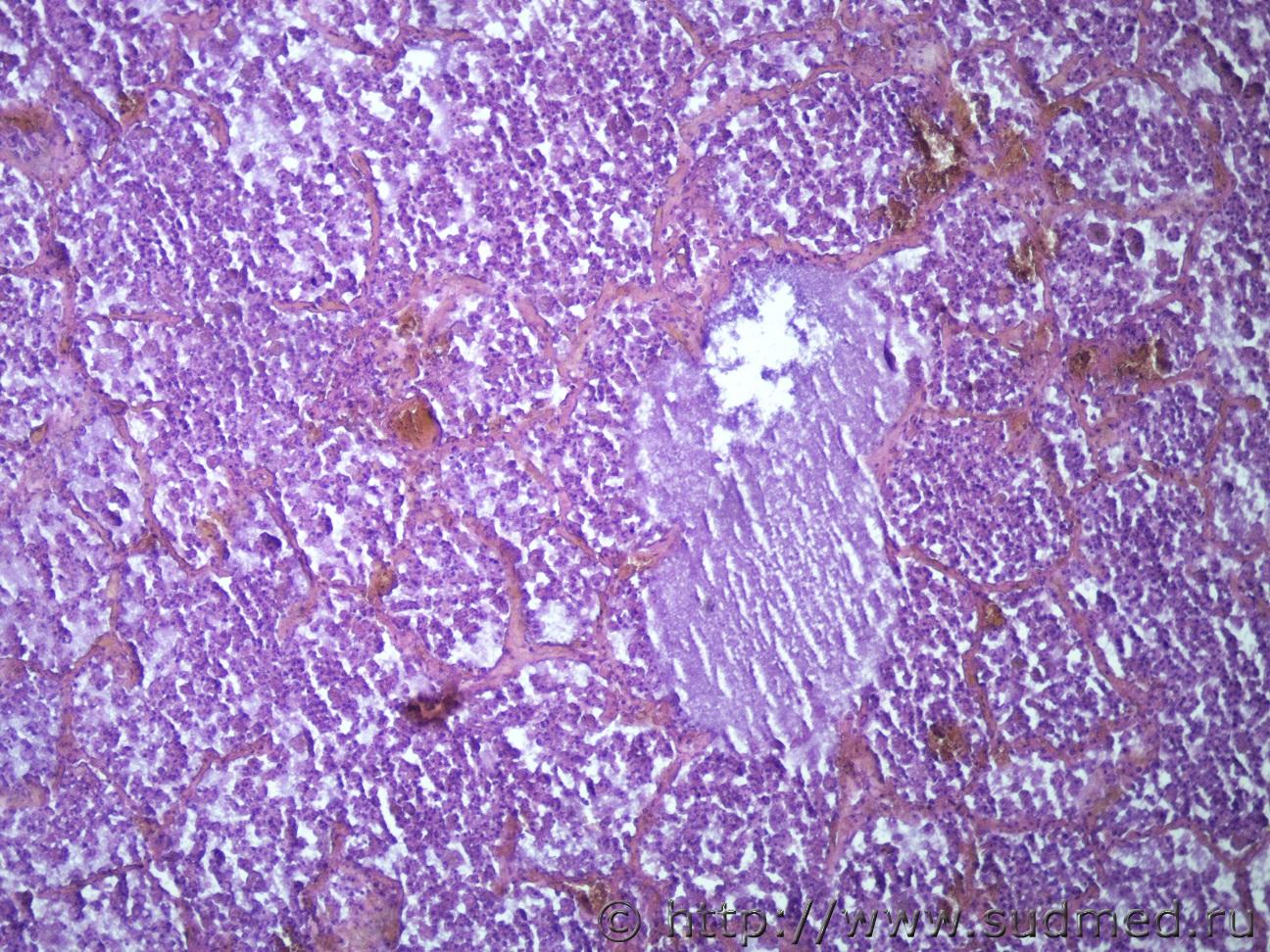
Ув. коллеги, как лучше назвать такую пневмонию, муж 60 лет, сильно выпивающий; похоже ли на криптококковую? Судебная медицина - Прикрепленное изображение Судебная медицина - Прикрепленное изображениеСудебная медицина - Прикрепленное изображениеСудебная медицина - Прикрепленное изображениеСудебная медицина - Прикрепленное изображение
Судебная медицина - Прикрепленное изображение

Сообщение отредактировал IVANNES - 17.10.2019 - 10:58
Пользователь offline
К началу страницы
+Ответить с цитированием

>   Сообщений в этой теме >





- Обратная связь Сейчас: 5.11.2025 - 17:39