![]() |
![]() |
![]() |
![]() |
![]() |
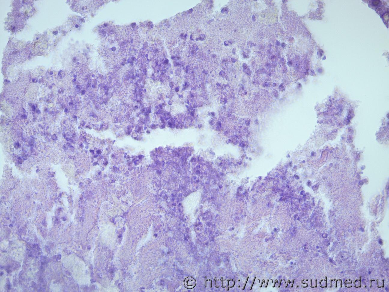
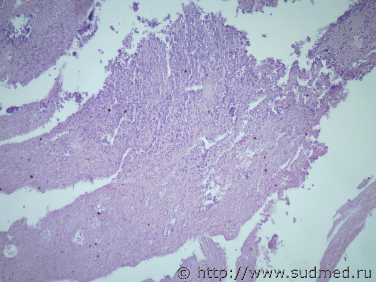
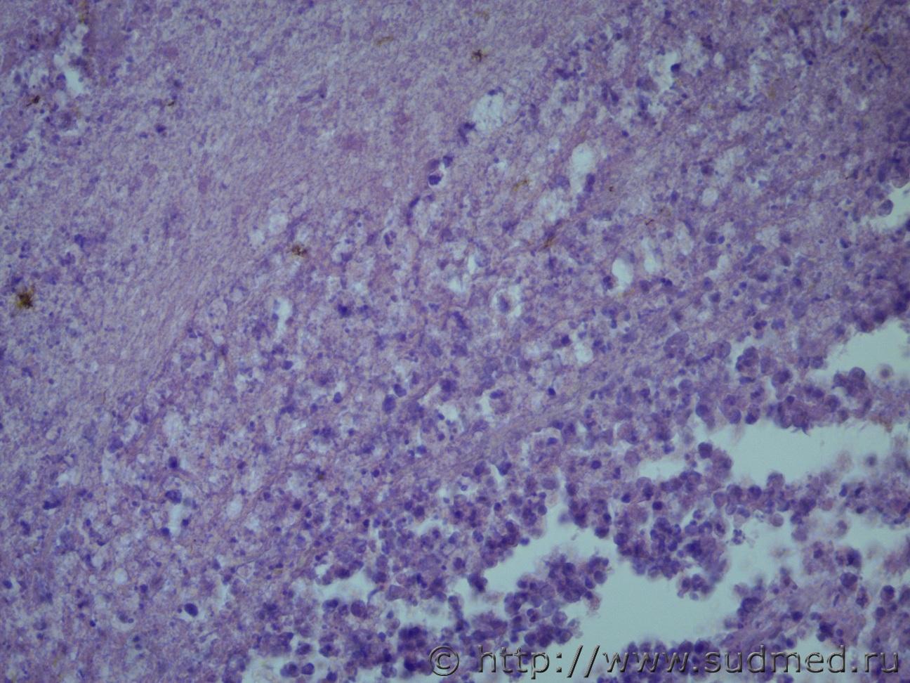
Головной мозг после длительной комы |
![]() |
![]() |
Сообщений в этой теме |
![]() |
IVANNES Головной мозг после длительной комы 23.04.2021 - 12:09
Медик Похожи на криптококки, особенно на 9 фото. 23.04.2021 - 20:39
доктор морфолог Добрый день! Ув. коллеги, нужна ваша помощь. Г... 24.04.2021 - 11:12
Медик Мое мнение за лейкомаляцию
Что это за клетки на фо... 24.04.2021 - 18:58
доктор морфолог Что это за клетки на фото ?
Ув.Медик! Это микр... 25.04.2021 - 20:21
Медик Спасибо ! 26.04.2021 - 21:26![]() ![]() |
| Сейчас: 7.11.2025 - 18:32 |