![]() |
![]() |
![]() |
![]() |
![]() |
Сердце |
![]() |
| IVANNES |
15.10.2021 - 11:51
Сообщение
#1 |
|
|
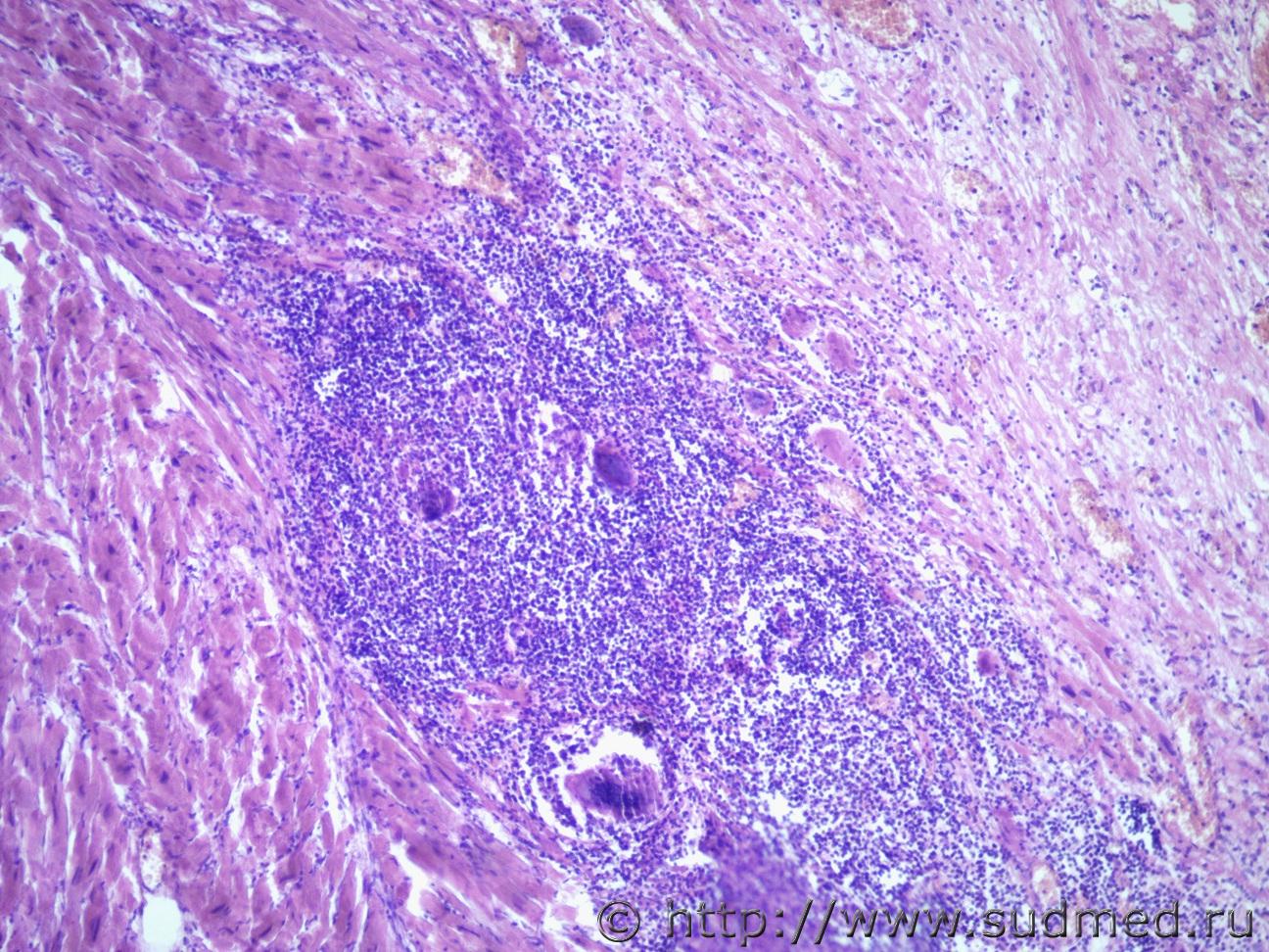
Добрый день. Нужна помощь. Женщ. 60 лет. Макроскопических данных (вес, размер) нет. Микро- выраженный кардиосклероз, с очагами круглоклеточной инфильтрации, крупными многоядерными клетками. В других органах без особенностей.
Эскизы прикрепленных изображений |
![]() |
![]() |
![]() |
Сообщений в этой теме |
![]() |
IVANNES Сердце 15.10.2021 - 11:51
Anton Гранулематозный миокардит. Этиологию здесь не взят... 15.10.2021 - 13:29
Медик Гранулематозный миокардит. Этиологию здесь не взят... 15.10.2021 - 14:03
IVANNES Всем спасибо за участие))) 18.10.2021 - 16:46
доктор морфолог Всем спасибо за участие)))
Системный гранулематоз ... 23.10.2021 - 21:33
Kvaker Нет ответа. Нужно исслеловать органы и лимфоузлы. ... 22.11.2021 - 20:45
доктор морфолог Нет ответа. Нужно исслеловать органы и лимфоузлы. ... 24.11.2021 - 11:21
Медик Топикстартера интересовали только микропрепараты с... 23.11.2021 - 23:14![]() ![]() |
| Сейчас: 9.11.2025 - 10:18 |