Здравствуйте, гость ( Вход | Регистрация )

Форум судебных медиков России
>

образование на коже нижней губы

>
новичок014
сообщение 29.07.2025 - 21:28
Сообщение #1


Вновь прибывший

Группа: Участники
Регистрация: 22.06.2025
Пользователь №: 47 401


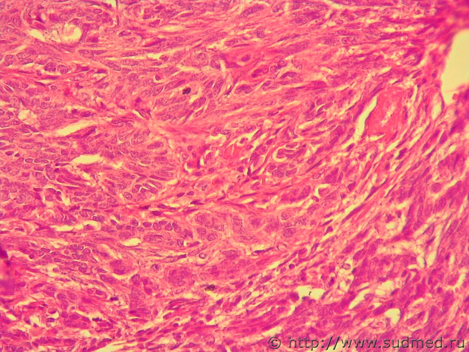
снова новообразование


Эскизы прикрепленных изображений
Судебная медицина - Прикрепленное изображение Судебная медицина - Прикрепленное изображение Судебная медицина - Прикрепленное изображение Судебная медицина - Прикрепленное изображение
Пользователь offline
К началу страницы
+Ответить с цитированием

>   Сообщений в этой теме >





- Обратная связь Сейчас: 11.11.2025 - 18:09