![]() |
![]() |
![]() |
![]() |
![]() |
Правила раздела |
![]() |
Здесь обсуждаются вопросы судебно-медицинской танатологии и судебно-медицинской гистологии.
![]() |
![]() |
![]() |
Субдуральная гигрома, Субдуральная гигрома-динамика |
![]() |
| Олег |
2.02.2005 - 22:43
Сообщение
#1 |
|
|
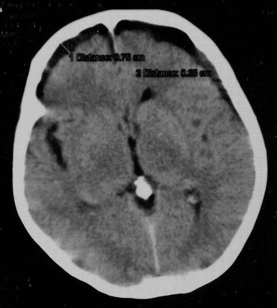
Здравствуйте, коллеги. Хотелось бы обсудить субдур. гигромы, коими господа нейрохирурги объясняют свои оперативные вмешательства, при отсутствии на секции какой-бы то ни было морфологии. Но у нас так было раньше, теперь появилось чудо техники - компьютерный томограф. И вот "первая ласточка" - гигрома в лобно-височных отделах, вроде бы подтвержденная объективно. Или нет?
Эскизы прикрепленных изображений |
![]() |
![]() |
![]() |
Сообщений в этой теме |
![]() |
Олег Субдуральная гигрома 2.02.2005 - 22:43
Vitalykk Для меня т.н. гигромы тоже "темная страница... 2.02.2005 - 23:14
FILIN Гигромы - далеко не новость. Реально существуют.
... 3.02.2005 - 00:36
Vitalykk Вот стья из ИНХ Поленова по данному вопросу
УДК 6... 3.02.2005 - 14:10
Vitalykk Интересно, что в 153 из 156 случаев гидромы сопров... 3.02.2005 - 14:14
Vitalykk Олег. А на секции мозг чистый? 3.02.2005 - 14:23
Олег
Старенький "ржавый" ушибчик на базальн... 3.02.2005 - 21:09
DokRaduz Здравствуйте уважаемые коллеги! Опять тема на ... 3.02.2005 - 16:39
Vitalykk Уважаемый Док.
В Вашем описании присутствуют множе... 3.02.2005 - 18:57
Борода В принципе, я бы ответил утвердительно на вопрос о... 3.02.2005 - 19:20
FILIN Уважаемый Борода!
"Они нередко наблюдают... 3.02.2005 - 22:21
Борода При разрыве переходных вен действительно часто обр... 4.02.2005 - 00:14
Борода В связи с отдалёнными последствиями разрывов перех... 4.02.2005 - 00:24
Олег Интересный способ вскрытия головы. Обязательно поп... 4.02.2005 - 19:08
FILIN Уважаемый Борода!
ИЗвините за настырность, но... 4.02.2005 - 19:32
Борода
Преимущественно в субдуральном. 8.02.2005 - 15:05
qweyk К теме добавить можно,что спинномозговая жидкость ... 10.02.2005 - 03:50
Andrey Что-то я "пролетел" мимо этого топика.
У... 10.02.2005 - 04:32
Валерий
да нет! гиг ... это gigantus а гид - hidros э... 10.02.2005 - 13:55
FILIN Коллега!
Вы встречали в своей практике гидром... 10.02.2005 - 14:27
Молодая и зеленая А мне тоже интересно. Во время нейрохирургической ... 10.02.2005 - 18:01
FILIN Уважаемая коллега!
Мы больше рассуждаем об об... 10.02.2005 - 18:20
Валерий На СМ секции водянка мозга встречается редко, обыч... 10.02.2005 - 18:30
Andrey Все-таки я что-то недопонял.
Причем здесь водянка ... 10.02.2005 - 19:21
Валерий Локальная водянка (неполноцнный перевод с нерусско... 10.02.2005 - 19:31
Валерьич Уважаемые коллеги!
Долго и внимательно читал ... 11.02.2005 - 19:58
Олег
Когда учился в интернатуре, из подобной больницы... 19.02.2005 - 22:15
Олег Гигрома действительно вещь малоизученная. Перерыл ... 19.02.2005 - 22:07
FILIN "Но зато, всем больным поголовно делают трепа... 19.02.2005 - 22:57![]() ![]() |
| Сейчас: 4.11.2025 - 23:53 |