Здравствуйте, гость ( Вход | Регистрация )

Форум судебных медиков России
>   Правила раздела >

Здесь обсуждаются вопросы судебно-медицинской танатологии и судебно-медицинской гистологии.

 
2 страниц V  1 2 >  
>

Перфорация дивертикула и перитонит

>
Мих-Мих
сообщение 17.07.2010 - 18:03
Сообщение #1


Претендент

Группа: Участники
Регистрация: 4.02.2007
Из: Ванкувер
Пользователь №: 4 307


Прислали сегментарную резекцию толстого кишечника. Мужик 30 лет. Ни слова истории в направлении. На брызжейке дефект 4х3 см, с рваными краями, вокруг разлитой перитонит. Первая мысль что? - правильно: травма. Стал кишку формалином накачивать для фиксации, через дефект подтекает. Не ручьем, но видно, что с просветом кишки сообщается. На следующий день начал резать. Дефект на брызжейке перходит в дефект жировой ткани идущий до стенки кишки. Всю кишку порезал - абсолютно нормальная. Но текло откуда-то. Между складками слизистой нахожу 1(один) дивертикул 0.3 см в диаметре. На верхушке разрыв 0.1см. Все это сообщается с вышеописанным дефектом.Заключение: Перфорация единственноного дивертикула с образованием абцесса жировой ткани корня брызжейки с последующим опорожнением в брюшную полость, перитонит. Грустно мне стало - представил, что если такой труп в Копейск приехал. Да подгнивший. Этот дивертикул на нефиксированном кишечнике не в жизнь не найти. В мяких тканях брюшной стенки повреждений нет - ну и что? Всегда ли мы их находим? А дальше - "возможность образования данного повреждения при падении в высоты собственного роста представляется крайне маловероятной".
Пользователь offline
К началу страницы
+Ответить с цитированием
Deni
сообщение 17.07.2010 - 18:29
Сообщение #2


Мастер III

Группа: СМЭ
Регистрация: 30.09.2007
Из: РФ
Пользователь №: 5 980


Цитата(Мих-Мих @ 17.07.2010 - 23:03)
Грустно мне стало - представил, что если такой труп в Копейск приехал.

Мораль? Всем дружно ехать в Ванкувер? Или убицца ап стенку в Копейске? Способны ли наши эксперты что-то найти на вскрытии? Если ищут, то да, способны.
Второе. Нам в этом плане даже проще - мы больничные трупы без изучения историй болезни не исследуем. А операционный материал обычно идет патанатомам.

Сообщение отредактировал Deni - 17.07.2010 - 18:30
Пользователь offline
К началу страницы
+Ответить с цитированием
Worker
сообщение 17.07.2010 - 19:12
Сообщение #3


Участник форума

Группа: Участники
Регистрация: 19.11.2009
Пользователь №: 18 218


Цитата(Мих-Мих @ 17.07.2010 - 19:03)
Прислали сегментарную резекцию толстого На брызжейке....... Дефект на брызжейке...

Однако!!! ohmy.gif


Сообщение отредактировал Worker - 17.07.2010 - 19:16
Пользователь offline
К началу страницы
+Ответить с цитированием
Мих-Мих
сообщение 17.07.2010 - 19:15
Сообщение #4


Претендент

Группа: Участники
Регистрация: 4.02.2007
Из: Ванкувер
Пользователь №: 4 307


ну виноват, виноват. и раньше -то были проблемы, а теперь как русскоязычный Word удалил, так и проверить некому
Пользователь offline
К началу страницы
+Ответить с цитированием
[email protected]
сообщение 17.07.2010 - 20:44
Сообщение #5


Опытный участник

Группа: СМЭ
Регистрация: 12.10.2009
Из: Израиль
Пользователь №: 17 298


Судя по описанию макрокартины-некроз дивертикуля толстой кишки с перфорацией и местным перитонитом никакого отношения к травме не имеет,Спасибо
Пользователь offline
К началу страницы
+Ответить с цитированием
FILIN
сообщение 17.07.2010 - 22:13
Сообщение #6


ГУРУ ФСМ
Group Icon
Группа: Модераторы
Регистрация: 22.08.2004
Из: Владимирская губерния
Пользователь №: 116


Уважаемый Мих-Мих.
Вы хотя бы отдел толстого кишечника указали.
И форму и два размера дивертикула. И как выглядел дефект со стороны серозы и слизистой (по описанию - он вообще только на слизистой).
Пользователь offline
К началу страницы
+Ответить с цитированием
Мих-Мих
сообщение 17.07.2010 - 22:48
Сообщение #7


Претендент

Группа: Участники
Регистрация: 4.02.2007
Из: Ванкувер
Пользователь №: 4 307


Цитата(FILIN @ 17.07.2010 - 22:13)
Уважаемый Мих-Мих.
Вы хотя бы отдел толстого кишечника указали.
И форму и два размера дивертикула. И как выглядел дефект со стороны серозы и слизистой (по описанию - он вообще только на слизистой).

0.3 в диамерте и длиной 0.4. Сигмовидная кишка. В понедельник фотки выложу.
Пользователь offline
К началу страницы
+Ответить с цитированием
FILIN
сообщение 17.07.2010 - 23:18
Сообщение #8


ГУРУ ФСМ
Group Icon
Группа: Модераторы
Регистрация: 22.08.2004
Из: Владимирская губерния
Пользователь №: 116


Глвный-то вопрос не задал - а что вызвало перфорацию дивертикула?

Дивертикулез - собственно анатомическиий вариант строения кишечника. Обычно, в нем присутствут все слои, что и в кишечнике.
Пользователь offline
К началу страницы
+Ответить с цитированием
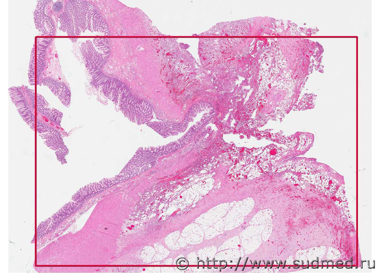
Мих-Мих
сообщение 20.07.2010 - 23:37
Сообщение #9


Претендент

Группа: Участники
Регистрация: 4.02.2007
Из: Ванкувер
Пользователь №: 4 307


Цитата(Мих-Мих @ 17.07.2010 - 22:48)
0.3 в диамерте и длиной 0.4. Сигмовидная кишка. В понедельник фотки выложу.
не могу выложить фотографии с масштабом т.к. данные пациента на нем.

Судебная медицина - Прикрепленное изображение Судебная медицина - Прикрепленное изображение Судебная медицина - Прикрепленное изображение Судебная медицина - Прикрепленное изображение
Пользователь offline
К началу страницы
+Ответить с цитированием
FILIN
сообщение 21.07.2010 - 00:30
Сообщение #10


ГУРУ ФСМ
Group Icon
Группа: Модераторы
Регистрация: 22.08.2004
Из: Владимирская губерния
Пользователь №: 116


Без масштаба перебьёмся - это же не научная статья.
А вот стрелкой указать расположение дивертикула 0,3х0,4см., видимо, следовало.
Я, наример, его просто не вижу.
Пользователь offline
К началу страницы
+Ответить с цитированием
Мих-Мих
сообщение 21.07.2010 - 00:52
Сообщение #11


Претендент

Группа: Участники
Регистрация: 4.02.2007
Из: Ванкувер
Пользователь №: 4 307


Цитата(FILIN @ 21.07.2010 - 00:30)
Без масштаба перебьёмся - это же не научная статья.
А вот стрелкой указать расположение дивертикула 0,3х0,4см., видимо, следовало.
Я, наример, его просто не вижу.

виден только на последнем последнем снимке.


Эскизы прикрепленных изображений
Судебная медицина - Прикрепленное изображение
Пользователь offline
К началу страницы
+Ответить с цитированием
Мих-Мих
сообщение 21.07.2010 - 01:06
Сообщение #12


Претендент

Группа: Участники
Регистрация: 4.02.2007
Из: Ванкувер
Пользователь №: 4 307


Цитата(FILIN @ 21.07.2010 - 00:30)
Без масштаба перебьёмся - это же не научная статья.
А вот стрелкой указать расположение дивертикула 0,3х0,4см., видимо, следовало.
Я, наример, его просто не вижу.
пишу с работы. софт доисторический. вот и выделяю как могу

Судебная медицина - Прикрепленное изображение
Пользователь offline
К началу страницы
+Ответить с цитированием
griga
сообщение 21.07.2010 - 20:16
Сообщение #13


Авторитетный участник

Группа: СМЭ
Регистрация: 10.02.2006
Пользователь №: 1 250


Честно говоря дивертикула не вижу.
Воспаление в стенке кишки носит локальный характер, что не укладывается в картину несколькодневного флегмонозного -> гангренозного воспаления с последующей перфорацией.

В своей практике видел такую картину однажды: перфорация стенки дивертикула (дивертикул был правда побольше) рыбной костью, проглоченной накануне.

Сообщение отредактировал griga - 21.07.2010 - 20:17
Пользователь offline
К началу страницы
+Ответить с цитированием
Алексей
сообщение 22.07.2010 - 11:21
Сообщение #14


Продвинутый участник

Группа: СМЭ
Регистрация: 15.01.2004
Из: Родина Слонов
Пользователь №: 40


Мих-Мих!
присоединяюсь к коллегам - можно стрелкой на дивертикул указать?
А насчёт Копейска - так это и в других городах и весях нашей необъятной Родины может быть. Спросите у форумчан - кто из них кишечник фиксирует и только потом изучает? Уверен, что единицы, если вообще где-то это происходит.

и фабулу хотелось бы узнать.
Пользователь offline
К началу страницы
+Ответить с цитированием
FILIN
сообщение 22.07.2010 - 11:32
Сообщение #15


ГУРУ ФСМ
Group Icon
Группа: Модераторы
Регистрация: 22.08.2004
Из: Владимирская губерния
Пользователь №: 116


Цитата
Воспаление в стенке кишки носит локальный характер, что не укладывается в картину несколькодневного флегмонозного -> гангренозного воспаления с последующей перфорацией.

И я не вижу.

Извиняючь за оффтоп.
Цитата
Уверен, что единицы, если вообще где-то это происходит.

Бывает, хотя и крайне редко.
Необходимости нет.

И в данном случае - сам автор указал, что во время секции был виден участок, кашиеничка, из которого выделялось кишечное содержаиое.
Выделить, отмыть, изучить.
Пользователь offline
К началу страницы
+Ответить с цитированием

2 страниц V  1 2 >



- Обратная связь Сейчас: 8.11.2025 - 10:41