Здравствуйте, гость ( Вход | Регистрация )

Форум судебных медиков России
>   Правила консультационного раздела >

ВНИМАНИЕ! Все сообщения проходят предварительную проверку модератором и только после этого появляются на форуме. Порядок работы раздела изложен в правилах форума.
Все консультации на форуме бесплатны, но если мы смогли вам помочь, вы можете поддержать наш проект (подробнее).

 
 
>

Ушиб ГМ на секции и КТ

>
фен
сообщение 17.10.2005 - 22:59
Сообщение #1


Участник форума

Группа: Участники
Регистрация: 9.08.2005
Пользователь №: 700


1. Какой наименьший ушиб ГМ видят КТешники на томограмах, является ли это исследование контраргументом вскытийным находкам (ненаходкам)и в каких областях (анатом.).
2. Могу ли на основании КТ отрицать ушиб ГМ у живого?
Пользователь offline
К началу страницы
+Ответить с цитированием
Alexandr
сообщение 18.10.2005 - 07:28
Сообщение #2


Знаток форума
Group Icon
Группа: СМЭ
Регистрация: 16.11.2003
Пользователь №: 10


1. Разрешающая способность большинства компьтерных томографов 1 см (это связано с шагом сканирования, с другой стороны в самом срезе скана видны и очень мелкие детали), и как следствие этого можно объемное обрязование менее 1 см пропустить, оно просто может не попасть в срез скана.

2. На основани только КТ нельзя, так как неврологическую картину ушиба головногои мозга, и др. исследования ни кто не отменял.

PS Вскрытие покажет. smile.gif

Сообщение отредактировал Alexandr - 18.10.2005 - 07:30
Пользователь offline
К началу страницы
+Ответить с цитированием
Борода
сообщение 18.10.2005 - 14:24
Сообщение #3


Магистр форума

Группа: Участники
Регистрация: 12.10.2004
Пользователь №: 179


Цитата
является ли это исследование контраргументом вскытийным находкам (ненаходкам)и в каких областях (анатом.).
Это объективый метод исследования. Против картинки "выступать" трудно. Как у каждого метода у него есть свои слабые стороны. На прошлой неделе мне чмт прислали и клиницисты "божились", что на томограммах никаких переломов нет. Два раза специально искали. Томограммы показали, а там действительно переломов не видно. А на вскрытии классический линейный перелом теменной и височной кости. Трещина не разошлась и на томограмме её не видно было.

Опять же томограф томографу рознь. Можно шаг сканирования менять, а головной мозг вообще-то лучше магнит-резонансным томографом смотреть. В последние три года я постепенно поменял своё скептическое отношение к томограммам именно после того, как стал чаще смотреть МРТ.

Для меня критерием истины, однако, всегда является вскрытие!
Пользователь offline
К началу страницы
+Ответить с цитированием
Alexandr
сообщение 18.10.2005 - 14:46
Сообщение #4


Знаток форума
Group Icon
Группа: СМЭ
Регистрация: 16.11.2003
Пользователь №: 10


Цитата(Борода @ 18.10.2005 - 15:24)
Это объективый метод исследования. Против картинки "выступать" трудно. Как у каждого метода у него есть свои слабые стороны. На прошлой неделе мне чмт прислали и клиницисты "божились", что на томограммах никаких переломов нет. Два раза специально искали. Томограммы показали, а там действительно переломов не видно. А на вскрытии классический линейный перелом теменной и височной кости. Трещина не разошлась и на томограмме её не видно было.



Такое было и не раз. Для меня КТ это ориентировка перед вскрытием и не больше.

А ЯМРТ я ни разу не видел.
Уважаемый Борода не можете ли мне как нибуть скинуть сканограмму с ЧМТ, хотелось бы посмотреть.

Сообщение отредактировал Alexandr - 18.10.2005 - 14:48
Пользователь offline
К началу страницы
+Ответить с цитированием
фен
сообщение 18.10.2005 - 18:59
Сообщение #5


Участник форума

Группа: Участники
Регистрация: 9.08.2005
Пользователь №: 700


В тему: на КТ перелом свода черепа. По клинике - ушиба нет, слабое сотрясение и то под вопросом. Часто ли бывает? Может старый перелом?
Пользователь offline
К началу страницы
+Ответить с цитированием
FILIN
сообщение 18.10.2005 - 19:09
Сообщение #6


ГУРУ ФСМ
Group Icon
Группа: Модераторы
Регистрация: 22.08.2004
Из: Владимирская губерния
Пользователь №: 116


Цитата
1. Какой наименьший ушиб ГМ видят КТешники на томограмах,

Собственно, ушиб мозга на КТ не виден. Может быть виден только участок кровоизлияния в очаге ушиба (в первые 2 недели), что может быть только у очагов ушиба больших размеров (примерно в пределах 1/3 доли).

Цитата
является ли это исследование контраргументом вскытийным находкам (ненаходкам)и в каких областях (анатом.).

Сомнительно. Примерно как с рентгенограммами. Если картина типична и ясна для всех - тогда может. Но на КТ я такого не встречал.

Цитата
Могу ли на основании КТ отрицать ушиб ГМ у живого?

Нет. См. первый отает.
Пользователь offline
К началу страницы
+Ответить с цитированием
Борода
сообщение 15.11.2005 - 22:03
Сообщение #7


Магистр форума

Группа: Участники
Регистрация: 12.10.2004
Пользователь №: 179


Цитата
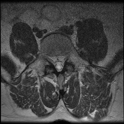
Уважаемый Борода не можете ли мне как нибуть скинуть сканограмму
Как назло нет фотографий с ЧМТ. Но сегодня делал экспертизу по позвоночнику и вынужден был смотреть фото с ЯМРТ. Из множества срезов выбрал 2. Случайно "проезд по почкам получился". Все 30 или 40 снимков срезов публиковать нет смысла, т.к. патологии на снимках мало. Непривычно для глаза, то, что кости не очень ярко выделяются, а мягкие ткани очень контрастны. Мышцы, фасции и связки видно прекрасно.
Кровоизлияния, отёки на ЯМРТ видно тоже хорошо, но не на представленных мною снимках. Это было исследование живого по поводу хр. заболевания позвоночника. Никакой травмы там не было.

Если попадётся экспертиза с ЧМТ, то постараюсь сделать фото, но не обещаю, т.к. такие экспертизы с наличием ЯМРТ всё же редкость.


Эскизы прикрепленных изображений
Судебная медицина - Прикрепленное изображение Судебная медицина - Прикрепленное изображение
Пользователь offline
К началу страницы
+Ответить с цитированием




- Обратная связь Сейчас: 8.11.2025 - 17:19